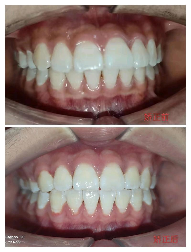
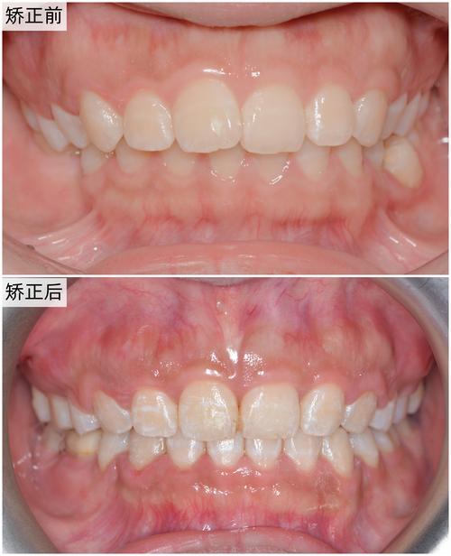
矫正牙齿后牙外张是指在正畸治疗结束后,原本排列整齐的牙齿逐渐出现向外扩张、移位的情况,属于牙齿复发的常见类型之一,虽然正畸治疗通过外力将牙齿移动到理想位置,但牙齿周围的牙槽骨、牙周组织需要时间重建稳定,若治疗中或治疗后存在疏忽,牙外张问题便可能悄然出现,影响矫正效果和口腔健康。
牙齿外张的发生并非单一因素导致,其背后涉及多方面原因,从治疗阶段来看,矫正方案设计是否合理是关键前提,部分患者存在牙量大于骨量的问题,若正畸医生未通过拔牙、邻面去釉等方式为牙齿排齐创造足够空间,治疗后牙齿可能因拥挤压力而向外反弹;矫正过程中若对牙齿转矩控制不当(如前牙唇倾角度未调整到位),也会导致牙齿在拆除牙套后向唇侧移动,从患者自身因素看,不良口腔习惯是牙外张的重要诱因,如吐舌习惯会使舌体持续推压前牙,咬唇、吮指等动作则会改变牙齿受力平衡,长期以往易引发牙齿移位,治疗后期的保持器使用不当更是直接原因,许多患者认为矫正结束后“一劳永逸”,未严格按医嘱佩戴保持器(如夜间不戴、过早减少佩戴时间),或未及时更换损坏、变形的保持器,导致牙齿失去稳定支撑而重新移位,牙周健康状况也不容忽视,若患者存在牙周炎、牙槽骨吸收等问题,牙齿会因支持组织薄弱而更容易发生位置改变。

牙外张带来的影响远不止“不美观”这么简单,从功能角度看,牙齿外张会导致咬合关系紊乱,咀嚼效率下降,长期可能引发颞下颌关节紊乱症,出现关节弹响、疼痛等症状;从健康角度看,外凸的牙齿更容易形成清洁死角,食物嵌塞和牙菌斑堆积增加龋齿、牙龈炎、牙周炎的发病风险;从心理层面看,牙齿再次不齐可能让患者对矫正效果产生质疑,影响社交自信。
针对矫正后牙外张,需根据严重程度采取不同处理措施,轻度牙外张(牙齿移位幅度小,无明显咬合异常)可通过调整保持器解决,例如更换为更贴合的隐形保持器,或由医生在原保持器上添加 minor 加力装置,通过持续轻力引导牙齿回位;若伴有不良习惯,需同时配合行为矫正,如使用舌挡纠正吐舌,或通过肌功能训练改善口腔肌肉平衡,中重度牙外张(牙齿明显外扩、咬合紊乱)则可能需要二次矫正,通常选择隐形牙套或传统托槽牙套,治疗周期一般为3-6个月,具体视移位程度而定;对于存在牙周问题的患者,需先进行牙周治疗,待牙周健康状况稳定后再启动矫正,避免加重牙槽骨吸收,部分患者可通过修复治疗(如瓷贴面、牙冠)改善牙齿外观,但需在牙齿位置稳定后进行,且无法解决功能性问题。
预防矫正后牙外张,关键在于“全程管理”,治疗阶段,患者需与医生充分沟通,确保矫正方案兼顾功能与稳定,例如拔牙病例需严格遵医嘱进行邻面去釉,非拔牙病例需定期拍摄X光片监测牙根位置;治疗后阶段,保持器是“牙齿的保险锁”,拆除牙套后前6个月需全天佩戴(进食除外),之后改为夜间佩戴,至少持续1-2年,甚至建议终身夜间佩戴;需每3-6个月复查一次,及时发现保持器变形或牙齿移位迹象,日常生活中,需彻底纠正吐舌、咬唇等不良习惯,学习正确的巴氏刷牙法,配合牙线、冲牙器清洁牙缝,定期进行牙周检查和维护(每年1-2次洗牙),为牙齿提供健康的生长环境。
相关问答FAQs
Q1:矫正后牙外张一定是医生没做好吗?
A:不一定,牙外张的发生是多因素综合作用的结果,虽然医生在方案设计、治疗操作中的确起关键作用(如是否正确控制牙齿转矩、是否预留足够稳定空间),但患者自身的口腔习惯(吐舌、咬唇)、保持器佩戴依从性、牙周健康状况等同样重要,部分患者即使在矫正期间严格遵医嘱,但若治疗后频繁吐舌且不佩戴保持器,仍可能出现牙外张,出现复发后需综合分析原因,而非单纯归咎于医生。

Q2:成年后矫正牙外张复发风险比青少年更高吗?
A:并非绝对,青少年处于生长发育期,颌骨和牙齿仍具有较强改建能力,若存在不良习惯或生长异常,复发风险可能更高;而成年人生长发育停止,骨改建速度慢,牙齿位置相对稳定,理论上复发风险更低,但成年后若存在牙周炎、牙槽骨吸收等问题,或治疗后未规范佩戴保持器,同样容易发生牙外张,无论年龄大小,保持良好的口腔习惯和坚持佩戴保持器是预防复发的关键。
