牙套作为牙齿矫正的核心工具,通过持续、温和的力量作用于牙齿,引导其在牙槽骨中缓慢移动,最终达到排列整齐、咬合协调、面部美观的目的,这一过程基于牙齿与牙槽骨的生物学特性——当牙齿受到适当外力时,牙槽骨会在压力侧发生吸收,张力侧则出现增生,从而实现牙齿的位置改变,随着正畸学的发展,牙套已从传统的单一金属托槽演变为多种类型,满足不同患者的年龄、美观需求及错颌畸形类型。
牙套矫正牙齿的核心原理
牙齿并非直接“嵌入”牙槽骨,而是通过牙周膜(连接牙齿与牙槽骨的纤维组织)与骨组织相连,牙套通过托槽(或附件)将矫治力传递给牙齿,使牙周膜受到压力与张力,压力侧的牙周膜组织压缩,刺激破骨细胞活跃,吸收少量牙槽骨;张力侧的牙周膜被拉伸,促进成骨细胞形成新骨,这种“旧骨吸收、新骨形成”的循环过程,使牙齿在牙槽骨中逐步移动至理想位置,整个矫正过程通常需要1-3年,移动速度控制在每月1mm左右,以确保牙齿和周围组织安全,避免牙根吸收或骨损伤。

常见牙套类型及特点
为适应不同需求,现代牙套可分为固定式与活动式两大类,其中固定式应用更广泛,具体类型如下表所示:
| 类型 | 特点 | 优点 | 缺点 | 适合人群 |
|---|---|---|---|---|
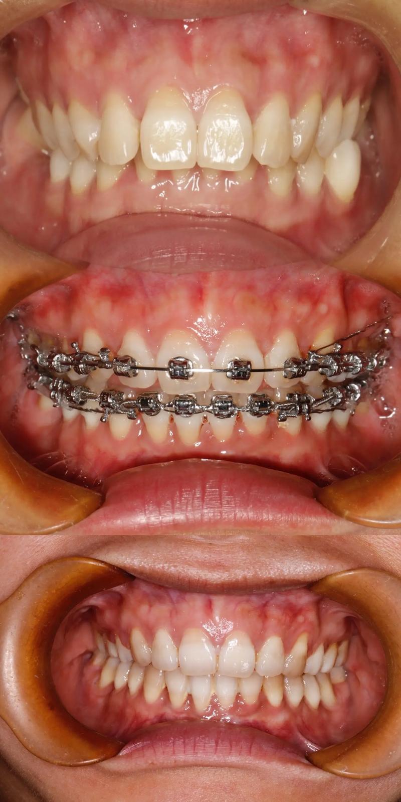
| 传统金属托槽牙套 | 由金属托槽和弓丝组成,通过结扎丝固定 | 矫治力稳定,价格较低,适用范围广 | 美观性差,口腔异物感强,易刮伤口腔 | 错颌畸形复杂者(如严重拥挤、深覆合) |
| 陶瓷托槽牙套 | 托槽采用透明陶瓷材料,与牙齿颜色接近 | 美观性较好,强度接近金属托槽 | 材质较脆,大力度矫治时易脱落,价格较高 | 对美观有要求,轻中度错颌畸形者 |
| 自锁托槽牙套 | 托槽自带闭锁装置,无需结扎丝,弓丝可直接嵌入 | 复诊间隔延长(6-8周),疼痛感较轻,口腔卫生易清洁 | 价格较高,初期适应时间稍长 | 时间紧张、对疼痛敏感或注重口腔卫生者 |
| 隐形牙套 | 由高分子透明材料制成,可自行摘戴,每副牙套通过3D打印技术精准设计 | 美观性极佳,舒适度高,方便清洁,可正常饮食 | 价格昂贵,适用于简单错颌畸形,需严格佩戴(每天20小时以上) | 轻中度拥挤、龅牙、牙缝过大,对美观要求高者 |
| 舌侧牙套 | 托槽粘接在牙齿舌侧面,完全隐藏 | 隐蔽性最好,不影响外观 | 价格极高,语言发音受影响,清洁难度大,矫治周期长 | 对美观要求极高,经济条件允许者 |
牙套矫正的适用情况
牙套矫正并非仅针对“牙齿不齐”,其适用范围涵盖多种错颌畸形,包括但不限于:
- 牙齿排列问题:牙列拥挤(牙齿过多导致排列不齐)、牙列稀疏(牙齿间缝隙过大);
- 咬合异常:深覆合(上牙过度覆盖下牙)、深覆盖(龅牙)、反合(地包天,下牙覆盖上牙)、开合(上下牙无法咬合);
- 面部美学问题:因牙齿问题导致的唇部突出、面部不对称等;
- 功能性问题:咬合紊乱导致的咀嚼效率低、颞下颌关节疼痛(如弹响、张口受限)。
