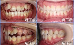
片切牙,在正畸医学中全称为“邻面釉质切除术”(Interproximal Reduction,简称IPR),是通过专业磨具去除少量牙齿邻面(即牙齿侧面相互接触的区域)釉质,从而调整牙齿排列、改善咬合关系的一种辅助性正畸技术,虽然听起来像是“磨牙”,但实际上它是一种精细化的操作,磨除的釉质厚度通常控制在每颗牙0.2-0.5毫米之间,总厚度不超过釉质本身厚度的50%,因此对牙齿健康影响极小,却能起到“四两拨千斤”的矫正效果。
片切牙的核心作用与适用场景
正畸治疗的核心是“在有限空间内排齐牙齿”,而片切牙的核心作用就是“创造空间”,具体而言,它的价值体现在三个方面:一是解决轻度到中度的牙齿拥挤,通过磨除邻面釉质为牙齿移动提供额外空间,避免或减少拔牙;二是调整牙齿的排列形态,比如改善牙齿过宽导致的“扇形排列不齐”,或修正上下牙弓的宽度不匹配;三是精细调整咬合,比如消除“早接触点”(即牙齿咬合时过早接触的区域),避免咬合创伤。

并非所有正畸患者都需要片切牙,它的适用人群有明确范围:主要包括牙弓长度轻度不足、存在5毫米以下拥挤、牙齿本身形态较大(如上颌侧切牙过宽)、或需要改善邻面接触点过紧导致的食物嵌塞问题者,对于严重拥挤、牙弓宽度明显不足,或存在釉质发育不良、龋齿风险较高的患者,则需谨慎选择或避免使用。
片切牙的操作流程:精细化与安全性并重
片切牙的操作需在专业正畸医生指导下完成,流程严格遵循“评估-设计-操作-护理”四步,确保安全与效果。
第一步:全面术前评估
医生需通过口腔全景片、头颅侧位片、口腔模型(或数字化口扫)等工具,精确测量牙齿拥挤度、牙弓长度、釉质厚度等关键指标,判断是否需要片切及磨除量,同时需排除牙周炎、牙釉质发育不全等禁忌症,确保牙齿本身健康。
第二步:个性化磨除量设计
根据评估结果,医生会制定“个性化片切方案”,对于轻度拥挤患者,可能需在每颗前牙邻面磨除0.2-0.3毫米,总磨除量控制在1-2毫米;而对于需要调整形态的患者,可能重点磨除牙齿过宽区域的邻面釉质,磨除量需严格遵循“宁少勿多”原则,避免损伤牙本质(釉质下方更敏感的组织)。

第三步:精细化操作实施
操作通常在正畸治疗初期(如戴入矫正器后1-2个月)进行,此时牙齿已开始轻微移动,便于片切后空间利用,医生使用专用的金刚砂条或片切盘(直径约0.8-1.0毫米的细长磨具),在牙齿邻面进行“点状”或“条状”磨除,同时不断用探针检查磨除深度,确保不超限,操作过程中会大量喷水降温,减少对牙齿的热刺激。
第四步:术后抛光与护理指导
片切完成后,医生会使用抛光杯和抛光膏将磨除区域打磨光滑,避免邻面粗糙导致食物嵌塞或菌斑堆积,同时会指导患者使用牙线、冲牙器等工具加强邻面清洁,并建议短期内避免过硬、过黏食物,减少牙齿敏感风险。
片切牙的优缺点:权衡利弊的科学选择
片切牙作为正畸辅助手段,既有显著优势,也存在一定局限性,需理性看待。
优点:

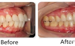
- 避免拔牙:对于轻度拥挤患者,片切可创造足够空间排齐牙齿,保留天然牙列的完整性;
- 缩短治疗时间:相较于拔牙矫正,片切无需等待拔牙创愈合,可加速牙齿移动;
- 改善口腔功能:通过调整邻面接触点和咬合关系,提升咀嚼效率,减少食物嵌塞;
- 美学效果优化:可修正牙齿形态异常(如“三角牙”),使牙列更整齐对称。
缺点:
- 牙齿敏感风险:若磨除过量或术后护理不当,可能短暂出现冷热敏感,通常1-2周可缓解;
- 龋齿风险增加:邻面釉质磨除后,若清洁不到位,可能增加邻面龋风险,需加强口腔卫生;
- 对医生技术要求高:磨除量不足则效果不佳,过量则损伤牙齿,需经验丰富的医生操作。
片切牙后的注意事项:维护效果与口腔健康
片切牙并非“一劳永逸”,术后护理直接影响矫正效果和牙齿健康:
- 加强口腔清洁:每天使用牙线清洁邻面,配合冲牙器或牙缝刷,避免菌斑堆积;
- 避免刺激食物:术后1周内避免过冷、过热、过硬食物,减少牙齿敏感;
- 定期复查:按医生要求定期复诊,医生会检查片切区域是否有龋坏、牙齿移动是否正常,必要时调整方案;
- 关注牙齿敏感:若敏感症状持续超过2周,或出现自发疼痛,需及时就医检查是否损伤牙本质。
相关问答FAQs
Q1:片切牙会让牙齿变松或变短吗?
A:不会,片切仅磨除牙齿邻面的釉质(牙齿最外层的坚硬组织),不涉及牙齿内部的牙髓神经和牙根,因此不会影响牙齿的稳固性,磨除的釉质厚度极薄(每颗牙通常小于0.5毫米),肉眼难以察觉牙齿长度变化,更不会导致牙齿变短,只要操作规范,片切后牙齿的生理功能和形态均可保持正常。
Q2:片切牙后牙齿敏感怎么办?如何预防?
A:片切后牙齿敏感主要是由于釉质变薄,牙本质暂时暴露,受到冷热刺激时产生酸痛感,通常可通过以下方式缓解:① 使用抗敏感牙膏(如含硝酸钾或氟化物的牙膏),每天刷牙2次,持续2-4周;② 避免冷热、酸甜等刺激性食物,用温水漱口;③ 若敏感严重,可在医生指导下使用脱敏剂(如含氟凝胶),预防方面,关键是选择正规医院和经验丰富的医生控制磨除量,术后加强口腔清洁,避免邻面龋坏导致的继发敏感。
