错位牙齿是指牙齿在牙弓上的位置、排列或咬合关系出现异常,包括拥挤、稀疏、龅牙、地包天、开颌等多种情况,这类问题不仅影响面部美观,还可能导致咀嚼效率下降、清洁困难、龋齿、牙周病等口腔健康问题,甚至因咬合异常引发颞下颌关节紊乱,对心理健康也造成一定困扰,随着正畸技术的发展,错位牙齿的矫正方法已多样化,可根据个人牙齿情况、年龄、美观需求及经济预算选择合适方案。
错位牙齿的常见类型及表现
错位牙齿的类型多样,不同类型的错位对功能和美观的影响也不同,具体可分为以下几类:
| 类型 | 表现特点 | 主要影响 |
|---|---|---|
| 牙齿拥挤 | 牙齿排列不齐,互相重叠、扭转,导致牙弓长度不足 | 清洁困难,食物嵌塞易引发龋齿和牙周炎;面部饱满度增加,可能影响微笑曲线 |
| 牙齿稀疏 | 牙齿间存在明显缝隙,多因牙弓过大、牙齿过小或先天缺失所致 | 咀嚼时食物易嵌塞;发音可能受影响;面部轮廓可能显得松散 |
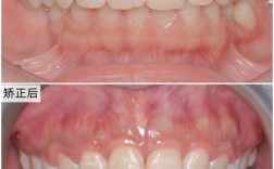
| 龅牙(上颌前突) | 上门牙过度向前突出,嘴唇无法自然闭合,侧面观“凸面型” | 易咬伤上牙龈;笑容不自然;可能伴随鼻唇沟变浅,影响面部立体感 |
| 地包天(反颌) | 下前牙覆盖上前牙,下巴明显前突,侧面观“月牙型” | 咀嚼时牙齿切割功能异常;长期可能导致下颌关节疼痛;面部比例失调 |
| 开颌 | 上下牙齿在正中咬合时无法接触,前牙或后牙存在垂直向间隙 | 咀嚼效率极低;发音不清(如“s”“z”音);可能因肌肉代偿导致面部肌肉疲劳 |
错位牙齿的矫正方法
目前矫正错位牙齿的方法主要分为传统托槽矫正、隐形矫正及舌侧矫正三大类,各类方法原理、优缺点及适用人群有所不同:
传统托槽矫正
通过金属、陶瓷等材质的托槽粘贴于牙齿表面,利用弓丝与托槽的连接施加力量,引导牙齿移动至理想位置。
- 传统金属托槽:最经典的矫正方式,托槽为金属材质,价格亲民,矫正力度强,适用于各类复杂错位(如严重拥挤、骨性反颌需配合拔牙或正颌手术)。
- 陶瓷托槽:托槽材质为透明陶瓷,与牙齿颜色接近,美观性优于金属托槽,强度较高,适合对美观有一定要求且错位程度中等者。
- 自锁托槽:托槽自带闭锁结构,减少弓丝与托槽的摩擦力,可延长复诊间隔(6-8周一次),疼痛感较轻,矫正效率高,价格略高于传统托槽。
隐形矫正
采用透明高分子材料制作牙套,通过计算机模拟牙齿移动轨迹,分阶段更换牙套逐步矫正牙齿。
- 优点:完全隐形,美观度高;可自行摘戴,不影响进食和口腔清洁;复诊次数较少。
- 缺点:价格较高(约为传统矫正的2-3倍);依赖患者依从性,需每日佩戴20-22小时;对复杂错位(如严重骨性畸形、牙齿扭转过大)的矫正效果有限。
- 适用人群:轻中度错位(如拥挤、稀疏、轻微龅牙)、成年白领、对美观要求极高者。
舌侧矫正
将托槽粘贴于牙齿内侧(舌面),从外部完全看不到矫正装置,属于“隐形矫正”的极致形式。
- 优点:美观性最佳,完全隐形;矫正精度高,可精细调整牙齿位置。
- 缺点:价格昂贵(可达传统矫正的4-5倍);初期对发音、口腔舒适度影响较大;清洁难度高,需专用工具;对医生技术要求极高。
