在口腔正畸领域,空军军医大学口腔医院(原第四军医大学口腔医院)作为国内顶尖的口腔专科医院,其牙齿矫正技术以权威的专家团队、先进的诊疗设备和个性化的矫正方案备受患者信赖,依托军医大学的科研背景,四医大正畸科在复杂病例矫正、青少年早期干预及成人美学矫正等方面积累了丰富经验,为不同年龄段患者提供系统化、精准化的正畸治疗服务。
四医大矫正牙齿的核心优势
四医大口腔医院正畸科汇聚了国内知名正畸专家,团队中多数成员具有海外留学经历,长期参与国际学术交流,紧跟国际正畸技术前沿,科室配备了全套数字化诊疗设备,包括口腔CBCT、3D口内扫描仪、数字化模拟系统等,可实现牙齿移动的精准预测和方案可视化设计,医院严格执行军医级诊疗标准,从术前检查到术后随访形成规范化管理体系,确保矫正过程的安全性与效果稳定性。

主流矫正技术及适用人群
四医大正畸科提供多种矫正技术,满足不同患者的需求:
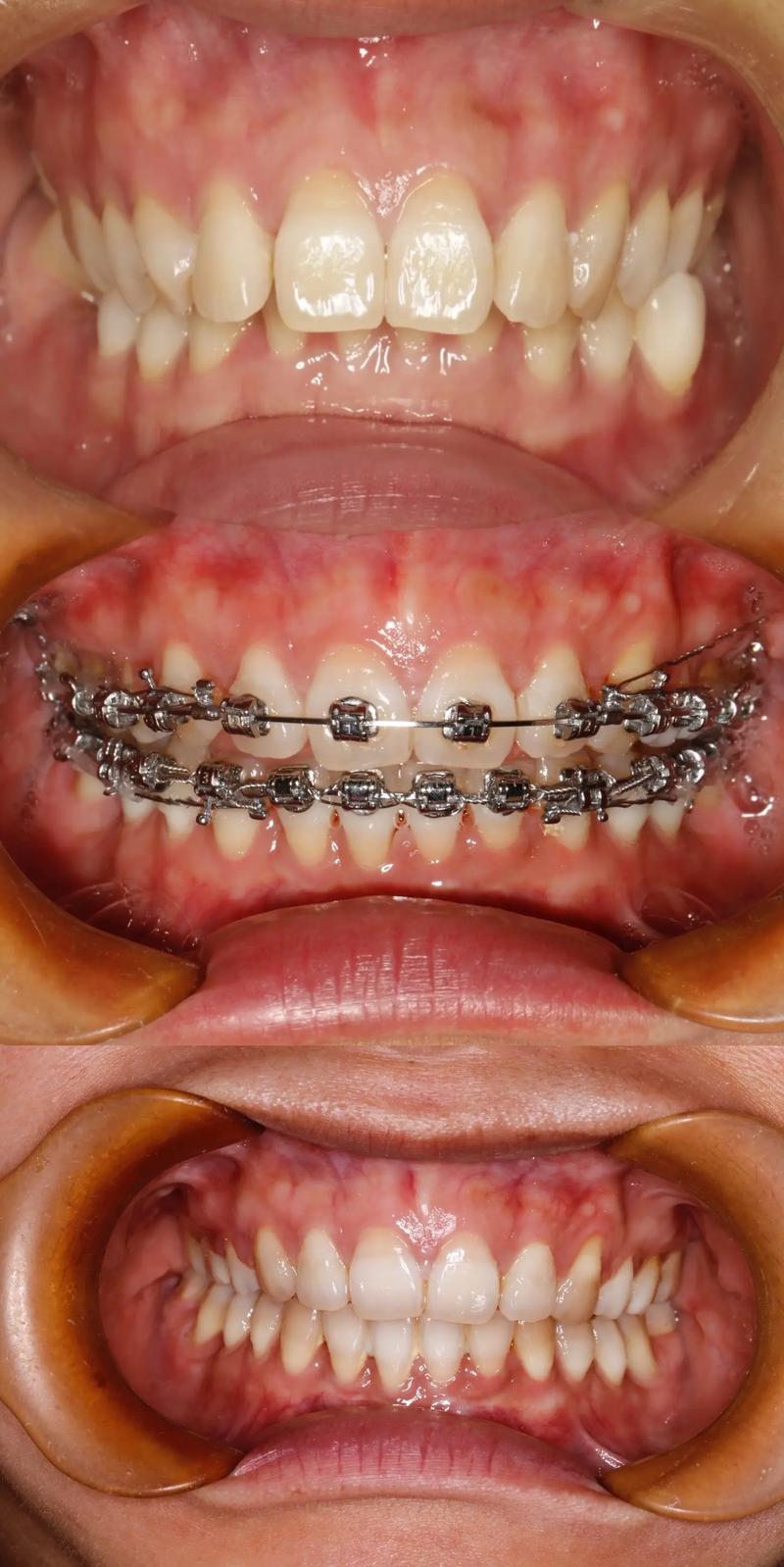
- 传统金属托槽矫正:性价比高,适用各类错颌畸形,尤其适合复杂病例(如骨性畸形、牙齿严重拥挤),通过精细的托槽粘贴和弓丝调整,可实现牙齿的精准移动。
- 陶瓷托槽矫正:托槽与牙齿颜色接近,美观度优于金属托槽,适合对美观有一定要求的青少年及成人患者。
- 隐形矫正:采用透明牙套逐步移动牙齿,可自行摘戴,不影响饮食和社交,适合轻中度错颌畸形(如牙列不齐、轻度龅牙)及对美观需求高的患者,四医大与多个国际知名隐形矫正品牌合作,结合AI技术为患者定制个性化方案。
- 舌侧矫正:将托槽粘贴在牙齿内侧,完全隐形,适合追求极致美观的成人患者,但对医生技术要求极高,四医大舌侧矫正团队具备丰富的临床经验。
以下是不同技术特点的对比:
| 矫正方式 | 美观度 | 舒适度 | 适用人群 | 矫正周期(平均) |
|----------------|--------|--------|------------------------|------------------|
| 金属托槽 | 低 | 中 | 复杂错颌畸形 | 1.5-3年 |
| 陶瓷托槽 | 中 | 中 | 青少年及成人 | 1.5-2.5年 |
| 隐形矫正 | 高 | 高 | 轻中度错颌、美观需求高 | 1-2年 |
