南京种植牙的典型案例类型
南京作为江苏省会,拥有众多实力雄厚的口腔医院和诊所,种植牙技术成熟,案例丰富,常见类型包括:
-
单颗牙缺失种植修复:
(图片来源网络,侵删)- 案例描述: 患者因蛀牙、外伤或牙周病导致单颗牙齿缺失,影响咀嚼功能和美观,医生通过CBCT等影像学检查评估牙槽骨条件,选择合适的种植体(如ITI、Nobel、Osstem等品牌),进行微创手术植入牙槽骨,通常需要3-6个月的骨结合期,之后安装基台和全瓷牙冠。
- 特点: 技术成熟,效果自然,恢复功能好,对邻牙无损伤,南京多家医院(如江苏省口腔医院、南京市口腔医院)和大型连锁口腔机构都能熟练开展。
-
多颗牙缺失种植修复:
- 案例描述: 患者连续缺失2-4颗牙齿,医生会根据缺牙位置、牙槽骨条件、咬合关系等,设计不同的方案:
- 单颗种植: 每个缺牙位点都植入一颗种植体,再分别戴牙冠,优点是独立受力,设计灵活。
- 种植桥: 利用种植体作为桥墩,连接多个牙冠,优点是减少种植体数量,降低费用,但对牙槽骨和医生技术要求更高。
- 特点: 需要更全面的术前规划和更精细的手术操作,南京的资深医生在复杂多颗牙种植方面经验丰富。
- 案例描述: 患者连续缺失2-4颗牙齿,医生会根据缺牙位置、牙槽骨条件、咬合关系等,设计不同的方案:
-
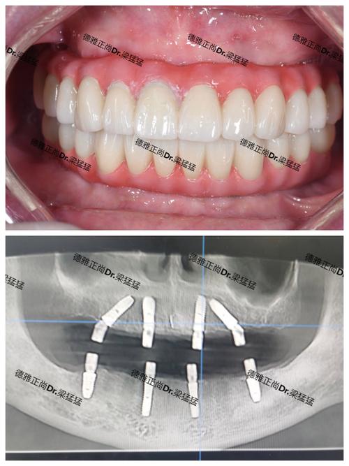
半口/全口牙缺失种植修复:
- 案例描述: 这是种植牙技术最具革命性的应用之一,针对半口或全口缺牙:
- All-on-4/6技术: 利用4颗或6颗 strategically placed 种植体,支撑起半口或全口的固定牙桥,当天或短期内即可戴牙,实现即刻负重,大大缩短治疗周期和等待时间。
- 种植覆盖义齿: 利用2-4颗种植体安装磁性或球帽附着体,使活动假牙获得更稳固的固位和更好的咀嚼力,同时保留一定的活动性(便于清洁)。
- 固定全口种植桥: 利用足够数量的种植体(通常6-8颗以上)支撑一个固定的、不可摘除的全口牙桥,提供最接近天然牙的稳定性和舒适度。
- 特点: 技术含量高,对医生团队、设备、材料要求极高,南京的大型公立医院和高端私立口腔机构是这类案例的主要承担者,能提供从传统到即刻负重、从覆盖义齿到固定桥的多种解决方案。
- 案例描述: 这是种植牙技术最具革命性的应用之一,针对半口或全口缺牙:
-
即刻种植/即刻负重案例:
- 案例描述: 对于符合条件的患者(如牙槽骨条件好、无严重炎症、有足够初期稳定性),可以在拔牙后立即植入种植体(即刻种植),甚至在某些情况下(如前牙美学区,且种植体初期稳定性极佳),当天或短期内即可戴上临时牙冠或永久牙冠(即刻负重)。
- 特点: 大大缩短治疗周期,减少手术次数,尤其适用于前牙美学修复,能快速恢复美观,南京具备数字化导板、3D打印等先进技术的机构,开展此类案例较多,但需严格把控适应症。
-
骨量不足的复杂种植案例:
(图片来源网络,侵删)- 案例描述: 患者因长期缺牙、牙周病或外伤导致牙槽骨严重萎缩,骨量不足以直接种植,医生会采用骨增量技术:
- 引导骨再生术: 在植骨区放置生物膜和骨粉,引导自体骨生长。
- 上颌窦提升术: 针对上颌后牙区骨量不足,通过上颌窦底提升增加骨高度。
- 骨劈开术/骨挤压术: 通过特殊技术使骨块分离或挤压,增加骨宽度。
