牙齿矫正与烤瓷牙是口腔修复领域的两种重要技术,前者通过矫治器调整牙齿排列与咬合关系,后者通过修复体改善牙齿形态、颜色及功能,当两者结合时,往往需要借助图片进行术前设计、术中沟通及效果评估,图片在“牙齿矫正+烤瓷牙”的综合治疗中扮演着关键角色,贯穿诊断、方案制定、治疗过程及术后效果展示的全流程。
牙齿矫正与烤瓷牙的基础认知
牙齿矫正是通过施加持续、轻柔的外力,引导牙齿在牙槽骨内缓慢移动,最终达到排齐牙齿、调整咬合、改善面型的目的,常见矫治器包括金属托槽、陶瓷托槽、隐形矫治器等,治疗周期通常为1-3年,适用于牙齿拥挤、稀疏、龅牙、地包天等问题。

烤瓷牙是一种牙齿修复体,由金属内冠(如镍铬、钴铬、贵金属)和外部瓷层构成,兼具强度与美观性,其主要作用是修复牙齿缺损、变色牙(如四环素牙、氟斑牙)、牙齿形态异常(如过小牙、锥形牙)或作为牙冠保护治疗后脆弱的牙齿,烤瓷牙的修复需在牙齿预备(磨除部分牙体组织)后进行,制作周期约1-2周,佩戴后可恢复牙齿的自然形态与咀嚼功能。
牙齿矫正与烤瓷牙结合的适用场景
并非所有牙齿矫正都需要联合烤瓷牙,两者结合通常出现在以下情况,而图片在这些场景中是沟通与设计的基础:
矫正后美学修复:解决牙齿排列整齐后的形态/颜色问题
部分患者矫正后牙齿排列整齐,但存在个别牙齿形态异常(如过小牙、牙釉质发育不全)或严重变色(如四环素牙、死髓牙变色),此时需在矫正结束后通过烤瓷牙改善美观,患者因“上颌侧切牙先天缺失”通过矫正将邻牙移动至侧切牙位置,但移动后的牙齿过大或形态不自然,需通过烤瓷牙修整形态,使其与邻牙协调。
矫正中辅助修复:处理严重牙体缺损或变色牙
若患者存在严重的牙体缺损(如大面积龋坏、外伤导致的牙冠折裂)或变色牙,且计划进行牙齿矫正,可能需先进行临时修复或烤瓷牙修复,再配合矫正,患者“上前牙冠折1/3,伴牙髓炎”,需先根管治疗并制作临时冠保护患牙,待炎症控制后,在矫正过程中通过烤瓷牙修复牙体形态,避免矫正力对脆弱牙体造成损伤。

咬合重建矫正:联合烤瓷牙恢复功能与美观
对于伴有严重咬合紊乱(如深覆合、深覆盖、后牙反颌)的患者,单纯矫正可能难以稳定咬合关系,需在矫正后通过烤瓷牙进行咬合重建,调整牙齿接触点与咬合曲线,恢复咀嚼功能,患者“重度磨耗牙伴咬合垂直距离降低”,需先通过矫正调整牙齿位置,再制作烤瓷牙恢复牙冠高度与咬合关系。
图片在“牙齿矫正+烤瓷牙”中的应用
图片是口腔医生与患者沟通的“共同语言”,尤其在矫正与烤瓷牙联合治疗中,通过不同阶段的图片可清晰展示牙齿现状、治疗方案及预期效果,避免信息偏差。
术前诊断与方案设计:用图片明确问题
- 口内照:包括正面、侧面、45°角及咬合面照片,记录矫正前牙齿排列、拥挤度、龋坏情况、牙龈状态及咬合关系,通过正面照可直观显示“上颌牙中线偏斜”,咬合面照可发现“后牙反颌”,为矫正方案提供依据。
- 面部照:正面、侧面及微笑照,记录患者面型(如凸面型、凹面型)、微笑曲线及露齿情况,帮助设计矫正目标(如改善侧貌、调整微笑弧度)。
- X光片:全景片(曲面断层片)观察牙根形态、牙槽骨情况;头颅侧位片用于测量骨骼与牙齿角度(如ANB角、SN角),判断是否需要正畸-正联合治疗;根尖片检查个别牙根吸收情况,评估矫正风险。
- 模型与数字化扫描:通过石膏模型或口内扫描仪获取牙齿3D模型,可模拟牙齿移动轨迹,设计拔牙/不拔牙方案,并在模型上预演烤瓷牙的预备形态(如烤瓷牙的邻接点、咬合面形态)。
示例:针对“上颌前突伴下颌后缩”患者,通过头颅侧位片测量显示SNA角82°(正常值82°±4°),ANB角6°(正常值2°-4°),说明上颌骨位置正常但上牙前突;口内照显示上颌4颗切牙唇倾,结合面部侧面照呈现“凸嘴”侧貌,医生可通过图片向患者解释:需通过矫正内收上前牙,若矫正后上前牙形态仍不理想,可联合烤瓷牙修整切端形态,改善微笑效果。
术中沟通与调整:用图片实时反馈
矫正过程中需定期拍摄口内照,对比牙齿移动进度:

