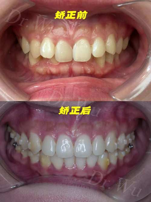
成年后还能矫正牙齿吗?答案是肯定的,很多人误以为牙齿矫正只是青少年的“专利”,认为成年后骨骼停止发育、牙齿移动困难,其实这是一种常见的误区,随着正畸技术的进步和材料科学的成熟,成年人完全可以通过合适的矫正方式改善牙齿排列、咬合关系,甚至提升面部美观和口腔健康功能,成年矫正与青少年矫正存在一些差异,了解这些特点能帮助更科学地规划矫正方案。
成年矫正的原理:牙齿移动不受年龄限制
牙齿移动的核心原理是“牙槽骨改建”——通过施加持续、温和的力量,使牙齿根部的牙槽骨一侧吸收、另一侧增生,从而实现牙齿位置的移动,这一过程主要依赖牙齿和牙槽骨的生理反应,与骨骼的发育状态无关,青少年时期颌骨仍在生长,矫正可能伴随颌骨形态的调整(如扩弓、推磨牙向后),而成年后颌骨停止发育,矫正主要针对牙齿本身的移动,因此对医生的技术要求更高,需要更精准地控制牙齿移动方向和力度,避免对颌骨产生不良影响。

成年人口腔状况通常比青少年复杂,可能存在牙周炎、牙齿缺失、牙体缺损(如蛀牙、烤瓷冠)、种植牙等问题,这些都需要在矫正前进行综合评估和处理,确保矫正过程安全有效。
成年矫正的常见方式:选择适合自己的“变美路径”
成年矫正的方式多样,每种技术都有其特点和适用场景,医生会根据牙齿畸形类型、口腔状况、美观需求和经济预算等因素综合推荐,以下是几种主流矫正方式的对比:
| 矫正方式 | 特点 | 优点 | 缺点 | 适合人群 |
|---|---|---|---|---|
| 传统金属托槽 | 使用金属托槽和弓丝,通过结扎丝固定 | 矫正力度强,适用范围广(复杂错颌畸形如严重拥挤、深覆合等),性价比高 | 美观性差,易刮嘴,口腔清洁难度较大 | 牙齿畸形复杂、预算有限、对美观要求不高的成年人 |
| 陶瓷托槽 | 托槽为透明陶瓷材质,接近牙齿颜色 | 美观性优于金属托槽,强度高,与牙齿粘结稳固 | 价格较高,部分材质脆性大,受力过大可能断裂 | 对美观有要求、畸形程度中等、预算适中的成年人 |
| 隐形矫正 | 使用透明高分子材料制成的一系列牙套,可自行摘戴 | 美观性极佳(几乎隐形),舒适度高(无托槽刮嘴),方便清洁(可摘戴刷牙) | 适应症相对有限(简单到中度畸形),价格较高,需严格佩戴(每天20小时以上) | 对美观要求高、工作社交频繁、畸形程度简单到中等的成年人(如牙缝、轻度拥挤) |
| 舌侧矫正 | 托槽粘接在牙齿舌侧面(内侧),完全隐藏于口腔内 | 美观性“隐形”效果最好,不影响社交 | 技术难度极高(需个性化定制),价格昂贵(约为传统矫正的3-5倍),初期发音影响大 | 对美观要求极致、预算充足、能适应初期发音不适的成年人 |
成年矫正的优势与挑战:理性看待“变美”与“妥协”
成年矫正的优势在于“自主性强”——成年人能主动配合治疗,严格遵医嘱佩戴矫治器、保持口腔卫生,且矫正目标明确(如改善“龅牙”提升自信、解决咬合疼痛问题等),成年人的经济能力和时间安排更自主,能更好地应对矫正周期(通常1.5-3年)中的复诊、调整等需求。
但挑战也不容忽视:

- 口腔状况复杂:成年人口腔可能存在牙周炎、牙槽骨吸收等问题,若牙周健康不佳,需先进行牙周治疗(如洗牙、刮治),待炎症控制后再启动矫正,否则可能加重牙周损伤。
- 牙齿移动速度较慢:成年人的牙槽骨密度高于青少年,牙齿移动速度可能稍慢,矫正周期相对延长。
- 骨性畸形需联合治疗:若存在严重的骨性错颌(如上颌前突、下颌后缩),单纯牙齿矫正难以达到理想效果,可能需要联合正颌手术(通过手术调整颌骨位置,再配合正畸精细调整牙齿)。
- 保持要求更高:成年后口腔环境稳定性相对较低(如牙齿可能发生生理性移位),矫正结束后需终身佩戴保持器(初期每天24小时,后期夜间佩戴),避免复发。
成年矫正前的准备:从“评估”到“方案”的每一步都关键
决定矫正后,需经历系统的准备流程:
- 全面口腔检查:包括牙周检查(探诊、牙周X光片)、牙体检查(排查蛀牙、牙隐裂)、颞下颌关节检查(有无弹响、疼痛)等,排除矫正禁忌证。
- 影像学评估:拍摄全景片(观察全口牙齿、牙槽骨、颌骨情况)、头颅侧位片(分析颌骨与牙齿的协调性)、CBCT(三维评估复杂病例,如骨量不足、埋伏牙位置)。
- 方案设计:医生结合检查结果和患者需求(美观、功能、预算),制定个性化方案,可能涉及拔牙(解决拥挤)、骨钉植入(辅助牙齿移动)、修复治疗(如补牙、修复缺失牙)等。
- 心理准备:明确矫正周期内的生活变化(如初期饮食受限、口腔不适),保持耐心,避免因短期内效果不明显而中途放弃。
成年矫正,为健康和美丽“投资”永远不晚
成年矫正不仅是“变美”的需求,更是口腔健康的“必要投资”,牙齿排列不齐易导致食物嵌塞、龋病、牙周病,咬合异常可能引发颞下颌关节紊乱、消化不良等问题,通过矫正改善这些问题,能提升生活质量,增强自信,虽然成年矫正比青少年更复杂,但只要选择正规医疗机构和经验丰富的正畸医生,严格遵循治疗流程,就能收获整齐的牙齿和健康的口腔。
相关问答FAQs
Q1:成年矫正会不会很疼?矫正期间影响正常生活吗?
A:矫正初期(戴牙套后1-3天)牙齿会有轻微酸胀感,类似“牙被打了一拳”,通常3-5天逐渐缓解,属于正常生理反应,不影响进食和工作,传统托槽可能初期刮嘴,可使用正畸蜡保护;隐形矫正因材质光滑,舒适度更高,矫正期间需避免过硬、黏性食物(如坚果、口香糖),防止托槽脱落,但正常社交、饮食不受影响,仅需注意口腔卫生(餐后刷牙、使用牙线)。
Q2:矫正后牙齿会反弹吗?如何避免?
A:牙齿有回到原始位置的趋势,若矫正后不戴保持器,反弹风险较高,保持器是维持矫正效果的关键:拆除矫治器后需佩戴透明压膜保持器(初期每天24小时,6个月后改为夜间佩戴),或使用传统 Hawley 保持器(夜间终身佩戴),需避免用牙齿咬硬物(如开酒瓶、咬核桃)、保持口腔卫生,定期复查(每6个月1次),医生会根据牙齿稳定情况调整保持器佩戴方案。

