牙齿矫正不仅是改善口腔健康的必要手段,更是提升面部美观与自信的重要途径,通过矫正前后的图片对比,可以直观看到牙齿排列、咬合关系以及面部轮廓的显著变化,这种变化往往超出了牙齿本身的调整,甚至对咀嚼功能、发音清晰度乃至心理健康产生积极影响,本文将围绕矫正牙齿的前后变化展开,从常见问题、矫正过程、效果展示及注意事项等方面,结合具体案例描述,帮助读者全面了解牙齿矫正带来的改变。
矫正前的常见问题:为何需要“前后对比”?
牙齿矫正的核心目标是解决牙齿及颌骨的异常问题,这些问题不仅影响美观,还可能引发口腔疾病或功能障碍,常见的矫正前问题包括:

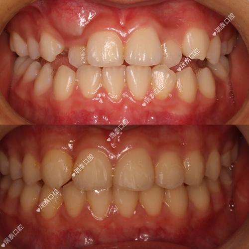
- 牙齿拥挤:牙弓空间不足导致牙齿排列不齐,重叠、扭转,难以清洁,易引发龋齿、牙周炎,矫正前图片中可见牙齿参差不齐,部分牙齿甚至“挤”在牙弓外,影响整体协调性。
- 龅牙(上颌前突):上颌牙齿过度前突,嘴唇无法自然闭合,笑时露牙龈过多,侧面观面部凸度明显,矫正前图片常表现为上唇前翘、下颌后缩,给人一种“凸嘴”的视觉感受。
- 地包天(反颌):下前牙咬在上前牙外侧,与正常咬合关系相反,可能导致咀嚼效率低、面部凹陷,甚至影响颞下颌关节健康,矫正前图片可见下颌前突、上颌发育不足,侧面呈“月牙脸”。
- 牙缝过大:因牙齿缺失、牙周问题或牙弓过宽导致牙齿间缝隙明显,不仅影响美观,还容易嵌塞食物,矫正前图片中牙齿间“黑洞”清晰可见,笑容显得松散。
- 深覆合/深覆盖:上前牙盖过下前牙过多(深覆合)或水平距离过大(深覆盖),可能咬伤上牙龈,造成牙齿磨损,甚至影响面部高度比例。
这些问题通过矫正前后的图片对比尤为突出:矫正前的牙齿杂乱无章、咬合错位,而矫正后则变得整齐有序、咬合稳定,面部线条也随之更柔和、协调。
矫正过程中的动态变化:从“乱”到“齐”的演变
牙齿矫正并非一蹴而就,而是通过持续的施力引导牙齿缓慢移动,这一过程在前后图片中呈现阶段性变化,以常见的金属托槽矫正为例:
- 初期(1-3个月):戴上牙套后,牙齿开始轻微移动,拥挤的牙齿逐渐“松动”,部分重叠的牙齿出现分离趋势,此时的图片对比可能变化不明显,但患者已能感受到牙齿咬合的细微调整。
- 中期(6-12个月):牙齿排列进入快速调整期,拥挤的牙齿基本排齐,牙弓形态逐渐形成,图片可见牙齿从“扭在一起”变为“列队整齐”,龅牙患者的上前牙前突程度明显减轻,地包天患者的下颌位置后移。
- 后期(12-24个月):进入精细调整阶段,医生通过更换弓丝、添加橡皮筋等优化咬合关系,确保上下牙齿尖窝相对,功能恢复正常,拆除牙套前的图片中,牙齿已达到理想位置,咬合紧密,面部轮廓也更自然。
隐形矫正的过程则更为“隐形”,通过每副牙套的微小调整,前后图片对比可见牙齿逐渐移动至目标位置,且过程中几乎不影响美观,适合对形象要求较高的患者。
矫正后效果展示:前后对比的直观体现
为更清晰展示不同问题的矫正效果,以下通过表格列举常见牙齿畸形矫正前后的变化特点(注:以下描述基于典型案例,具体效果因人而异):

