在河南地区,随着人们对口腔健康和美观需求的提升,牙齿矫正已成为越来越多人的选择,无论是青少年还是成年人,通过矫正改善牙齿排列、咬合关系,不仅能提升自信,更有利于口腔健康,但面对众多矫正机构和方式,如何科学选择?本文将从河南牙齿矫正的常见方式、机构选择、费用构成、流程及注意事项等方面展开详细说明,帮助大家全面了解牙齿矫正的相关知识。
河南牙齿矫正的常见方式及对比
牙齿矫正技术发展至今,已形成多种成熟方案,不同方式在美观度、舒适度、价格及适应人群上存在差异,河南地区主流的矫正方式主要包括传统金属托槽矫正、陶瓷半隐形矫正、隐形矫正及舌侧矫正,具体对比如下:
| 矫正方式 | 美观度 | 舒适度 | 价格范围(河南参考) | 适应人群 | 优缺点 |
|---|---|---|---|---|---|
| 传统金属托槽矫正 | 低 | 一般 | 1万-1.5万元 | 各类牙性、轻度骨性错颌畸形,尤其适合青少年(耐受力强、预算有限者) | 优点:价格低、技术成熟、矫正力度大;缺点:美观性差、易刮嘴、口腔清洁难度大 |
| 陶瓷半隐形矫正 | 中 | 较好 | 2万-3万元 | 对美观有一定要求,适合成人及青少年(如学生、职场人士) | 优点:托槽接近牙齿颜色、较隐蔽;缺点:材质脆性大、部分食物需忌口、价格较高 |
| 隐形矫正(如时代天使、隐适美) | 高 | 好 | 3万-5万元(进口品牌更高) | 注重美观、生活便利性的人群,适合轻度至中度错颌畸形,工作繁忙者 | 优点:完全透明、可自行摘戴、清洁方便、舒适度高;缺点:价格高、对自律性要求高、严重骨性畸形需辅助 |
| 舌侧矫正 | 极高 | 一般 | 5万-8万元 | 对美观要求极高,经济条件允许的人群(如演员、主播等) | 优点:完全隐藏在牙齿内侧,美观度最佳;缺点:价格昂贵、初期发音影响大、适应期长 |
河南牙齿矫正机构选择:公立医院与私立诊所的考量
河南地区提供牙齿矫正服务的机构主要包括公立医院口腔科、连锁口腔品牌及本地私立诊所,三者各有特点,需根据自身需求综合选择。
公立医院(如河南省口腔医院、郑州大学第一附属医院等)
优势:
- 权威性强:医生多为高校附属医院背景,临床经验丰富,处理复杂病例(如骨性畸形、多生牙拔除等)能力突出;
- 价格透明:收费严格遵循当地标准,无隐形消费,适合预算有限且注重性价比的人群;
- 医保覆盖:部分检查项目(如拔牙、牙周治疗)可走医保,降低整体费用。
不足:
- 预约难:热门专家号需提前1-2周排队,复诊等待时间较长;
- 服务体验:医生精力分散,沟通时间有限,环境和服务细节可能不如私立机构。
连锁口腔品牌(如拜博口腔、瑞尔齿科、美奥口腔等)
优势:
- 服务便捷:多网点布局,预约灵活,周末及节假日可就诊,适合上班族;
- 设备先进:普遍采用数字化口扫、3D打印等技术,方案设计更精准;
- 增值服务:提供终身维护、定期复查等,部分机构支持分期付款。
不足:
- 价格较高:服务成本和营销费用推高价格,部分套餐可能包含非必要项目;
- 医生流动性:部分机构医生流动较大,需确认主治医生的资质和稳定性。
本地私立诊所
优势:
- 性价比高:价格适中,常有本地优惠活动(如学生折扣、团购套餐);
- 沟通灵活:医生与患者沟通更细致,可针对需求定制个性化方案。
不足:
- 技术参差:需谨慎选择,确认医生是否有正畸专业资质及案例经验;
- 应急能力:复杂病例处理能力可能弱于公立医院,需提前了解其硬件配置。
选择建议:青少年复杂畸形、预算有限者优先公立医院;成人注重美观、服务体验者可考虑连锁品牌;本地诊所需重点考察医生资质和患者评价。
河南牙齿矫正费用构成:为何价格差异大?