- 托槽粘接后:拍摄口内照确认托槽位置是否正确(如切牙托槽位于牙冠中1/3,避免影响咬合),若托槽位置偏差,可及时调整。
- 加力期间:每1-2个月拍摄照片,观察牙齿是否按计划移动(如拥挤牙是否逐渐排齐,深覆合是否打开),若出现牙根吸收或牙龈萎缩,可通过X光片及时调整矫治力。
- 烤瓷牙试戴时:拍摄烤瓷牙与邻牙的对比照,检查颜色匹配度(如瓷层透明度、邻接处颜色过渡)、形态协调性(如烤瓷牙切端是否与邻牙对称,牙龈边缘是否密合),若颜色偏差,需返回技工室调整;若形态不自然,可通过数字化设计修改牙冠外形。
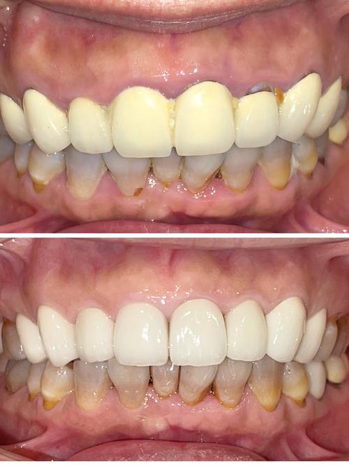
术后效果展示:用图片见证变化
治疗完成后,通过对比术前术后的图片,直观展示矫正与烤瓷牙的综合效果:
- 牙齿排列:术前口内照显示牙齿拥挤、错位,术后照片显示牙齿整齐、中线对齐,牙弓形态协调。
- 美观改善:术前面部侧面照显示“凸嘴”,术后侧面照显示唇部突度减小,侧貌线条流畅;微笑照显示烤瓷牙形态自然,与邻牙颜色一致,微笑弧度和谐。
- 功能恢复:咬合面照显示后牙咬合接触点良好,无早接触;患者反馈咀嚼效率提升,无疼痛或不适。
图片拍摄与解读的要点
为确保图片在治疗中的准确性,拍摄时需注意:
- 光线:使用口腔环形闪光灯,避免阴影干扰,确保牙齿颜色真实。
- 角度:口内照包括正面(上下牙列对齐)、左侧45°(显示右侧牙列)、右侧45°(显示左侧牙列)、咬合面(上下牙列接触关系),面部照需固定患者头部位置,确保重复拍摄角度一致。
- 工具:使用牵拉器(如颊拉钩)暴露牙龈及后牙区,避免唾液或软组织遮挡;数字化扫描仪可获取高精度3D图像,更直观展示牙齿细节。
解读图片时,需关注:牙齿排列是否整齐、牙龈形态是否健康(无红肿或萎缩)、烤瓷牙边缘是否密合(无悬突)、颜色是否协调(色差ΔE<2.5为肉眼可接受范围)、咬合是否有早接触(通过咬合纸检查)。
相关问答FAQs
Q1:牙齿矫正后一定要做烤瓷牙吗?
A:并非必须,是否需要做烤瓷牙取决于牙齿状况,若矫正后牙齿排列整齐、形态自然、颜色正常,无需额外修复;若存在牙齿缺损(如龋坏、外伤导致的牙体缺损)、严重变色(如四环素牙、死髓牙变色)、形态异常(如过小牙、牙釉质发育不全)或咬合不稳定,可通过烤瓷牙改善美观与功能,是否需要做烤瓷牙需经医生检查,结合口内照、X光片等综合判断。
Q2:为什么医生在矫正和烤瓷牙修复中会频繁使用图片?
A:图片在治疗中具有多重作用:①诊断依据:通过口内照、X光片等清晰记录牙齿问题,为方案设计提供客观依据;②沟通工具:图片直观展示牙齿现状与预期效果,帮助患者理解治疗必要性,避免因专业术语造成的误解;③进度追踪:定期拍摄图片对比牙齿移动或修复体制作进度,及时调整治疗方案;④法律凭证:术前术后图片可作为治疗记录,用于效果评估或纠纷处理,保障医患双方权益。
