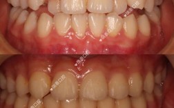
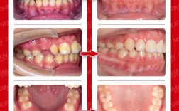
骨性牙齿突出是口腔正畸领域较为复杂的一类错畸形,主要指因上下颌骨发育不协调导致的牙齿及颌骨位置异常,表现为上颌前突(俗称“龅牙”)、下颌后缩,或双颌前突等,不仅影响面部美观,还可能伴随咬合功能障碍、发音问题及口腔清洁困难等健康隐患,其矫正需结合骨骼、牙齿、软组织等多因素综合设计,治疗难度与周期通常高于单纯牙性错畸形。
骨性牙齿突出的成因与诊断
骨性突出的成因复杂,包括遗传因素(如父母颌骨发育异常)、替牙障碍(乳牙早失、恒牙萌出顺序异常)、不良习惯(长期吮指、口呼吸、咬唇等)及全身性疾病(如侏儒症、佝偻病等)影响颌骨发育,诊断需通过临床检查与影像学评估结合:临床观察面部轮廓(如鼻唇沟深度、颏部形态)、咬合关系(深覆盖、深覆等);影像学检查以头颅侧位片为核心,测量SNA(上颌骨相对颅骨位置)、SNB(下颌骨相对颅骨位置)、ANB(上下颌骨关系)等角度,判断颌骨前后向发育差异;同时结合曲面断层片评估牙根及牙槽骨情况,必要时行CBCT三维重建分析骨皮质厚度及对称性。
矫正原理与核心策略
骨性矫正的核心在于“颌骨改建”与“牙齿代偿”,青少年患者处于生长发育高峰期,颌骨可塑性较强,可通过功能性矫治器(如Twin Block、FRⅢ矫治器)或生长改良矫治器(如上颌扩弓联合前方牵引)刺激下颌骨生长、抑制上颌骨过度发育,引导颌骨向正常方向发育,成年患者骨骼已定型,矫正需以“正畸-正颌联合治疗”为主:先通过正畸治疗排齐牙齿、调整咬合关系,为手术创造条件;再通过颌面外科手术(如上颌骨Lefort I型截骨后退术、下颌骨矢状劈开前移术)调整颌骨位置,最后术后正畸精细咬合,稳定疗效,对于轻度骨性突出且患者拒绝手术者,可通过“掩饰性正畸”拔除部分牙齿(如第一前磨牙)内收前牙,利用牙齿代偿改善面型,但需严格评估代偿极限,避免出现“黑三角”或牙根吸收等问题。
常用矫正方法与适用人群
针对不同骨性类型及年龄阶段,矫正方法有所差异:
| 骨性类型 | 常用矫正方法 | 适用人群 |
|--------------------|----------------------------------------------------------------------------------|----------------------------------|
| 上颌骨前突为主 | 上颌前方牵引(配合扩弓)、青少年功能性矫治;成人需正畸正颌联合(Lefort I型术) | 青少年(生长发育期)、成人(中重度) |
| 下颌后缩为主 | 下颌前方牵引(如Activator)、颏兜矫治;成人正畸正颌联合(下颌矢状劈开前移术) | 青少年(替牙后期)、成人 |
| 双颌前突 | 早期生长改良(如FRⅢ);成人拔牙正畸(拔4个第一前磨牙)+正颌手术(上下颌联合截骨) | 青少年、成人(需手术干预) |
矫正流程与注意事项
骨性矫正需多学科协作,流程通常包括:①初诊检查(临床+影像学评估);②方案设计(正畸医生与颌面外科医生共同制定);③术前正畸(1-1.5年,排齐牙齿、调整牙轴);④正颌手术(住院全麻,术后1周拆线,3个月恢复);⑤术后正畸(6-12个月,精细调整咬合);⑥保持器佩戴(至少2年,夜间长期保持),注意事项包括:青少年患者需定期监测生长发育情况,及时调整方案;成人患者需戒烟酒,避免影响骨愈合;矫正期间加强口腔卫生(使用正畸专用牙刷、水线),预防龋齿和牙周炎;术后遵医嘱饮食(流食→半流食→普食),避免剧烈运动撞击颌骨。
相关问答FAQs
Q1:骨性牙齿突出不矫正会有什么后果?
A:骨性突出随年龄增长可能逐渐加重,不仅导致面型不佳(如“凸嘴”、“月牙脸”),影响心理健康,还可能引发咬合创伤(牙齿磨耗、松动)、颞下颌关节紊乱(关节弹响、疼痛)、发音不清及睡眠呼吸暂停等问题,儿童期未干预可能阻碍颌骨正常发育,增加成年后治疗难度。
Q2:成年人骨性矫正一定要手术吗?
A:不一定,是否手术取决于骨性突出程度、患者诉求及牙齿代偿能力,轻度骨性突出(如ANB角<5°、上颌前突<3mm)可通过拔牙正畸(如拔除4个第一前磨牙)内收前牙,改善面型;中重度突出(ANB角>7°、上颌前突>5mm)骨骼畸形明显,单纯正畸效果有限,需联合手术才能从根本上解决问题,具体方案需通过头影测量等检查由医生综合评估。
