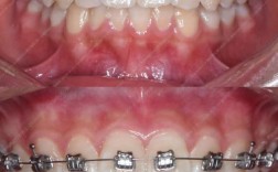
牙齿矫正过程中,钢丝(弓丝)作为引导牙齿移动的核心部件,有时会出现脱落的情况,这不仅可能引起口腔不适,还可能影响矫正进度,是很多矫正者都会遇到的问题,了解钢丝脱落的原因、处理方法和预防措施,能帮助大家更从容应对。
钢丝脱落的原因多样,常见包括托槽松动或脱落:托槽是固定弓丝的“小锚点”,若粘接剂老化或外力撞击导致托槽脱落,弓丝会失去固定而移位;不良口腔习惯:咬硬物(如坚果、冰块)、用牙开瓶盖或撕包装,可能直接导致托槽脱落或弓丝变形;食物嵌塞挤压:矫正期间牙齿间易嵌塞食物,若未及时清理,食物残渣可能挤压弓丝,使其从托槽槽沟中滑出;矫正过程中的正常调整:医生更换弓丝或调整力度时,可能出现暂时性松动,若未及时复诊固定,也可能导致脱落;个体差异:牙齿移动速度不均,弓丝末端可能因牙齿位置变化而刺激黏膜。

遇到钢丝脱落,首先需冷静处理,紧急处理:若钢丝末端刺痛口腔,可用正畸蜡(药店或诊所可购)覆盖钢丝尖端,减少刺激;避免用手或工具强行调整钢丝,防止划伤口腔或损坏矫正器;暂停食用硬、黏、脆性食物(如牛肉干、口香糖),以免加重脱落,后续处理:尽快联系矫正医生,一般建议1-2天内复诊,医生会检查脱落原因:若是托槽脱落,会重新粘贴并固定弓丝;若为弓丝变形,会进行调整或更换;若为末端刺激,会修剪或弯折钢丝,避免接触黏膜,若脱落发生在非工作时间,可先通过电话或微信联系医生,获取临时处理指导。
日常注意细节可有效降低钢丝脱落风险,避免咬硬物:戒掉用牙开瓶盖、咬笔等习惯,食用坚果、螃蟹壳等食物时用工具去壳;加强口腔清洁:每天使用正畸牙刷(刷头小、刷毛软)清洁托槽周围,配合牙缝刷、冲牙器清除食物残渣,避免嵌塞挤压弓丝;定期复诊:按医生要求每4-6周复诊,医生会检查托槽松动情况并及时调整,提前预防脱落;调整饮食方式:细嚼慢咽,避免大口咬食物(如苹果、玉米),可切成小块食用;佩戴保护套:若夜间磨牙,可佩戴医生提供的咬牙垫,减少外力对矫正器的冲击。
| 常见原因 | 应对方法 | 预防要点 |
|---|---|---|
| 托槽松动或脱落 | 复诊重新粘贴固定 | 避免外力撞击,纠正咬硬物习惯 |
| 不良口腔习惯 | 调整用牙方式,戒除咬硬物 | 戒掉用牙开瓶盖、咬笔等习惯 |
| 食物嵌塞挤压 | 及时用牙缝刷、冲牙器清洁 | 餐后漱口,加强矫正器周围清洁 |
| 矫正中弓丝调整 | 按时复诊让医生固定调整 | 严格遵循复诊计划,不拖延 |
相关问答FAQs
Q:钢丝脱落导致口腔溃疡怎么办?
A:先用正畸蜡覆盖钢丝末端,减少对溃疡的刺激;可涂抹口腔溃疡散、西瓜霜喷剂或重组人表皮生长因子凝胶促进愈合;饮食以温凉、软食为主,避免辛辣、酸性食物;若溃疡疼痛严重或长时间不愈合,复诊时请医生修剪或调整钢丝,从根本上解决问题。

Q:矫正期间钢丝频繁脱落正常吗?需要调整方案吗?
A:偶尔脱落可能因偶然外力或个体适应差异,但若每月脱落2次以上,需警惕,可能原因包括咬合习惯未纠正(如持续咬硬物)、托槽粘贴不牢固(需更换粘接剂)、弓丝型号不合适(医生会调整弓丝尺寸或材质),建议及时与医生沟通,通过口腔检查排查原因,必要时调整矫正方案(如更换更稳定的托槽或调整弓丝力度),避免影响牙齿移动进度和最终效果。

