牙齿双线矫正是一种针对上下颌牙齿及咬合关系的综合性矫正技术,通过上下颌牙齿同步施加矫治力,解决单颌矫正难以处理的复杂错颌问题,如骨性畸形、严重咬合紊乱等,其核心在于通过“双线协同”实现牙齿排列、咬合功能与面部轮廓的三重改善,而矫正过程中的图片记录则成为医生方案设计、进度跟踪及医患沟通的重要工具。
牙齿双线矫正的原理与技术特点
牙齿双线矫正并非特指某一种矫正器类型,而是强调上下颌牙齿在矫正过程中的协同作用,无论是传统金属托槽、陶瓷托槽,还是自锁托槽、隐形矫正,只要涉及上下颌牙齿同步调整,均可纳入双线矫正范畴,其原理基于牙齿移动的生物力学:通过施加持续、轻柔的力,引导牙槽骨改建,使牙齿在三维空间(唇舌向、近远中向、垂直向)移动,最终达到理想位置。

与传统单颌矫正相比,双线矫正的优势在于:
- 咬合功能优化更全面:上下颌牙齿同步调整,可更精准地建立稳定的咬合关系,避免因单颌移动导致的咬合干扰;
- 复杂病例解决效率高:对于骨性反颌、开颌等需要调整颌骨位置的病例,双线矫正可通过交互牵引(如上颌前牙牵引、下颌后牙压低)实现颌骨与牙齿的协同改建;
- 面部美学改善更自然:通过上下颌牙齿位置的协调,可优化微笑曲线、唇部支撑度,避免“矫正后牙齿整齐但咬合不协调”的问题。
牙齿双线矫正图片的临床意义与分类
矫正图片是双线矫正全周期中不可或缺的“可视化档案”,不同阶段的图片记录各有侧重,贯穿矫正始终。
术前诊断图片:方案设计的“蓝图”
术前图片是医生制定矫正方案的基础,需包含全面的面部与口腔影像:
- 面部照片:正面、侧面、45°侧面照,记录患者面部对称性、唇部突度、微笑线等基础数据,用于评估矫正对面部轮廓的潜在影响;
- 口内照片:包括正面、左右侧、上下颌咬合面照,清晰展示牙齿排列、龋坏、牙周状况及咬合关系(如深覆合、反颌的覆盖情况);
- X光片:全景片(观察牙根形态、牙槽骨高度)、头颅侧位片(测量颌骨关系、ANB角、SN-Mg角等骨骼指标),为骨性畸形诊断提供依据;
- 模型分析:通过石膏模型测量牙弓长度、宽度、 Bolton指数等数据,判断牙齿量与骨量的匹配度。
示例:对于骨性反颌患者,术前头颅侧位片可能显示上颌发育不足、下颌前突,口内照片可见“地包天”现象,此时双线矫正需结合上颌前方牵引与下颌后牙压低,而图片数据是确定牵引力度、方向的核心依据。