- 特点: 治疗周期长(通常需要6-12个月或更久),费用较高,对医生技术要求极高,南京的口腔颌面外科医生和种植专家在处理这类复杂病例方面有丰富经验。
- 案例描述: 患者因长期缺牙、牙周病或外伤导致牙槽骨严重萎缩,骨量不足以直接种植,医生会采用骨增量技术:
南京种植牙案例的特点与优势
- 技术先进: 南京的口腔医疗机构普遍引进国际先进的数字化设备(如CBCT、口内扫描仪、CAD/CAM系统、种植导板设计制作系统),实现了种植手术的精准化、微创化和舒适化。
- 医生经验丰富: 拥有一批经过严格培训、经验丰富的种植专科医生,尤其在处理复杂病例方面有深厚积累。
- 选择多样: 从顶级公立三甲医院(省口、市口)到大型连锁口腔机构(如德伦口腔、雅尔美口腔、马泷齿科等),再到特色专科诊所,满足不同层次、不同需求的患者。
- 材料齐全: 提供国际主流品牌的种植体(如瑞士Straumann ITI、瑞典Nobel Biocare、韩国Osstem/Dentium、美国Zimmer Biomet等)和牙冠材料(全瓷、烤瓷等)。
- 服务理念提升: 私立机构尤其注重服务体验,提供预约制、舒适化治疗(如笑气镇静)、个性化美学设计等。
选择南京种植牙机构/医生的关键点(基于案例经验总结)
- 资质与认证: 确认机构是否具备正规医疗机构执业许可证,医生是否持有《医师资格证书》和《医师执业证书》,并关注其是否在种植牙领域有专门的培训和认证(如ITI、ICOI等会员)。
- 医生经验与技术: 重点考察医生的实际案例数量(特别是处理复杂病例的经验)、技术风格(是否擅长微创、即刻负重等)、患者口碑,面诊时多提问,了解医生的沟通能力和方案设计思路。
- 设备与消毒: 是否配备CBCT、数字化口扫等关键设备?消毒流程是否严格规范?这是安全和精准的基础。
- 方案设计与沟通: 医生是否能根据你的具体口腔条件、经济预算、美学期望,提供个性化、合理的多种方案?是否充分沟通利弊、风险、费用和预期效果?
- 材料选择: 了解提供的种植体品牌、型号、特点、质保期,以及牙冠材料的选择,不同品牌和材料价格差异大,需明确。
- 费用透明度: 费用构成是否清晰?是否包含种植体、基台、牙冠、手术费、检查费、药费、骨粉骨膜(如需要)等?有无隐形消费?要求提供书面报价单。
- 术后服务与质保: 了解术后复查安排、紧急情况处理预案、种植体及牙冠的质保政策(品牌质保和机构质保)。
- 患者口碑: 通过正规渠道(如卫健委官网查询资质、大众点评等平台看评价,但注意甄别)了解其他患者的真实体验。
南京种植牙价格参考(仅供参考,实际以面诊为准)
- 单颗种植牙: 通常在 8,000元 - 25,000元人民币 不等,差异主要取决于:
- 种植体品牌(韩系、欧美系)
- 牙冠材料(全瓷 vs 烤瓷)
- 是否需要植骨、上颌窦提升等附加手术
- 医院等级和医生资历
- 半口/全口种植: 费用差异巨大,从几万到十几万甚至更高,取决于技术方案(All-on-4/6 vs 传统多颗种植 vs 固定桥)、种植体数量、品牌、附加手术等。
南京的种植牙案例覆盖了从简单到复杂的各种情况,技术水平在国内处于领先地位,选择时,务必进行充分的实地考察和面诊沟通,重点了解医生资质、经验、方案设计、费用细节和术后保障,不要只看价格,安全和长期效果才是最重要的,一个成功的种植牙案例,是患者、医生、机构三方共同努力的结果,建议多对比几家,选择最适合自己的那一家。