| 问题类型 | 矫正前表现(图片特征) | 矫正后表现(图片特征) | 核心改善点 |
|---|---|---|---|
| 牙齿拥挤 | 牙齿重叠、扭转,牙弓形态不规则,部分牙齿外凸;笑容时牙齿“乱中有序”的杂乱感。 | 牙齿排列整齐,无重叠扭转;牙弓弧度自然,笑容整齐划一,牙齿暴露量适中。 | 提升美观度,便于清洁,降低龋齿风险。 |
| 龅牙(上颌前突) | 上唇前翘,自然状态下嘴唇无法闭合;笑时露牙龈过多,侧面观鼻唇沟浅,面部凸度明显。 | 上唇位置回缩,嘴唇自然闭合;笑时牙龈暴露减少,侧面观鼻唇沟加深,面部线条柔和。 | 改善侧颜面美观,缓解唇部肌肉紧张。 |
| 地包天(反颌) | 下颌前突,侧面观“月牙脸”;咬合时下前牙位于上前牙外侧,咀嚼效率低。 | 下颌位置后移,侧面观面部轮廓协调;上下牙咬合关系正常,咀嚼功能恢复。 | 恢复正常咬合,改善面部凹陷,保护颞下颌关节。 |
| 牙缝过大 | 牙齿间缝隙明显,笑容时“黑洞”清晰;食物易嵌塞,牙龈可能因外露而敏感。 | 牙齿间无缝隙,排列紧密;笑容饱满,牙龈健康,嵌塞问题消失。 | 提升笑容完整性,减少口腔清洁死角。 |
| 深覆合 | 上前牙完全覆盖下前牙,甚至咬到上牙龈;面部下1/3高度不足,笑容时“只露上牙”。 | 上下前牙覆盖关系正常,牙龈无咬伤;面部下1/3高度增加,笑容时上下牙均可见。 | 避免牙龈损伤,改善面部比例,提升咀嚼效率。 |
除了牙齿本身的排列,矫正后的图片还能体现面部软组织的变化:例如龅牙患者矫正后嘴唇不再前凸,侧脸线条更流畅;地包天患者矫正后面部凹陷得到改善,下巴形态更自然,这些变化往往让患者重拾自信,笑容也更加灿烂。
矫正方法选择:不同方案的前后效果差异
牙齿矫正的方法多样,不同方案的矫正过程、周期及前后效果特点也不同,需根据牙齿问题、个人需求及医生建议选择:
- 传统金属托槽矫正:性价比高,适用范围广,矫正力度强,适合复杂错颌畸形,前后对比可见牙齿移动速度快,但美观度较差,矫正期间需注意口腔卫生。
- 陶瓷托槽矫正:托槽颜色接近牙齿,美观度优于金属托槽,强度适中,适合对美观有一定要求的患者,前后效果与金属托槽相似,但更隐蔽。
- 隐形矫正:通过透明牙套逐步调整牙齿,可自行摘戴,美观度高,适合轻中度错颌畸形,前后对比可见牙齿移动过程更“隐形”,矫正周期相对灵活,但需严格佩戴(每天20小时以上)。
- 舌侧矫正:托槽粘贴在牙齿内侧,完全隐形,适合对美观要求极高的患者,前后效果显著,但矫正难度大、费用高,初期可能影响发音。
选择合适的矫正方法,能更好地实现预期效果,而前后图片对比也能帮助患者了解不同方案的矫正潜力。
矫正注意事项:确保效果稳定的“关键一步”
牙齿矫正的效果不仅取决于矫正过程,更与矫正后的维护密切相关,若不注意保持,可能导致牙齿复发,前后对比效果大打折扣:

- 保持器佩戴:拆除牙套后需佩戴保持器(通常建议全天佩戴3-6个月,之后夜间长期佩戴),防止牙齿回到原位,矫正后1年、2年的定期复查图片对比,可直观看到保持器的“锁住”效果。
- 口腔卫生:矫正期间食物易残留在托槽周围,需使用正畸牙刷、牙线、冲牙器等工具清洁,避免龋齿和牙周炎,影响矫正效果。
- 饮食调整:避免过硬、黏性食物(如坚果、口香糖),防止托槽脱落或损坏矫正器,延长矫正周期。
- 定期复诊:矫正期间需每4-6周复诊一次,医生根据牙齿移动情况调整方案,确保矫正方向正确。
相关问答FAQs
Q1:矫正牙齿前后图片真的能看出明显变化吗?会不会是“P图”的效果?
A:矫正前后的真实变化是客观存在的,并非“P图”效果,牙齿移动是生物力学作用的结果,通过X光片、模型及口内照片可记录牙齿位置的变化,拥挤的牙齿在矫正后排列整齐,牙弓宽度增加;龅牙患者上前牙内收后,嘴唇回缩,侧面轮廓更协调,这些变化可通过矫正前后的口内照、面部侧位照对比清晰呈现,且医生会通过专业检查(如咬合关系、牙周健康)验证效果的稳定性。
Q2:矫正过程中需要自己记录前后图片吗?有什么注意事项?
A:建议患者在矫正前、矫正中(每3-6个月)、矫正后定期拍摄照片记录,这有助于直观看到牙齿变化进度,增强矫正信心,拍摄时需注意:①光线一致(建议自然光或固定光源),避免因光线差异影响对比;②角度固定(正面、侧面、45度斜面),确保牙齿和面部轮廓的拍摄位置相同;③口内照需露出所有牙齿,避免嘴唇遮挡,若发现牙齿移动异常(如疼痛加剧、托槽脱落频繁),应及时复诊并调整记录方案。
