杭州作为长三角地区的重要医疗城市,在畸形牙齿矫正领域拥有丰富的医疗资源和先进的技术优势,每年吸引众多市民及周边地区患者前来寻求矫正治疗,畸形牙齿不仅影响面部美观,还可能导致咀嚼功能下降、发音不清、牙周疾病等问题,甚至对心理健康造成困扰,因此及时矫正对健康和生活质量提升具有重要意义。
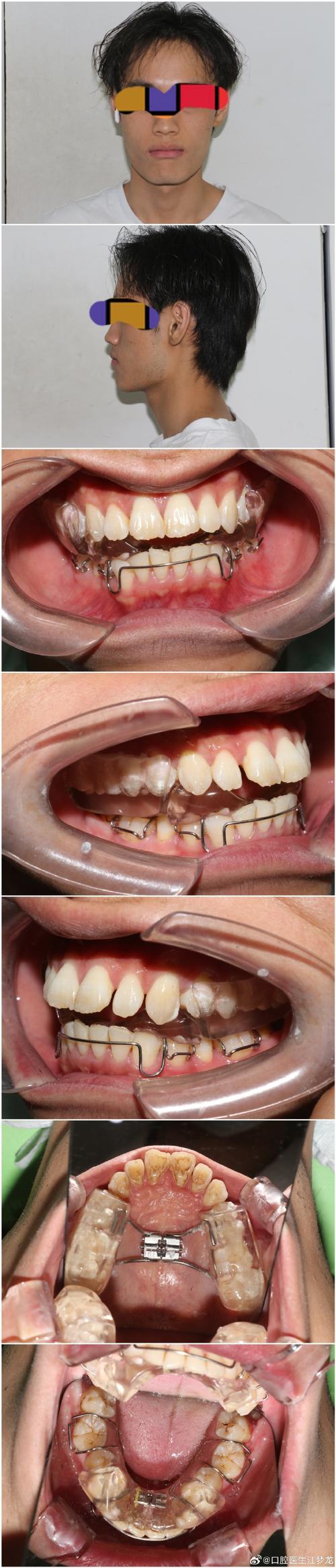
杭州的畸形牙齿矫正服务覆盖了从青少年到中老年的全年龄段,针对不同类型的牙齿畸形(如牙列拥挤、牙缝过大、龅牙、地包天等),提供了多样化的矫正方案,目前主流的矫正技术包括传统金属托槽矫正、陶瓷半隐形矫正、全隐形矫正(如隐适美、时代天使)以及舌侧矫正等,隐形矫正因美观、舒适、可摘戴的特点,受到成年患者的青睐;而传统金属矫正则凭借性价比高、技术成熟,仍是青少年群体的主流选择,数字化技术的普及也让矫正更精准,通过口内扫描、3D模型模拟、方案可视化等,医生能更直观地设计矫正路径,患者也能提前预见矫正效果。

选择矫正机构和医生时,需重点关注资质与经验,杭州正规口腔医院或大型综合医院的口腔科均配备专业的正畸团队,医生需具备正畸专科资质和丰富的临床案例,建议患者实地考察机构的环境、消毒流程,以及是否采用数字化设备(如CBCT、口扫仪等),复诊的便利性也很重要,杭州部分机构提供分时段预约服务,可减少患者等待时间。
矫正费用是患者普遍关心的问题,具体因矫正方式、牙齿复杂程度、医生资历及所在区域而异,以杭州市场为例,传统金属矫正费用约1万-2万元,陶瓷半隐形矫正约2万-3万元,全隐形矫正约3万-5万元,舌侧矫正因技术难度高,费用可达5万-8万元,部分机构会提供分期付款服务,减轻患者经济压力,值得注意的是,矫正并非越贵越好,适合自己牙齿情况和需求的方案才是最佳选择。
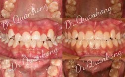
矫正过程中的护理同样关键,佩戴固定托槽期间,需避免食用过硬、黏性食物(如坚果、口香糖),以防托槽脱落;每天认真刷牙,使用牙线、冲牙器清洁牙缝,防止龋齿和牙周炎,隐形矫正需每天佩戴20小时以上,按时更换牙套,并保持牙套清洁,复诊周期一般为4-6周,医生会根据牙齿移动情况调整方案,患者需严格遵守医嘱,切勿擅自延长复诊时间,以免影响矫正进度。
矫正结束后,保持器佩戴是防止复发的重要环节,牙齿在矫正后处于稳定期,需通过佩戴保持器(如透明保持器、哈雷保持器)维持位置,通常要求全天佩戴3-6个月,之后逐步过渡到夜间佩戴,具体时间需遵医嘱,定期复查能及时发现潜在问题,确保矫正效果的长期稳定。

相关问答FAQs
Q:畸形牙齿矫正的最佳年龄是什么时候?
A:矫正黄金年龄因牙齿畸形类型而异,儿童在替牙期(6-12岁)若出现地包天、龅牙、下颌后缩等问题,可进行早期干预,利用生长发育潜力引导颌骨正常发育,青少年恒牙列期(12-18岁)是矫正的黄金时期,牙齿移动快,效果好,成年人因骨骼已定型,矫正主要针对牙齿移动,虽然时间稍长,但通过现代技术同样能取得理想效果,因此年龄并非限制,关键在于牙周健康情况。
Q:矫正过程中会疼吗?如何缓解?
A:矫正初期和每次复诊后1-3天,可能会感到牙齿酸胀、轻微疼痛,属于正常现象,因为牙齿在受力移动,疼痛程度因人而异,通常可通过以下方式缓解:①饮食清淡,避免咀嚼过硬食物;②可遵医嘱服用非处方止痛药(如布洛芬);③用冰袋冷敷面部缓解肿胀;④保持口腔卫生,避免炎症加重,一般疼痛会在3-5天内自行消失,若持续剧痛需及时复诊检查。