术中监控图片:进度调整的“导航”
矫正过程中(通常每4-6周复诊一次),医生会拍摄阶段性口内照片,监控牙齿移动情况:
- 牙齿排列变化:对比初诊照片,观察牙齿是否按预期移动(如拥挤牙齿是否排齐、扭转牙是否旋转到位);
- 咬合关系调整:通过咬合面照检查尖窝锁结关系是否建立,避免早接触;
- 软组织反应:观察牙龈是否红肿、有无溃疡(托槽摩擦导致),评估口腔卫生状况。
示例:深覆合患者在矫正中期,口内照片若显示下颌前牙已与上颌前牙建立正常覆合关系,说明下颌牙弓已适当打开,可维持当前矫治力;若仍存在深覆合,则需调整弓丝或添加颌间牵引。
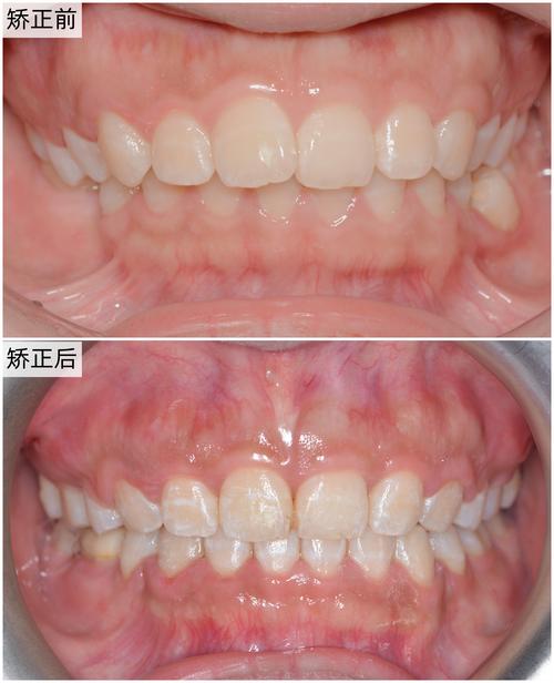
术后效果图片:矫正成果的“答卷”
矫正结束后,需拍摄与术前同角度的照片,对比改善效果:
- 面部照片:观察微笑时露齿量、唇部丰满度是否协调,面部中线是否对齐;
- 口内照片:展示牙齿排列整齐度、邻接关系、咬合接触点;
- X光片:确认牙根平行度、牙槽骨无吸收,保持器佩戴后牙齿无复发倾向。
示例:一名成人深覆盖患者,术后正面照片可见上颌前牙内收后唇部突度改善,侧面轮廓更柔和;咬合面照显示上下颌牙齿尖窝相对,咀嚼功能恢复正常。

不同阶段矫正图片的拍摄要点与临床意义
| 矫正阶段 | 图片类型 | 拍摄目的 | 临床意义 |
|---|---|---|---|
| 术前诊断 | 面部+口内+X光片 | 全面评估牙齿、颌骨、软组织状况,制定个性化方案 | 确认矫正可行性,预测矫正效果,规避风险(如牙周炎患者需先治疗再矫正) |
| 术中监控 | 口内咬合面+侧面照 | 监控牙齿移动速度、方向,检查有无并发症(如牙根吸收、黏膜溃疡) | 及时调整矫治力,确保矫正按计划进行,避免因移动偏差导致延长疗程 |
| 术后复查 | 全套对比照片 | 确认矫正目标达成,评估咬合稳定性,指导保持器佩戴 | 作为矫正效果终审依据,为患者提供直观的改善证明,降低复发风险 |
牙齿双线矫正的注意事项
- 口腔卫生维护:双线矫正装置(尤其是托槽和弓丝)易堆积食物残渣,需使用正畸牙刷、牙线、冲牙器每日清洁,避免牙龈炎、龋坏;
- 饮食禁忌:避免过硬(如坚果、骨头)、黏性(如口香糖、年糕)食物,防止托槽脱落或弓丝变形;
- 复诊依从性:定期复诊可确保矫治力持续有效,若托槽脱落需及时处理,避免牙齿移位;
- 疼痛管理:初戴矫正器及每次调整后3-5天,可能出现牙齿酸痛,可遵医嘱服用止痛药或使用冷敷缓解。
相关问答FAQs
Q1:牙齿双线矫正会比单颌矫正更疼吗?
A1:疼痛程度因人而异,与牙齿移动量而非矫正方式直接相关,双线矫正可能涉及上下颌牙齿同步调整,初期(尤其是前1周)的酸胀感可能略明显,但属于正常生理反应(牙槽骨改建过程中的压力反应),随着时间推移(约1-2周),身体会逐渐适应,疼痛感会明显减轻,单颌矫正若涉及复杂牙齿移动(如拔牙后内收),疼痛感也可能与双线矫正相当。
Q2:双线矫正后牙齿会复发吗?如何预防?
A2:任何矫正都存在复发风险,尤其是未经保持器巩固的情况下,双线矫正的复发主要与以下因素相关:① 矫治后牙齿周围牙龈、牙槽骨尚未完全稳定(通常需1-2年);② 患者不良口腔习惯(如吐舌、咬唇)未纠正;③ 第三磨牙(智齿)萌出导致牙齿移位,预防措施包括:① 严格佩戴保持器(夜间至少佩戴1年,之后可逐渐减少频率);② 定期复查(每3-6个月检查一次);③ 及时拔除阻生智齿,避免其对已排列整齐的牙齿产生推挤力。
