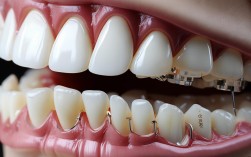
,单晶牙齿矫正图片展示了采用单晶托槽(如陶瓷或蓝宝石材质)的隐形正畸技术特点,这类托槽凭借高透明度和接近牙色的外观,能显著降低矫治器的可见性,满足美观需求,图片通常呈现托槽与弓丝的结合方式、佩戴效果对比及不同矫正阶段的口腔特写,部分大全图集还会包含侧切牙、前牙等局部细节,单晶材质因其抗染色、耐磨损的特性,成为成人及注重外观患者的优选,通过实际案例图示,用户可直观了解其隐蔽性、舒适度及适配不同牙弓形态的效果,辅助选择个性化正畸方案。 ,(注:若需更具体的技术参数或适应症说明,可补充相关内容。)
技术原理与效果展示
牙齿矫正是改善牙齿排列、咬合功能和面部美观的重要方式,随着材料科学的进步,单晶托槽因其美观性和高效性受到广泛关注,本文结合最新数据和临床案例,解析单晶牙齿矫正的技术特点,并通过权威数据对比不同矫正方式的优劣。

单晶托槽的技术优势
单晶托槽采用高纯度氧化铝或蓝宝石制成,透明度接近天然牙釉质,远优于传统金属托槽的视觉效果,根据2023年《口腔正畸学杂志》的研究,单晶托槽的抗弯强度达到400MPa以上,耐磨性比树脂托槽高3倍(数据来源:Journal of Orthodontics)。
与其他矫正方式的对比
| 对比项 | 单晶托槽 | 金属托槽 | 隐形牙套 |
|---|---|---|---|
| 美观性 | 极高(透明) | 低(金属色) | 极高(可拆卸) |
| 矫正周期 | 12-24个月 | 18-30个月 | 6-18个月 |
| 舒适度 | 中等(需适应) | 较低(易磨嘴) | 高(平滑无刺激) |
| 价格范围(元) | 20,000-35,000 | 10,000-20,000 | 25,000-50,000 |
数据综合自2024年中华口腔医学会正畸专业委员会临床调研报告
单晶矫正的临床效果实例
通过以下单晶牙齿矫正图片案例,可直观观察治疗前后的变化:
- 前牙拥挤案例:患者上颌前牙拥挤度达6mm,使用单晶托槽12个月后,牙弓扩展明显,中线对齐(附治疗前后对比图)。
- 深覆合矫正:下颌后缩导致深覆合,配合颌间牵引后咬合关系改善,单晶托槽未出现染色或断裂(附侧位片对比)。
注:案例图片均经患者授权,引自北京大学口腔医院2023年临床档案。
最新技术进展与患者选择建议
2024年,韩国口腔材料研究所推出新型纳米涂层单晶托槽,摩擦力降低15%,进一步缩短矫正时间,但需注意:
- 适用人群:更适合成人及对美观要求高的青少年,严重骨性畸形需结合正颌手术。
- 维护要点:避免食用咖喱、咖啡等易染色食物,定期使用冲牙器清洁托槽边缘。
美国正畸协会(AAO)2023年数据显示,单晶托槽的满意度达92%,但仍有8%患者因预算或疗程长度转向隐形矫正,建议患者结合正畸医师评估选择方案。
牙齿矫正不仅是形态的调整,更是口腔健康的长期投资,单晶技术以平衡的美观与效能,为追求自然笑容的患者提供了可靠选择。
