牙齿矫正作为口腔健康与美学的重要领域,正随着科技的进步不断迭代升级,在众多矫正技术中,“格莱美级”牙齿矫正逐渐成为追求高效、舒适与美观人群的热门选择,其背后融合了数字化技术、材料科学与个性化设计的多重突破,不仅重塑了牙齿排列,更提升了矫正体验的整体质感。
从“钢牙铁齿”到“隐形美学”:牙齿矫正的进化
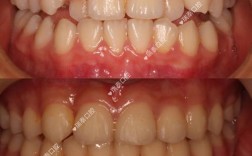
传统牙齿矫正常依赖金属托槽和弓丝,虽能有效改善错颌畸形,但美观性差、口腔异物感强、清洁难度大等问题,让许多患者尤其是成年人望而却步,而“格莱美级”矫正则以“隐形、精准、舒适”为核心,通过技术革新打破了传统矫正的局限,这类矫正技术通常以数字化口扫替代传统取模,通过AI算法模拟牙齿移动轨迹,结合3D打印技术定制个性化矫治器,实现“预见性矫正”——在治疗开始前即可通过三维动画查看最终效果,让矫正过程从“被动调整”变为“主动掌控”。

“格莱美级”矫正的核心科技:重塑矫正体验
数字化口扫:精准捕捉口腔数据
传统取模使用的印模材料易引发恶心反应,且精度有限(误差约0.5mm),而数字化口扫设备通过蓝光或激光扫描,可在10分钟内获取口腔内300万个数据点,生成误差小于0.1mm的3D模型,患者无需张口过久,扫描结果实时同步至计算机,医生可直观观察牙齿排列、咬合关系及牙根位置,为方案设计奠定精准基础。
AI辅助方案设计:千人千面的个性化路径
“格莱美级”矫正的核心竞争力在于AI技术的深度应用,系统基于百万级临床案例数据库,结合患者的牙齿数据、面部比例、年龄及骨骼发育情况,自动生成数十套矫正方案,医生可在此基础上进行微调,例如针对“牙列拥挤+中线偏斜”的患者,AI会优先设计“扩弓+远中移动”的组合方案,同时预测每颗牙齿的移动速度(约0.25mm/周)和力值分布,避免牙根吸收或牙周损伤。
3D打印矫治器:材料与工艺的双重突破
矫治器的材料直接决定了矫正效果与舒适度。“格莱美级”矫正多采用医用级高分子材料(如SmartTrack®高分子材料),其弹性模量是传统材料的3倍,可施加持续轻柔的力(约20-30g),减少牙齿移动时的不适感,3D打印技术实现了“逐层打印、一体成型”,矫治器边缘与牙齿紧密贴合(贴合度达95%以上),避免传统托槽因粘接剂脱落导致的矫正中断,且每副矫治器仅佩戴1-2周,即可完成阶段性牙齿移动,周期缩短30%-50%。
生物力学模拟:安全与效率的平衡
传统矫正依赖医生经验调整弓丝,易出现“用力过猛”导致牙根吸收(发生率约5%)或“用力不足”延长矫正周期。“格莱美级”矫正通过有限元分析(FEA)模拟牙齿移动时的应力分布,优化施力点设计,针对“深覆合”患者,系统会在后牙区设计“压低力”,前牙区设计“伸长力”,实现上下颌咬合关系的同步调整,避免单一牙齿移动引发的邻牙倾斜。

适用人群:从青少年到成年的全周期覆盖
“格莱美级”矫正的适用范围广泛,覆盖不同年龄段与需求群体:
- 青少年(12-18岁):处于生长发育高峰期,可配合生长改良(如扩弓纠正牙弓狭窄、前方牵引改善骨性反𬌗),隐形矫治器可自行摘戴,不影响口腔清洁,降低龋齿风险。
- 成年人(18岁以上):职场社交对美观需求高,隐形设计完全不影响正常社交,尤其适合教师、演员等职业,可结合瓷贴面、树脂修复等美学修复,实现“矫正+美白+修复”一站式解决。
- 特殊需求者:如牙周病患者(需先控制炎症)、颞下颌关节紊乱患者(需调整咬合平衡)、前牙间隙过大患者(通过关闭间隙改善发音功能)等,数字化方案可针对个体风险设计安全路径。
传统矫正与“格莱美级”矫正对比
| 维度 | 传统矫正(金属托槽) | “格莱美级”矫正(隐形) |
|---|---|---|
| 美观性 | 金属外露,影响社交 | 透明隐形,佩戴后几乎不可见 |
| 舒适度 | 托槽、弓丝摩擦口腔,易引发溃疡 | 材料柔软,贴合牙齿,无刺激 |
| 清洁便利性 | 需专用正畸牙刷,清洁死角多 | 可摘戴,正常刷牙、使用牙线 |
| 饮食限制 | 避免硬、黏、脆食物(如坚果、口香糖) | 无限制,可正常进食 |
| 复诊频率 | 4-6周一次,调整弓丝 | 6-8周一次,领取新矫治器 |
| 矫正周期 | 平均2-3年 | 平均1.5-2年(复杂病例缩短30%) |
| 适用范围 | 几乎所有错颌畸形 | 轻中度错颌(如拥挤、间隙、深覆合等) |
注意事项:科学矫正,远离误区
尽管“格莱美级”矫正优势显著,但仍需注意以下几点:
- 机构与医生资质:选择具备正畸专业资质的口腔机构,医生需熟悉数字化方案设计,避免因经验不足导致方案偏差。
- 佩戴依从性:隐形矫治器需每日佩戴20-22小时,仅进食、刷牙时摘下,若佩戴时间不足,会延长矫正周期甚至影响效果。
- 口腔护理:矫正期间使用含氟牙膏、冲牙器,避免食物残渣滞留引发龋齿;每3个月进行一次牙周检查,预防牙龈炎。
- 保持器佩戴:矫正结束后需全天佩戴保持器6个月,之后夜间长期佩戴,防止牙齿复发(复发率约20%-30%,保持器佩戴可降至5%以下)。
相关问答FAQs
Q1:“格莱美级”矫正适合所有牙齿问题吗?
A:并非所有问题都适合隐形矫正,其主要用于轻中度错颌畸形,如牙列拥挤、牙缝过大、轻度深覆合/深覆盖等,对于严重骨性错颌(如Ⅲ类反𬌗需手术)、牙齿旋转角度大于45°、短牙弓等复杂病例,可能需要传统矫正或正畸-正颌联合治疗,建议通过专业口腔检查(含CBCT、头影测量等),由医生评估方案可行性。
Q2:矫正过程中出现疼痛或不适怎么办?
A:牙齿移动初期(佩戴新矫治器后1-3天)可能出现轻微酸胀感,属正常现象,可通过温盐水漱口、吃软食(如粥、面条)缓解,若疼痛持续加重(如超过3天)或出现口腔溃疡,可涂抹正畸保护蜡(覆盖矫治器边缘),并及时联系医生调整方案,避免自行用力扳动牙齿,以免损伤牙周组织。
“格莱美级”牙齿矫正不仅是技术的革新,更是对“以患者为中心”理念的践行——通过精准、舒适、个性化的方案,让矫正过程从“忍受”变为“享受”,随着材料科学和AI技术的进一步发展,未来牙齿矫正将更高效、更智能,为更多人带来健康与自信的笑容。
