上海作为国际化大都市,家长对孩子的口腔健康日益重视,小儿牙齿矫正已成为许多家庭关注的焦点,儿童牙齿矫正不仅是“排齐牙齿”,更关乎颌骨发育、咀嚼功能及心理自信,科学干预能让孩子拥有健康的口腔状态和整齐的牙齿,为未来成长奠定基础。
小儿牙齿矫正的核心在于“时机把握”,儿童牙齿发育分为乳牙期(3-6岁)、替牙期(6-12岁)和恒牙早期(12岁以后),不同阶段的矫正目标和重点差异显著,乳牙期若出现“地包天”(反颌)、下颌前突、龅牙等问题,需及时干预,避免影响颌骨发育;替牙期是“黄金干预期”,常见问题如牙齿拥挤、个别牙反颌、功能性错颌(如口呼吸、咬唇习惯),此时可通过功能性矫正装置引导颌骨生长,降低后期矫正难度;恒牙早期(12岁后)恒牙基本萌出,可进行全面矫正,解决牙齿排列和咬合问题,上海儿童口腔专家建议,家长应在孩子3岁起定期进行口腔检查,6岁后每半年拍摄一次全景片,由专业医生评估矫正时机。

常见的儿童牙齿问题包括:龅牙(上颌前突),可能导致嘴唇无法自然闭合,影响面部美观和发音;地包天(反颌),下牙包住上牙,易导致咀嚼功能异常、面部凹陷;牙齿拥挤,牙弓空间不足导致牙齿错位,清洁困难易引发龋齿;开颌(上下牙无法咬合),可能由不良习惯(如吐舌、咬笔)引起,影响发音和咀嚼效率,这些问题若不及时干预,可能进一步引发颞下颌关节紊乱、消化系统疾病等。
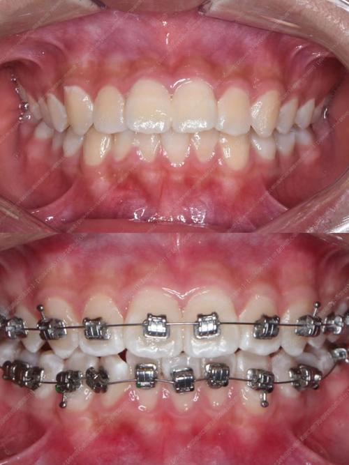
上海地区小儿牙齿矫正方法多样,家长可根据孩子年龄、牙齿问题及经济情况选择:传统金属托槽矫正,性价比高,适用范围广,尤其适合替牙期和恒牙期复杂错颌;陶瓷托槽矫正,托槽颜色接近牙齿,美观度优于金属,但强度稍低,适合对美观有需求的大龄儿童;隐形矫正(如时代天使儿童版),可摘戴、舒适度高,能精准控制牙齿移动,适合恒牙早期且配合度高的孩子;功能性矫正(如MRC、罗慕),针对替牙期骨性问题,通过训练口腔肌肉、引导颌骨正常发育,为后续矫正创造条件,不同矫正方式的对比如下:
| 矫正方式 | 适用年龄 | 优点 | 缺点 | 价格区间(元) |
|---|---|---|---|---|
| 传统金属托槽 | 6岁及以上 | 性价比高,适用范围广 | 美观性差,口腔异物感强 | 8000-15000 |
| 陶瓷托槽 | 10岁及以上 | 美观度高,强度适中 | 价格较高,托槽易染色 | 12000-20000 |
| 隐形矫正 | 12岁及以上 | 隐形舒适,可摘戴,清洁方便 | 价格高,需孩子高度配合 | 25000-45000 |
| 功能性矫正 | 6-12岁(替牙期) | 引导颌骨发育,降低后期难度 | 适用范围有限,需长期佩戴 | 15000-30000 |
选择矫正机构和医生是矫正成功的关键,上海拥有众多口腔医院和诊所,家长需关注资质认证:优先选择具备儿童口腔专科资质的机构,医生应拥有正畸专业背景和5年以上儿童矫正经验;了解设备是否先进,如数字化口扫(替代传统取模,提升孩子舒适度)、3D打印技术(精准制作矫正器)、全景片和头颅侧位片(全面评估牙齿和颌骨情况);案例经验同样重要,可要求查看医生过往儿童矫正案例,特别是与孩子情况相似的复杂病例;服务细节也不容忽视,如是否提供个性化方案、复诊提醒、紧急情况处理等。
矫正期间,孩子的日常护理直接影响效果,口腔卫生方面,需使用正畸专用牙刷(如V形刷)、牙线、冲牙器,每次进食后及时清洁,避免食物残留导致托槽脱落和龋齿;饮食管理上,避免过硬(坚果、骨头)、过黏(奶糖、年糕)食物,少喝碳酸饮料(腐蚀托槽和牙齿);复诊需遵医嘱,一般4-6周一次,医生会调整矫正力度,检查牙齿移动情况;心理疏导同样重要,初期孩子可能因口腔异物感产生抵触,家长可通过讲解矫正案例、奖励机制等方式鼓励配合,帮助孩子建立信心。

相关问答FAQs
Q1:孩子牙齿不齐,是等换完牙再矫正,还是现在就要干预?
A:需根据牙齿问题类型判断,若存在地包天、龅牙、严重下颌后缩、个别牙反颌等骨性或功能性错颌,建议在替牙期(6-12岁)早期干预,利用生长发育潜力引导颌骨正常发育,降低后期矫正难度;若仅为轻度牙齿拥挤,可待恒牙基本萌出(12岁后)全面矫正,家长应定期带孩子做口腔检查,由专业医生评估时机。
Q2:小儿矫正会很疼吗?会影响孩子正常吃饭和上学吗?
A:初期1-3天牙齿可能有轻微酸胀感,属于正常现象,一般可耐受;传统托槽矫正初期需避免过硬食物,但软食(粥、面条、蒸蛋)不影响进食,隐形矫正可摘戴,饮食更自由,矫正后孩子可正常上学,仅复诊需请假(一般1-2小时),不会影响日常学习,随着时间推移,口腔会逐渐适应,不适感会消失。

