隐形矫正牙齿效果图是现代正畸治疗中不可或缺的沟通工具与方案预演载体,它通过数字化技术模拟牙齿在整个矫正过程中的移动轨迹与最终效果,让患者在治疗前就能直观看到“未来的自己”,既增强了治疗的可信度,也帮助医生与患者就矫正目标达成共识,从技术原理到临床应用,从核心要素到注意事项,隐形矫正效果图的多维度价值正重塑着正畸体验。
隐形矫正效果图的核心价值:从“抽象”到“具象”的跨越
传统正畸中,患者往往依赖医生的口头描述和静态模型想象矫正效果,这种“抽象预判”容易引发焦虑与误解,而隐形矫正效果图通过3D数字化技术,将复杂的牙齿移动过程拆解为可视化的步骤,实现“所见即所得”,其核心价值体现在三方面:
一是精准沟通:医生可通过效果图向患者展示牙齿排齐、内收、扭转等具体移动方案,避免信息传递偏差;二是方案优化:在虚拟环境中提前模拟牙齿移动路径,识别潜在风险(如牙根吸收、咬合干扰),调整方案后再进入实际治疗;三是心理建设:患者通过动态效果图看到矫正后的预期效果,提升配合度与治疗信心,尤其对成人患者而言,这种“可视化目标”能显著降低对治疗周期的不确定性焦虑。

隐形矫正效果图的制作流程:从数据到“未来影像”的蜕变
一张精准的隐形矫正效果图,背后是严谨的数字化流程,通常包含四个关键步骤:
数据采集:构建精准的“数字口腔档案”
效果图的准确性始于高质量的数据采集,目前主流方式有两种:
- 口内扫描:使用口内扫描仪(如iTero、3Shape)对牙齿、牙槽骨、咬合关系等进行三维扫描,5-10分钟即可获取数字化模型,精度达微米级,避免了传统取模的恶心感和误差;
- CT影像融合:对于复杂病例(如骨性畸形、埋伏牙),需结合CBCT(锥形束CT)数据,扫描仪软件会自动将口扫模型与CT影像融合,生成包含牙根位置、骨密度信息的3D模型,为方案设计提供解剖学依据。
3D建模:还原口腔的真实“数字孪生”
采集到的数据会导入专业正畸设计软件(如Insignia、OrthoInsight),系统自动生成与患者口腔1:1的3D数字模型,这一模型不仅包含牙齿的形态、大小、排列,还能模拟牙龈轮廓、咬合接触点,甚至动态模拟下颌运动轨迹,确保方案设计符合功能与美学需求。
方案设计:医生与AI协同的“移动艺术”
方案设计是效果图的核心环节,医生需结合患者诉求与专业判断,在软件中设定矫正目标:

- 牙齿目标位:明确每颗牙齿的最终位置(如牙弓对称性、中线对齐、覆覆盖正常);
- 移动路径规划:设计牙齿的移动顺序、速度(如整体内收还是单牙扭转),避免过度施力导致牙根吸收;
- 附件与牙合垫设计:针对复杂移动(如牙齿旋转、压低),需在牙齿上添加“附件”(树脂小凸点)辅助移动,软件会自动模拟附件的形态与位置;
- 阶段划分:将整个矫正过程分为8-12个阶段,每个阶段对应一副矫治器,生成“分步效果图”。
效果预演:从静态模型到动态“未来视频”
完成方案设计后,软件会生成两种形式的效果图:
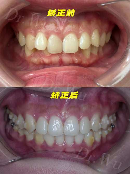
- 静态效果图:展示矫正前、中(每3-6个月)、后的牙齿对比,包括正面、侧面、咬合面三个视角,清晰呈现牙齿排列、咬合关系的变化;
- 动态演示视频:通过动画模拟牙齿从初始位置到目标位置的移动过程,直观展示“牙齿如何一步步变整齐”,部分软件还能结合面部软组织预测,模拟矫正后面部轮廓的变化(如改善“凸嘴”)。
隐形矫正效果图的关键要素:决定“预判效果”的四大维度
一张有临床价值的隐形矫正效果图,需满足以下核心要素:
| 要素维度 | 核心要求 | 临床意义 |
|---|---|---|
| 牙齿排列精度 | 牙齿无拥挤、扭转,牙弓形态对称,中线与面部中线一致 | 基础美学目标,直接影响微笑曲线与面部协调性 |
| 咬合关系 | 上下牙齿尖窝对位良好,前牙覆覆盖正常(覆覆盖2-3mm),后牙咬合稳定 | 确保咀嚼功能,避免矫正后出现咬合创伤、颞下颌关节紊乱 |
| 牙根位置 | 牙根在牙槽骨内位置正常,无显著吸收(牙根吸收量<2mm) | 保证牙齿长期健康,避免因过度移动导致牙根松动 |
| 面部美学 | 侧貌突度改善(如唇部与E线关系),微笑线自然,面部比例协调 | 满足患者对“颜值提升”的需求,尤其对成人患者至关重要 |
隐形矫正效果图 vs 传统矫正效果图:直观对比优势
与传统矫正(如托槽矫正)的效果图相比,隐形矫正的效果图在多个维度具有显著优势:
| 对比维度 | 传统矫正效果图 | 隐形矫正效果图 |
|---|---|---|
| 可视化程度 | 静态模型或2D示意图,难以展示动态移动过程 | 3D动态视频,可分步骤展示牙齿移动轨迹,直观易懂 |
| 方案修改灵活性 | 需重新取模调整,周期长(3-5天) | 软件中可实时修改方案,1-2小时内生成新效果图 |
| 细节精度 | 难以模拟牙根位置、骨吸收等细节 | 融合CT数据,可精准显示牙根与骨关系,规避风险 |
| 患者参与感 | 患者被动接受方案,缺乏互动 | 可通过APP查看自己的“移动动画”,参与方案讨论 |
注意事项:效果图≠最终效果,理性看待“预判”
尽管隐形矫正效果图具有高精度预判价值,但需明确:效果图是“理想化模拟”,实际效果受多种因素影响:

- 个体差异:牙齿移动速度、骨改建能力因人而异,部分患者(如成年人、骨性错颌)的实际矫正周期可能长于效果图预期;
- 佩戴依从性:隐形矫正需每天佩戴20-22小时,若佩戴时间不足,牙齿移动可能滞后,导致最终效果与图示存在偏差;
- 口腔健康状况:矫正过程中若出现龋齿、牙周炎等问题,可能需暂停治疗,影响方案进度;
- 医生经验:效果图的最终呈现依赖医生的设计能力,经验不足的医生可能忽略细节(如咬合干扰、软组织变化),导致效果图与实际效果脱节。
相关问答FAQs
Q1:隐形矫正效果图和最终效果差距大吗?如何缩小差距?
A:差距通常较小(90%以上患者可实现预期效果),但受个体差异、佩戴依从性等影响,缩小差距的关键在于:①选择经验丰富的正畸医生,能结合临床实际调整方案;②严格佩戴矫治器,确保每日佩戴时间达标;③定期复诊(每4-6周一次),及时处理牙齿移动异常;④保持口腔卫生,避免因龋齿或牙周炎中断治疗。
Q2:如何判断隐形矫正效果图是否“靠谱”?
A:可从三方面判断:①查看效果图是否包含“多维度对比”(正面、侧面、咬合面)和“动态演示”,而非仅静态图;②确认医生是否结合了CT数据(尤其复杂病例),是否标注了牙根位置、移动路径等细节;③要求医生解释方案中的关键设计(如附件位置、移动顺序),确保逻辑清晰、符合解剖学原理。
