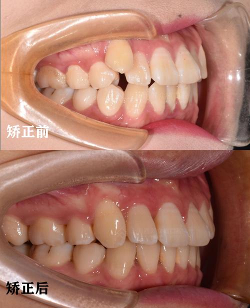
牙齿矫正技术的发展让更多人有机会拥有整齐的牙齿,但面对传统金属托槽、陶瓷托槽、自锁托槽、隐形矫正、舌侧矫正等多种技术,很多人在选择时感到困惑,不同技术在原理、美观度、舒适度、价格及适用人群上差异显著,了解这些差异有助于结合自身需求做出更合适的选择。
传统金属托槽矫正是应用最广泛的技术,通过将金属托槽用粘合剂固定在牙齿表面,再利用弓丝与托槽的连接施加力量,移动牙齿至理想位置,其优点在于技术成熟、性价比高(价格通常在1万-2万元),且适用范围广,几乎涵盖所有错颌畸形类型;缺点是美观度较差,金属托槽颜色明显,容易刮伤口腔黏膜,且口腔清洁难度增加,易残留食物残渣引发龋齿或牙周问题,复诊频率为4-6周一次,治疗时间约1-3年,适合对价格敏感、不介意美观度且口腔状况复杂的青少年或成人。

陶瓷托槽矫正可视为传统金属托槽的“升级版”,托槽材质为透明或牙色陶瓷,与牙齿颜色接近,美观度显著提升,原理与金属托槽相同,但陶瓷的脆性较大,若咬硬物可能导致托槽崩瓷,需避免咀嚼过硬食物,价格略高于金属托槽(2万-3万元),舒适度与金属托槽接近,因托槽边缘可能更光滑,对黏膜的刺激较小,复诊频率与治疗时间与传统金属矫正一致,适合对美观有一定要求、预算中等且口腔状况简单的患者,尤其是成年女性。
自锁托槽矫正在传统托槽基础上增加了“闭锁装置”,无需结扎丝或橡皮圈固定弓丝,减少了弓丝与托槽的摩擦力,这一设计使得牙齿移动更高效,治疗时间可能缩短6个月-1年,复诊间隔延长至6-8周一次,且复诊操作时间更短,舒适度较高,因摩擦力小,牙齿移动过程中的酸痛感减轻,价格高于传统托槽(3万-4万元),分为金属自锁和陶瓷自锁两种,兼顾效率与美观(陶瓷自锁美观度更好),适合希望缩短治疗时间、怕疼或因工作繁忙不便频繁复诊的患者,但对医生技术要求较高。
隐形矫正采用透明高分子材料制作的牙套,通过计算机辅助设计,将矫正过程分为多个阶段,每阶段佩戴不同牙套,逐步移动牙齿,其最大优势是美观度高,牙套透明且可自行摘戴,不影响社交;舒适度好,无托槽刺激,且口腔清洁方便,可正常刷牙和使用牙线,价格较高(3万-5万元),依赖患者配合,需每天佩戴20-22小时,若佩戴时间不足可能影响效果,适用于轻度至中度错颌畸形(如牙列轻度拥挤、龅牙、牙齿稀疏等),且患者自律性较高,常见品牌有隐适美、时代天使等,治疗时间约1.5-3年,复诊频率为8-12周一次。
舌侧矫正将托槽粘接在牙齿内侧(舌侧面),从外部完全看不到托槽,是目前美观度最高的矫正技术,原理与传统托槽相似,但托槽及弓丝需个性化定制,技术难度极大,对医生经验要求高,价格昂贵(5万-10万元),舒适度较差,因托槽位于舌侧,初期可能影响发音、舌头摩擦感明显,且口腔清洁极为困难,易引发牙龈炎,治疗时间与金属矫正接近(2-3年),复诊频率为4-6周一次,适合对美观要求极致、预算充足且能忍受初期不适的患者,如公众人物或对形象有高要求的群体。

为更直观对比各项技术,以下表格汇总核心指标:
| 技术类型 | 美观度 | 舒适度 | 价格区间(万元) | 复诊频率 | 治疗时间 | 适用人群 |
|---|---|---|---|---|---|---|
| 传统金属托槽 | 低 | 一般 | 1-2 | 4-6周 | 1-3年 | 预算有限、复杂错颌畸形 |
| 陶瓷托槽 | 中 | 一般 | 2-3 | 4-6周 | 1-3年 | 对美观有要求、预算中等 |
| 自锁托槽 | 中-高 | 高 | 3-4 | 6-8周 | 1-2.5年 | 希望缩短治疗时间、怕疼 |
| 隐形矫正 | 高 | 高 | 3-5 | 8-12周 | 5-3年 | 轻中度错颌、自律性高 |
| 舌侧矫正 | 极高 | 低 | 5-10 | 4-6周 | 2-3年 | 美观要求极致、预算充足 |
选择矫正技术时,需综合考虑自身美观需求、预算、口腔状况及生活习惯,青少年若预算有限且不介意美观度,可选择传统金属托槽;成人上班族更推荐隐形矫正或自锁托槽,兼顾美观与效率;而对形象要求极高的患者,可考虑舌侧矫正,但需做好心理准备应对较高的价格和初期不适,最终建议在专业医生评估后,结合个人需求制定个性化方案。
相关问答FAQs
Q:牙齿矫正一定会拔牙吗?
A:不一定,是否拔牙需根据牙齿拥挤程度、咬合关系、面部突度等因素综合判断,若牙齿轻度拥挤或骨性畸形不严重,可通过扩弓、邻面去釉等非拔牙方式解决;若中度以上拥挤或存在严重骨性问题,拔牙可为牙齿移动提供空间,保证矫正效果及稳定性,医生会通过X光片、模型分析等制定方案,患者无需过度担忧。
Q:成年人矫正和青少年矫正有什么区别?
A:成年人矫正与青少年矫正的主要区别在于:①骨骼条件:青少年处于生长发育期,骨骼可塑性强,部分骨性畸形可通过生长改良治疗;成年人骨骼已定型,矫正主要针对牙齿移动,严重骨性问题需结合正颌手术。②治疗时间:成年人新陈代谢较慢,牙齿移动速度稍慢,治疗时间可能比青少年长6个月-1年。③配合度:成年人自律性高,能严格遵医嘱佩戴矫治器(如隐形牙套),但需关注牙周健康状况,若有牙周炎需先治疗再矫正。
