什么是平导?
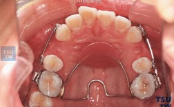
平导,全称是平面导板,是牙齿矫正(正畸)治疗中一种常用的功能性矫治器或辅助装置,它通常由树脂材料制成,戴在上颌牙齿(上牙弓)上,覆盖在前牙区域(主要是切牙和尖牙),而后牙区域(磨牙)是不接触的。

平导的主要作用和原理
平导的核心作用是打开咬合,特别是解决深覆合问题,它的原理基于肌肉的力量和牙齿的移动:
-
压低上前牙:
- 当患者戴上平导后,上下后牙无法接触(被导板隔开)。
- 为了咀嚼、说话或吞咽,患者必须用下前牙咬在平导的平面上。
- 这个持续的下前牙对平导的咬合压力,会传递给上前牙,产生一个压低的力量,促使上前牙向牙槽骨内移动(压入)。
- 这个力量也会刺激下前牙的牙槽骨,使其有一定程度的改建。
-
伸长后牙:
- 由于后牙没有接触,上下颌后牙之间会存在一个垂直距离的间隙。
- 在咀嚼肌(尤其是咬肌、翼内肌)收缩时,会产生一个向下的力量作用于下颌骨。
- 这个力量会牵引下颌骨向下向后旋转,同时刺激上下颌后牙的牙槽骨,促使后牙垂直向伸长(萌出),逐渐关闭这个间隙。
-
纠正咬合平面: 通过压低前牙和伸长后牙的组合作用,可以降低前牙咬合高度,增加后牙咬合高度,从而纠正异常的咬合平面(原本前牙过高、后牙过低的深覆合平面)。
-
改善面型: 对于深覆合患者,常伴有下面部过短、下颌后缩的面型,通过压低前牙和伸长后牙,可以增加下面部高度,改善下颌后缩,使面型更协调。
-
辅助其他治疗: 有时平导也用于:
- 纠正露龈笑: 通过压低上前牙,减少大笑时牙龈暴露的量。
- 开颌前期的预防或纠正: 在某些特定情况下(如后牙反颌伴随深覆合),平导可以帮助建立后牙咬合,防止或纠正前牙区的开颌。
- 为其他矫治器创造空间: 压低前牙可以为前牙区的排齐或内收提供空间。
平导的适应症
平导主要用于治疗或改善以下情况:
- 深覆合: 这是最主要的适应症,指上颌前牙切缘覆盖下颌前牙牙冠唇面超过1/3,或下颌前牙咬合在上颌前牙舌面中1/3以上。
- 露龈笑: 上前牙位置过高导致大笑时牙龈暴露过多。
- 开颌前期的干预: 在特定病例中用于预防或早期纠正开颌。
- 需要增加后面部高度的面型改善: 如伴深覆合的短面综合征。
使用平导的体验和注意事项
- 初期不适:
- 说话困难: 初期会影响发音,需要时间适应。
- 咀嚼困难: 后牙无法接触,只能用前牙咬平导进食,初期会很不习惯,食物选择受限(需吃软食)。
- 唾液分泌增多: 异物感可能导致唾液暂时增多。
- 口腔溃疡: 平导边缘可能摩擦口腔黏膜,引起溃疡,可使用正畸保护蜡缓解。
- 清洁至关重要:
- 平导容易藏匿食物残渣,必须每天认真清洁。
- 方法: 取下平导后,用牙刷、牙膏仔细刷洗平导的各个面,特别是与牙齿接触的边缘,可配合使用假牙清洁片或超声波清洗机,更要仔细清洁戴平导的牙齿表面,防止龋齿和牙龈炎,使用牙线或冲牙器清洁邻面。
- 遵医嘱佩戴:
- 医生会规定每天需要佩戴的时间(通常是全天佩戴,包括吃饭时,除非医生特别说明)。
- 切勿自行摘下或调整,需要复诊时,医生会检查平导的贴合度、牙齿移动情况,并根据需要进行调磨或更换。
- 饮食注意:
- 初期及整个佩戴期间,避免咬硬物、黏性食物(如口香糖、太妃糖),以免损坏平导或影响效果。
- 咀嚼时务必用下前牙咬在平导平面上。
- 复诊:
- 需要按照医生要求定期复诊,医生会检查牙齿移动是否达到预期,平导是否需要调整或更换,以及是否达到可以摘除平导的标准。
- 效果显现:
- 牙齿移动需要时间,效果不会立竿见影,通常需要数周甚至数月才能看到明显变化。耐心和配合是成功的关键。
平导是牙齿矫正中解决深覆合等问题的有效工具,它通过改变咬合关系,利用肌肉力量引导牙齿(压低前牙、伸长后牙)和颌骨发生有利的移动,从而达到改善咬合功能和面型的目的。
虽然初期佩戴会有一些不适和适应期,并且需要非常严格的口腔卫生维护,但在专业正畸医生的评估、设计和指导下,患者积极配合,平导能取得显著的治疗效果,如果你或你的孩子被医生建议使用平导,请务必了解其作用、原理和注意事项,并严格遵从医嘱。