矫正年龄并非绝对限制:青少年(12-18岁,恒牙列早期)因颌骨仍在发育,矫治效果更佳;成年人只要牙周健康(无严重牙龈萎缩、牙槽骨吸收),同样可进行矫正,但可能需要结合牙周治疗,且矫治周期略长。
牙套矫正的完整流程
- 初诊检查:医生通过口内检查、拍摄全景片、头颅侧位片、CBCT(三维影像)及取模,分析牙齿排列、颌骨关系、面部比例等问题;
- 方案设计:结合患者需求与数据,利用专业软件模拟牙齿移动过程,制定个性化矫治计划(包括牙套类型、疗程、预期效果);
- 戴牙套:固定牙套需粘接托槽,调整弓丝;隐形牙套则需按顺序佩戴每一副,每副戴10-14天;
- 定期复诊:固定牙套每4-6周调整一次弓丝;隐形牙套每2-4周复诊检查佩戴情况,确保牙齿按计划移动;
- 保持阶段:矫正结束后拆除牙套,佩戴保持器(通常为透明压膜保持器或传统 Hawley 保持器),防止牙齿复发,前6个月需全天佩戴,之后逐渐过渡至夜间长期佩戴。
矫正期间的注意事项
- 口腔卫生:戴牙套后食物易残留,需使用正畸专用牙刷、牙缝刷、冲牙器,每天至少刷牙3次,避免龋齿和牙周炎;
- 饮食调整:避免过硬(如坚果、骨头)、黏性(如口香糖、年糕)食物,防止托槽脱落;隐形牙套佩戴期间需避免饮用有色饮料(如咖啡、奶茶),以免染色;
- 疼痛管理:初戴牙套或每次加力后3-5天,牙齿可能出现酸胀感,可通过冷敷、进食软食或服用非处方止痛药缓解;
- 配合治疗:严格按照医生要求佩戴牙套(尤其隐形牙套),避免自行调整弓丝,若托槽脱落需及时复诊处理。
矫正效果的维持
牙齿矫正后,由于牙周组织仍有记忆性,牙齿可能向原始位置移动(复发),因此保持器是维持效果的关键,研究显示,不戴保持器的复发率高达70%以上,而正确佩戴保持器可使复发率控制在10%以内,定期口腔检查(建议每年1-2次)有助于及时发现潜在问题,确保长期稳定。

相关问答FAQs
Q1:矫正牙齿会疼吗?如何缓解?
A:矫正过程中可能出现轻度疼痛,主要源于牙齿移动时的生理反应,通常在戴牙套后1-3天内最明显,之后逐渐缓解,疼痛程度因人而异,一般表现为酸胀或轻微咬合痛,可通过以下方式缓解:① 避免咀嚼过硬食物,选择温凉、软质饮食(如粥、面条);② 用冰袋冷敷面部肿胀部位(每次15分钟,间隔1小时);③ 若疼痛影响睡眠,可服用布洛芬等非甾体抗炎药(需遵医嘱),随着牙齿适应,疼痛感会明显减轻。
Q2:成年人矫正牙齿会不会太晚?和青少年矫正有什么区别?
A:成年人矫正牙齿没有年龄上限,只要牙周健康(无严重牙龈萎缩、牙槽骨吸收),均可进行矫正,与青少年相比,成年人矫正主要有以下区别:① 颌骨发育已完成:青少年可通过矫治器引导颌骨生长,而成年人只能通过移动牙齿改善咬合,对骨性问题的矫正效果有限(可能需结合正颌手术);② 牙周条件差异:成年人可能存在牙周炎、牙槽骨吸收等问题,需先进行牙周治疗,待稳定后再开始矫正;③ 矫治周期稍长:成年人骨改建速度较慢,平均矫治时间比青少年长3-6个月;④ 美观需求更高:成年人更倾向于选择隐形、陶瓷等美观性较好的牙套,尽管存在这些差异,成年人矫正在功能与美观改善上仍能取得显著效果。