| 舌侧矫正 | 极高 | 中低 | 成人极致美观需求 | 2-3年 |
矫正流程详解
四医大牙齿矫正流程严格遵循医学规范,主要分为以下阶段:
- 初诊检查:包括口腔检查、CBCT拍摄、头影测量分析、取模等,全面评估牙齿、颌骨、面部软组织情况,判断是否需要联合其他治疗(如牙周治疗、正颌手术)。
- 方案设计:结合患者需求与数据结果,医生团队制定个性化方案,通过数字化模拟展示矫正效果,患者确认后进入治疗阶段。
- 矫治器安装:根据方案选择托槽或隐形牙套,金属/陶瓷托槽需精准粘贴于牙齿表面,隐形矫正则需定制多副牙套。
- 定期复诊:传统矫正每4-6周调整一次弓丝,隐形矫正每6-8周更换一副牙套,医生会检查牙齿移动情况,必要时调整方案。
- 保持阶段:矫正结束后需佩戴保持器(如透明压膜保持器、 Hawley保持器),防止牙齿复发,定期复查保持效果。
注意事项与常见问题
矫正期间,患者需特别注意口腔卫生,建议使用正畸专用牙刷、牙线间隙刷,避免托槽周围食物残留导致龋坏或牙龈炎,饮食上应避免过硬、黏性食物(如坚果、口香糖),防止托槽脱落,部分患者可能会出现牙齿酸痛、口腔溃疡等不适,可通过正畸蜡保护黏膜,必要时咨询医生调整方案。

费用方面,四医大矫正牙齿的费用因技术类型、病例复杂度及治疗周期而异,金属托槽约1.5万-3万元,陶瓷托槽约2万-4万元,隐形矫正约3万-6万元,舌侧矫正约5万-8万元,具体费用需在面诊后由医生根据方案确定,部分项目可纳入医保报销范围(如拔牙、牙周治疗等)。
相关问答FAQs
Q1:四医大矫正牙齿需要多长时间?
A:矫正时间因人而异,一般简单病例(如牙列不齐)需1-2年,复杂病例(如骨性畸形、牙齿严重拥挤)可能需要2-3年,患者年龄、骨骼发育情况、配合度(如是否按时复诊、保持口腔卫生)等都会影响矫正周期,四医大医生会在初诊时结合具体病例预估大致时间,并定期评估调整方案。
Q2:矫正期间疼痛如何缓解?
A:矫正初期(戴牙后1周、每次复诊调整后)牙齿可能出现轻微酸胀疼痛,属于正常现象,通常3-5天会逐渐缓解,可采取以下方法:① 避免咀嚼过硬食物,选择温凉软食;② 使用正畸蜡覆盖托槽边缘,减少黏膜刺激;③ 遵医嘱服用非甾体抗炎药(如布洛芬),若疼痛持续加重或出现肿胀,需及时复诊检查。

