MRT牙齿矫正,全称为肌肉功能矫正技术(Muscle Repositioning Therapy),是一种结合口腔肌功能训练与颌骨矫治的综合性牙齿矫正方法,与传统矫正技术侧重于牙齿排齐不同,MRT的核心是通过调整口腔周围肌肉的平衡状态,引导颌骨向正常方向生长发育,同时纠正牙齿排列异常,尤其适用于生长发育期的儿童和青少年,其理论基础源于“肌功能异常是错颌畸形的重要诱因”——唇肌过紧、舌肌力量不足或口呼吸等不良习惯,会导致牙弓狭窄、下颌后缩或深覆合等问题,而MRT正是从根源上调整肌肉功能,为牙齿和颌骨的健康发育创造条件。
MRT矫正的原理:从“肌肉平衡”到“颌骨-牙齿协调”
口腔肌肉的动态平衡是维持正常咬合和颌骨形态的基础,当肌肉功能异常时,长期作用会牵引颌骨和牙齿偏离正常位置,MRT通过特定的肌功能训练装置(如肌功能矫治器)和训练动作,重新定位口腔肌肉的工作模式:通过“舌顶上腭”训练增强舌肌对上牙弓的扩张力,通过“唇肌闭合训练”抑制唇肌对前牙的挤压,同时结合矫治器对颌骨的轻力引导,促进下颌骨向前正常发育或限制上颌骨过度生长,这种“肌肉-颌骨-牙齿”的协同干预,不仅能排齐牙齿,更能改善骨性畸形,降低成年后正颌手术的风险。

MRT矫正的适用人群:抓住“生长发育黄金期”
MRT矫正的最佳年龄段为6-12岁的混合牙列期(即乳牙和恒牙替换的阶段),此时颌骨仍处于旺盛发育阶段,肌肉干预的潜力最大,具体适应症包括:
- 骨性错颌畸形:如下颌后缩(“地包天”早期)、上颌前突(“龅牙”早期)、牙弓狭窄(导致牙齿拥挤);
- 肌功能异常相关畸形:如口呼吸导致的开颌、深覆合,吮指习惯造成的开颌,唇肌功能不足导致的深覆盖;
- 混合牙列期的牙齿问题:如乳牙早失导致的间隙丧失、恒牙萌出方向异常等。
对于成年患者,MRT主要作为辅助手段,结合传统矫正改善肌功能异常,但无法改变已定型的颌骨形态。
MRT矫正的优势:不止于“排齐牙齿”
与传统矫正技术相比,MRT的核心优势在于“早期干预”和“功能矫形”:
- 根源性改善:通过调整肌肉平衡,引导颌骨正常发育,而非单纯移动牙齿,可减少骨性畸形的严重程度;
- 避免或减少拔牙:对于牙弓狭窄的患者,肌功能训练可扩大牙弓长度,为恒牙萌出提供空间,降低拔牙矫正的概率;
- 缩短后期矫正时间:早期干预后,颌骨和肌肉环境改善,后期固定矫正的周期可缩短6-12个月;
- 纠正不良习惯:训练中同步纠正口呼吸、吮指等习惯,预防错颌畸形复发;
- 舒适度高:肌功能矫治器通常采用柔软硅胶材质,佩戴舒适,儿童配合度较高。
MRT与传统牙齿矫正技术的对比
| 对比维度 | MRT矫正 | 传统矫正(固定托槽/隐形牙套) |
|---|---|---|
| 核心目标 | 调整肌肉平衡,引导颌骨发育+排齐牙齿 | 单纯排齐牙齿,调整咬合关系 |
| 最佳年龄 | 6-12岁(混合牙列期) | 12岁后(恒牙列期) |
| 矫治器类型 | 肌功能矫治器(如MRC、Bionator等) | 金属托槽、陶瓷托槽、隐形牙套(如隐适美) |
| 治疗周期 | 早期干预1-2年,后期可能需固定矫正 | 通常2-3年 |
| 是否需拔牙 | 多数可避免拔牙 | 部分复杂病例需拔牙 |
| 适用畸形类型 | 骨性错颌早期、肌功能异常相关畸形 | 牙列拥挤、牙间隙、单纯性咬合不良 |
MRT矫正的完整流程
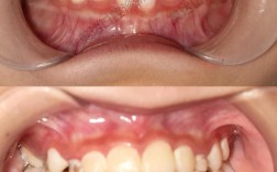
- 初诊评估:通过口腔检查、X光片(头影测量片、曲面断层片)、口腔模型分析,评估颌骨发育情况、牙齿排列和肌功能状态;
- 方案设计:根据评估结果,制定个性化肌功能训练计划,选择合适的矫治器类型(如针对牙弓狭窄的扩张型矫治器,或针对下颌后缩的引导型矫治器);
- 佩戴矫治器与训练:每日佩戴矫治器(通常白天4-6小时+夜间睡眠时佩戴),同时配合肌功能训练动作(如舌顶上腭、唇肌闭合练习、鼻呼吸训练),定期复诊(每月1次)调整矫治器力度和训练方案;
- 过渡期固定矫正:待颌骨发育改善、牙齿位置基本稳定后,若仍有轻微排列异常,可转入传统固定矫正或隐形矫正精细调整;
- 保持与巩固:矫正结束后,需佩戴保持器(通常1-2年),同时坚持肌功能训练,防止复发。
注意事项:配合是成功的关键
MRT矫正的效果高度依赖患者的配合度:

- 坚持佩戴:需严格按照医嘱佩戴矫治器,避免自行缩短时间或中断;
- 训练规范:肌功能训练动作需准确,家长需监督孩子每日完成;
- 习惯纠正:彻底纠正口呼吸、吮指等不良习惯,避免肌肉功能再次失衡;
- 口腔卫生:佩戴矫治器后需加强清洁,避免食物残渣堆积导致龋齿;
- 饮食注意:避免啃咬过硬食物,防止矫治器损坏。
相关问答FAQs
Q1:MRT矫正需要戴多久?
A:MRT矫正周期因人而异,主要取决于错颌畸形的类型和严重程度,对于轻度肌功能异常患者,单纯肌功能训练可能需要6-12个月;若伴有颌骨发育问题(如下颌后缩),早期干预阶段通常为1-2年,后期根据牙齿排列情况可能需要6-12个月的固定矫正巩固,总体而言,MRT的总治疗时间与传统矫正相当,但通过早期干预可缩短后期固定矫正的周期。
Q2:MRT矫正后效果会反弹吗?
A:反弹风险主要与是否保持良好习惯和佩戴保持器有关,若矫正后仍存在口呼吸、唇肌功能不足等不良习惯,或未按要求佩戴保持器,牙齿和颌骨可能再次偏离正常位置,矫正结束后需坚持佩戴保持器(通常前1年全天,之后仅夜间佩戴),并定期进行肌功能训练(如每周3-5次舌位训练),以维持肌肉平衡,降低复发风险。