牙齿矫正的总费用并非单一数字,而是由多项成本叠加而成,河南地区费用差异主要受以下因素影响:
矫正方式(核心因素)
如前文表格所示,传统矫正价格最低(1万-1.5万元),舌侧矫正最高(5万-8万元),隐形矫正因品牌(国产vs进口)、材料差异,价格跨度达2万-5万元,河南地区国产隐形矫正(如时代天使标准版)约3万-4万元,进口隐适美经典版约4万-5万元。
医生资质
- 主治医生:公立医院副主任医师、私立机构资深医生,费用比普通医生高20%-30%;
- 专家号:公立医院知名专家(如教授、博导)可能额外收取1000-3000元专家费。
病情复杂度
- 简单病例(如轻度牙列不齐):仅需排齐牙齿,周期短(1-2年),费用较低;
- 复杂病例(如骨性畸形、深覆合、需要正颌手术联合治疗):需拔牙、支抗钉辅助,周期延长至2-3年,费用增加1万-2万元。
辅助治疗
- 拔牙费用:河南地区每颗牙约200-500元(含麻药、术后药品);
- 支抗钉(种植钉):每颗约1000-2000元,部分复杂病例需植入2-4颗;
- 牙周治疗:矫正前若有牙龈炎、牙周炎,需先进行洁治、刮治,费用约500-2000元。
地区差异
郑州作为省会,医疗资源集中,价格普遍高于地级市(如洛阳、南阳),传统矫正在郑州约1.2万-1.5万元,洛阳约1万-1.3万元;隐形矫正两地差价约3000-5000元。
河南牙齿矫正全流程:从初诊到保持
牙齿矫正周期通常为1.5-3年,了解流程可帮助患者做好时间规划,减少焦虑:
初诊检查(1-2次)
- 口腔检查:医生评估牙齿排列、咬合关系、牙周状况;
- 影像检查:拍摄X光片(全景片、头颅侧位片)、CBCT(复杂病例需),分析骨骼情况;
- 数据采集:取模或口扫(数字化口扫可即刻获取3D模型,无需传统印模的不适感)。
方案设计(3-7天)
医生结合检查数据,制定个性化方案,包括:
- 矫正目标(排齐、内收、改善面型等);
- 矫正方式选择(根据美观、预算、病情确定);
- 拔牙与否(通常拥挤度大于5mm需拔牙,具体需医生评估);
- 治疗周期及费用明细。
矫正实施(1-3年)
- 粘托槽/戴牙套:传统/陶瓷矫正需分次粘托槽,隐形矫正需领取多副牙套;
- 复诊调整:传统矫正4-6周复诊1次,隐形矫正6-8周复诊1次,每次调整力度以轻微酸胀为宜;
- 中期复诊:每6个月拍摄X光片,监控牙齿移动进度。
保持阶段(终身)
矫正结束后需佩戴保持器,防止复发:
- 初期:前6个月除吃饭、刷牙外全天佩戴;
- 后期:夜间佩戴持续1-3年,部分复杂病例需终身夜间佩戴。
河南牙齿矫正注意事项:避免踩坑的关键
矫正前:明确需求,多方对比
- 查资质:确认医生是否有《正畸专科医师资格证》,公立医院医生可查询医院官网,私立医生可要求出示从业证明及案例;
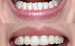
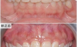
- 看案例:要求查看医生过往矫正前后对比照,重点关注与自己病情相似的案例;
- 签协议:明确费用包含项目(如保持器是否免费、复诊次数限制等),避免后续纠纷。
矫正中:注重口腔卫生,定期复诊
- 清洁方法:传统矫正需使用正畸牙刷、牙缝刷、冲牙器,避免食物残留导致蛀牙;
- 饮食禁忌:避免过硬(坚果、骨头)、过粘(口香糖、年糕)的食物,防止托槽脱落;
- 及时沟通:若出现托槽脱落、钢丝扎嘴,需尽快联系医生处理,切勿自行调整。
矫正后:保持器佩戴,定期复查
- 保持器选择:传统保持器(哈雷保持器)或透明保持器,前者耐用性更好,后者美观度更高;
- 避免复发:矫正后牙齿仍有移动趋势,若不戴保持器,可能出现“反弹”,尤其是前牙拥挤。
相关问答FAQs
Q1:河南牙齿矫正怎么选医生?公立医院和私立机构医生哪个更好?
A:选择医生需综合资质、经验和沟通风格,公立医院医生(如河南省口腔医院正畸科)处理复杂病例经验丰富,适合青少年或骨性畸形患者;私立机构医生服务更细致,沟通时间长,适合注重体验的成人,建议优先选择有5年以上正畸临床经验的医生,查看其是否擅长自己的矫正类型(如隐形矫正、舌侧矫正),并要求面诊沟通,确认方案是否清晰可行。
Q2:矫正期间疼不疼?多久能适应?
A:矫正初期(戴牙套后1-3天)牙齿会有酸胀、无力感,咬合时轻微疼痛,属于正常现象,一般3-5天缓解,每次复诊调整后1-2天可能再次出现轻微不适,但程度较初期轻,不影响正常生活,若疼痛持续超过1周或加剧,需及时复诊排查问题(如托槽压迫牙龈),成人因牙槽骨改建速度较慢,适应期可能比青少年略长1-2天,但总体均可耐受。
