牙齿缺失是口腔临床中常见的口腔问题,无论是因为龋齿、牙周病、外伤还是先天发育异常导致的牙齿缺失,都可能对口腔健康、咀嚼功能、面部美观乃至心理健康产生一系列影响,随着口腔医学技术的发展,牙齿缺失后的修复与矫正方案日益丰富,本文将详细探讨牙齿缺失的影响、矫正修复的常见方法、选择要点及注意事项,帮助读者全面了解相关内容。
牙齿缺失的多重影响:不止“缺了一颗牙”那么简单
牙齿在口腔中并非孤立存在,而是维持口腔功能与结构的重要单位,单颗牙齿缺失后,看似“小问题”,实则可能引发连锁反应:

咀嚼功能下降:缺牙后,食物无法被充分咀嚼,增加胃肠道负担,长期可能引发消化系统疾病,后牙缺失(如磨牙)会导致研磨功能受损,患者可能不自觉地用偏侧咀嚼,进一步导致颞下颌关节紊乱。
邻牙与对颌牙移位:牙齿依靠邻牙保持稳定,缺牙后,两侧邻牙会向缺牙区倾斜、移位,对颌牙会因失去咬合阻力而伸长,导致咬合关系紊乱,下颌第一磨牙缺失后,上颌对应的第一磨牙可能伸长至下颌牙列平面,甚至影响下颌前伸运动。
牙周健康受损:邻牙移位后,牙齿间容易出现食物嵌塞,难以清洁,易引发龋齿、牙周炎等问题,进一步加剧牙齿脱落风险。
面部美观与发音影响:前牙缺失直接影响笑容美观,可能让人产生自卑心理;后牙缺失则可能导致面部肌肉松弛、牙槽骨吸收,出现“显老”的面部形态变化,牙齿与发音密切相关,如前牙缺失可能影响齿音(如“s”“z”)、唇齿音(如“f”“v”)的准确性。

心理健康与社会交往:牙齿缺失导致的咀嚼不便、外观缺陷,可能让患者在社交中产生焦虑、自卑情绪,影响生活质量。
牙齿缺失后的矫正修复方案:如何选择最适合的方法?
针对牙齿缺失,临床上的矫正修复方案主要分为两大类:一类是通过正畸治疗调整牙齿位置,关闭缺牙间隙或为修复创造条件;另一类是通过修复手段(如种植牙、固定桥、活动义齿等)直接填补缺失牙,具体选择需结合缺牙数量、位置、口腔条件(如牙槽骨高度、牙周健康状况)、年龄、经济预算及个人需求综合判断。
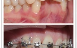
(一)正畸矫正:调整牙齿位置,为修复或关闭间隙创造条件
正畸矫正并非直接“补牙”,而是通过移动牙齿,解决因缺牙导致的间隙异常、咬合紊乱等问题,为后续修复(如种植牙)或直接关闭间隙提供基础。
关闭缺牙间隙(适用于单颗/少数牙缺失,且患者愿意接受牙列变化)

- 原理:通过在缺牙区施加持续、轻柔的力,将两侧邻牙向缺牙区移动,同时将伸长的对颌牙压低,最终消除间隙,使牙列恢复连续。
- 适用情况:青少年或年轻成人,缺牙数量少(1-2颗),牙周组织健康,牙槽骨条件良好,且对牙列排列有较高要求(如前牙区关闭间隙后更美观)。
- 优点:无需磨除健康邻牙,可维持牙弓长度和面部丰满度;若关闭的是后牙间隙,可避免种植或修复体的使用。
- 缺点:治疗周期较长(通常1-2年);需患者严格配合(如佩戴矫治器、避免进食过硬食物);关闭间隙后,原缺牙区牙槽骨会因失去生理刺激而吸收,远期可能影响咀嚼效率。