- 适用人群:经济条件允许、对美观要求极高且错位程度不复杂者。
矫正流程:从检查到保持的完整周期
错位牙齿矫正需经历专业评估、方案设计、主动矫正及保持四个阶段,通常周期为1.5-3年,具体时间取决于错位程度和矫正方法。
初诊检查(1-2周)
医生会进行全面口腔检查,包括:
- 口腔检查:评估牙齿排列、龋坏、牙周状况;
- 影像学检查:拍摄全景片(观察牙根、牙槽骨)、头颅侧位片(分析颌骨关系、面部软组织轮廓)、CBCT(复杂病例需明确骨性结构);
- 模型采集:制作牙齿石膏模型,用于方案设计和效果预测。
方案设计(1周)
结合检查数据与患者需求(如是否拔牙、矫正时间、美观要求),制定个性化方案,可能涉及:
- 拔牙设计:解决严重拥挤或前突问题(通常拔除前磨牙);
- 支抗设计:种植支抗、微种植钉等辅助牙齿精确移动;
- 矫治器选择:根据错位类型推荐传统托槽、隐形或舌侧矫正。
主动矫正(1.5-3年)
- 戴矫治器:传统/陶瓷托槽需分次粘接托槽和弓丝;隐形矫正需取戴第一副牙套,之后每1-2周更换一副;
- 定期复诊:传统矫正每4-6周调整一次弓丝;隐形矫正每6-8周复诊检查;
- 中期调整:牙齿排齐后,进行精细咬合调整,确保功能与美观协调。
保持阶段(1-2年)
拆除矫治器后,需佩戴保持器防止复发:
- 透明保持器:覆盖整个牙列,美观舒适,适用多数情况;
- Hawley保持器:由基托和钢丝组成,可调整牙齿微小移位,耐用性高。
矫正期间的注意事项
- 口腔卫生维护:矫正期间食物易嵌塞,需使用正畸专用牙刷(小头软毛)、牙缝刷、冲牙器,每天至少刷牙3次,每次3分钟,避免托槽周围龋齿;
- 饮食调整:避免过硬(坚果、骨头)、过黏(口香糖、年糕)、带壳(虾蟹)食物,防止托槽脱落;隐形矫正者需摘下牙套进食,避免饮用染色饮料(咖啡、红酒);
- 不良习惯纠正:如有咬唇、吐舌、咬笔等习惯,需在矫正中同步纠正,否则会影响牙齿稳定性和矫正效果;
- 复诊依从性:按时复诊,避免加力间隔过长导致牙齿移动异常,延长矫正时间。
相关问答FAQs
问题1:矫正牙齿过程中会疼吗?如何缓解?
答:矫正初期(戴牙套后1-3天)及每次复诊加力后,牙齿可能出现轻微酸胀、咬合无力感,属于正常生理反应,通常3-5天可自行缓解,可通过以下方式缓解:①温盐水漱口,促进血液循环;②进食温凉、软质食物(粥、面条、酸奶),避免咬硬物;③若疼痛持续加重或出现肿胀,需及时复诊检查,排除托槽脱落或加力过度等问题。
问题2:成年后矫正牙齿会不会比青少年效果差?年龄有限制吗?
答:成年后矫正效果与青少年无本质差异,但矫正难度可能略高:①青少年处于生长发育期,颌骨改建能力强,部分骨性错位可通过正畸引导改善;而成年人生长停止,严重骨性畸形需结合正颌手术。②成年人口腔问题更复杂(如牙周炎、牙齿磨耗、修复体),需先治疗口腔疾病再矫正。③矫正周期可能略长(青少年平均1.5-2年,成人可能2-3年),目前正畸技术无绝对年龄上限,只要牙周健康,60-70岁人群也可进行矫正,但需更注重牙周维护和保持阶段,防止复发。