开辟间隙(适用于缺牙区牙槽骨条件不佳,需先为种植牙创造空间)
- 原理:对于牙槽骨严重吸收或邻牙过度倾斜的患者,可通过正畸将邻牙向远离缺牙区的方向移动,开辟足够的间隙(通常为种植牙所需的宽度,约8-10mm),同时改善牙槽骨条件,为种植手术创造条件。
- 适用情况:缺牙区牙槽骨宽度不足、邻牙严重倾斜或对颌牙伸长,无法直接种植的患者。
- 优点:通过正畸调整,可提高种植牙的成功率和长期稳定性;避免因骨量不足而进行复杂的植骨手术。
- 缺点:治疗周期更长(可能需2年以上);需与种植医生共同制定方案,确保正畸开辟的间隙符合种植要求。
(二)修复治疗:直接填补缺失牙,恢复功能与美观
若患者不愿接受正畸治疗,或缺牙数量较多、牙槽骨条件允许,可直接通过修复手段填补缺失牙,常见修复方法包括种植牙、固定桥、活动义齿等,具体对比如下:
| 修复方法 | 原理 | 优点 | 缺点 | 适用情况 |
|---|---|---|---|---|
| 种植牙 | 在缺牙区牙槽骨内植入人工牙根(种植体),待其与骨结合后,安装牙冠 | 功能、美观接近自然牙,咀嚼效率高; 不损伤邻牙,独立存在; 刺激牙槽骨,防止吸收; 使用寿命长(维护得当可终身使用) |
费用较高; 需手术,有适应症限制(如牙槽骨厚度≥10mm、高度≥8mm,无全身系统性疾病); 治疗周期长(3-6个月) |
单颗/多颗牙缺失、半口/全口牙缺失;牙槽骨条件良好;患者接受手术且经济条件允许 |
| 固定桥 | 利用缺牙区两侧的健康牙齿作为基牙,通过牙冠连接形成“桥体”,填补缺失牙 | 咀嚼效率较高,舒适度较好; 无需摘戴,美观度尚可; 治疗周期短(2-3周) |
需磨除健康邻牙(可能损伤牙髓); 依赖邻牙支持,长期可能损伤基牙; 桥体下方易清洁不佳,引发继发龋 |
缺牙少(1-2颗),邻牙健康且稳固;患者不愿接受种植或活动义齿 |
| 活动义齿 | 由基托、卡环、人工牙组成,通过基托吸附于牙龈上,卡环固定在邻牙上,可自行摘戴 | 费用低廉; 适用范围广(可修复多颗甚至全口缺失牙); 制作简便,无需磨除大量健康牙体 |
异物感明显,可能影响发音和咀嚼; 依赖卡环和基托固位,可能损伤基牙和牙龈; 使用寿命短(5-8年需更换); 咀嚼效率较低 |
多颗牙缺失、牙槽骨条件差(无法种植);经济有限或需临时修复;老年患者 |
矫正修复前的关键检查与评估
无论选择正畸还是修复方案,治疗前均需进行全面检查,以确保方案可行性和安全性:
口腔临床检查:检查缺牙位置、数量、邻牙移位情况、咬合关系、牙周组织健康状况(是否有牙龈萎缩、牙周袋溢脓等)。
影像学检查:
- 全景片(曲面断层片):观察全口牙齿、牙槽骨高度、邻牙牙根情况;
- CBCT(锥形束CT):三维评估牙槽骨的厚度、密度,以及重要解剖结构(如下牙槽神经管、上颌窦)的位置,为种植或正畸提供精确数据;
- 根尖片:针对单颗牙齿,观察牙根形态、根尖周病变。
全身健康状况评估:排除系统性疾病(如未控制的糖尿病、严重心脏病、凝血功能障碍等),确保患者能耐受治疗(如种植手术)。
模型分析:制取口腔模型,模拟牙齿移动轨迹或修复体设计,预测治疗效果。
矫正修复过程中的注意事项
口腔卫生维护:
- 正畸患者:需使用正畸专用牙刷(如V型牙刷)、牙缝刷、冲牙器,彻底清洁矫治器周围和牙缝,避免龋齿和牙周炎;
- 种植牙患者:术后使用软毛牙刷,避免种植体周围炎(种植牙“杀手”);
- 活动义齿患者:每次饭后摘下清洗,夜间浸泡在义齿清洁液中,避免用热水浸泡(导致基托变形)。
饮食调整:
- 正畸初期:避免过硬(如坚果、骨头)、过黏(如口香糖、年糕)食物,防止矫治器脱落或牙齿损伤;
- 种植术后1-3周:以温凉、软食为主(如粥、面条),避免咀嚼过硬食物;
- 活动义齿使用者:避免咬硬物(如螃蟹壳、坚果),防止义齿折断。
定期复诊:
- 正畸患者:每4-6周复诊一次,调整矫治力;
- 种植患者:术后1、3、6个月复查,之后每年一次,检查种植体稳定性;
- 固定桥/活动义齿患者:每年至少复查一次,检查固位情况、咬合关系及口腔健康状况。
牙齿缺失矫正,需“个性化”方案
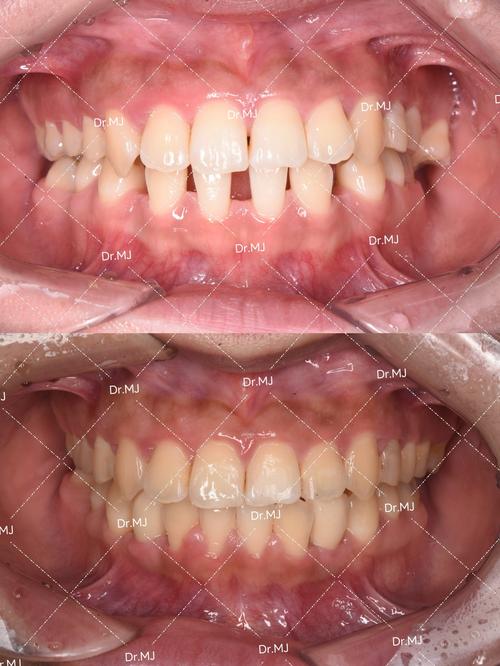
牙齿缺失的矫正修复并非“千篇一律”,而是需结合缺牙情况、口腔条件、年龄、需求等多因素制定个性化方案,对于青少年或年轻成人,若牙周健康且对牙列排列有要求,可优先考虑正畸关闭间隙;对于中老年人或牙槽骨条件良好者,种植牙是功能与美观兼顾的首选;而对于经济有限或牙槽骨条件差者,活动义齿可作为过渡性修复,无论选择哪种方法,早期干预、定期维护都是保障治疗效果的关键,若您存在牙齿缺失问题,建议及时到正规口腔医院就诊,通过专业检查与评估,选择最适合自己的修复方案,重获健康口腔与自信笑容。
相关问答FAQs
问题1:牙齿缺失后如果不矫正,会有哪些严重后果?
解答:牙齿缺失后若不及时处理,可能引发一系列连锁反应:邻牙会向缺牙区倾斜移位,导致牙缝变大、食物嵌塞,增加龋齿和牙周炎风险;对颌牙会伸长,破坏咬合平衡,可能引发颞下颌关节紊乱(如张口弹响、疼痛);长期咀嚼功能下降会影响消化系统健康;牙槽骨因失去生理刺激而吸收,导致面部塌陷、显老;前牙缺失还会影响美观和发音,甚至产生自卑心理,牙齿缺失后应尽早矫正修复。
问题2:矫正牙齿缺失时,选择种植牙还是正畸关闭间隙,哪个更好?
解答:两者无绝对优劣,需根据具体情况选择:若缺牙区牙槽骨充足、邻牙健康,且患者希望恢复接近自然牙的功能与美观,种植牙是首选,其无需磨除邻牙、可独立维持牙槽骨,但费用较高且需手术;若缺牙少(如1颗前牙)、患者年龄较小(颌骨可塑性强)、不愿接受手术,可通过正畸关闭间隙,但需注意关闭后牙槽骨会吸收,且治疗周期较长(1-2年),建议结合医生检查结果(如牙槽骨条件、牙周健康状况)和个人需求(预算、时间、美观要求)综合决定。
