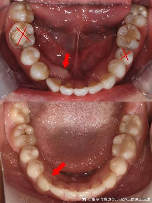
下牙齿不齐是口腔常见的错颌畸形之一,表现为牙齿排列拥挤、错位、扭转、稀疏或高低不齐等情况,不仅影响面部美观,还可能对咀嚼功能、发音及口腔健康造成潜在威胁,据统计,我国约70%以上存在不同程度的牙齿排列问题,其中下牙列不齐占比超过40%,且近年来青少年群体的发病率呈上升趋势,需引起重视。
下牙齿不齐的常见原因
下牙齿不齐的形成是多因素作用的结果,主要包括遗传与环境两方面:

- 遗传因素:父母牙齿排列异常可能遗传给子女,如下颌牙弓狭窄、牙齿过大与牙量不协调等,属于先天发育问题。
- 不良习惯:儿童时期吮指、咬唇、吐舌、口呼吸等习惯,会持续推动下前牙向唇侧或舌侧移位,导致牙齿拥挤或错位;长期使用一侧咀嚼(偏侧咀嚼)也可能使下牙列受力不均,出现代偿性移位。
- 替牙期障碍:乳牙早失导致邻牙倾斜占据空间,使恒牙萌出间隙不足;乳牙滞留或多生牙、埋伏牙等,会阻碍正常恒牙排列,引发“虎牙”或牙齿扭转。
- 牙周问题:成年人因牙周炎导致牙槽骨吸收,牙齿失去支撑后可能出现松动、移位,形成“扇形移位”或“牙齿伸长”等不齐表现。
- 其他因素:如唇系带位置过低、颌骨发育异常(如下颌过小或过大),或因外伤、肿瘤等导致牙齿位置改变。
下牙齿不齐的影响
下牙齿不齐的危害远超“美观”范畴,可能引发一系列连锁问题:
- 咀嚼功能下降:牙齿排列不齐会导致咬合关系紊乱,咀嚼效率降低,长期可能引发消化不良、胃肠功能紊乱。
- 口腔健康隐患:拥挤的牙齿清洁难度大,食物残渣易堆积,形成牙菌斑,增加龋齿、牙周炎的风险;牙齿错位还可能造成咬创伤,引发颞下颌关节紊乱(如关节弹响、疼痛)。
- 发音与心理问题:下前牙参与发音(如“s”“z”音),牙齿不齐可能导致发音不清;青少年可能因牙齿外观自卑,影响社交与心理健康。
牙齿矫正:解决下牙不齐的核心方案
针对下牙齿不齐,牙齿矫正(正畸治疗)是目前最有效的解决手段,通过施加持续、轻柔的生物力,引导牙齿移动至理想位置,恢复牙列整齐与咬合功能,以下是主流矫正方式对比:
| 矫正方式 | 原理 | 优点 | 缺点 | 适用情况 |
|---|---|---|---|---|
| 传统金属托槽矫正 | 在牙齿表面粘贴金属托槽,通过弓丝与结扎丝施加力 | 性价比高、适用范围广、控根移动精确 | 美观性差、舒适度较低、口腔清洁难度大 | 牙齿严重拥挤、骨性错颌等复杂病例 |
| 隐形矫正 | 使用3D打印定制透明牙套,通过更换牙套逐步移动牙齿 | 美观隐蔽、可自行摘戴、舒适度高、易清洁 | 费用较高、对自律性要求高、复杂病例效果有限 | 轻中度拥挤、牙齿错位、成人美学矫正需求高 |
| 舌侧矫正 | 将托槽粘贴在牙齿舌侧面,完全隐藏于口腔内 | 美观性最佳、不影响社交 | 费用极高、操作复杂、初期发音影响大、清洁难 | 对美观要求极高的成人患者 |
| 自锁托槽矫正 | 托槽自带闭锁结构,减少弓丝与托槽的摩擦力,提升矫正效率 | 矫正周期缩短(约20%-30%)、复诊间隔延长、疼痛感轻 | 费用略高于传统矫正、托槽体积较大 | 对疼痛敏感、希望缩短矫正时间的患者 |
矫正流程与注意事项
- 初诊检查:包括口内检查、模型制取、X光片(曲面断层片、头颅侧位片)及CBCT(三维影像),分析牙齿、颌骨、咬合关系,制定个性化方案。
- 方案设计:根据患者年龄(儿童可能需配合生长改良治疗)、畸形类型、诉求选择矫正方式,必要时需拔牙(解决牙量骨量不调)或辅助支抗钉增强控制力。
- 戴牙矫治:分次粘接托槽/佩戴牙套,期间每4-6周复诊调整,直至牙齿排列整齐、咬合稳定(通常需1-3年)。
- 保持器佩戴:拆除矫治器后需佩戴保持器(通常建议夜间佩戴至少2年),防止牙齿复发(因牙周组织改建、肌肉记忆等导致牙齿移位)。
注意事项:矫正期间需严格避免过硬(坚果、骨头)、过黏(口香糖、年糕)食物,防止托槽脱落;加强口腔卫生,使用正畸专用牙刷、牙线、冲牙器,避免矫正中龋齿;若出现剧烈疼痛、托槽脱落等异常,需及时复诊。
相关问答FAQs
Q1:矫正期间下牙疼痛正常吗?如何缓解?
A:矫正初期(戴牙后1周内)或每次复诊调整后3-5天,下牙可能出现轻微酸胀、疼痛,属于牙齿移动的正常生理反应,通常可自行缓解,若疼痛剧烈或持续超过1周,可能是托槽刺激黏膜或弓丝末端过长划伤,需及时复诊调整医生处理,可通过温盐水漱口、避免咀嚼硬食缓解,必要时遵医嘱服用非甾体抗炎药(如布洛芬)。

Q2:矫正后下牙会反弹吗?如何预防?
A:牙齿矫正后存在一定复发风险,尤其是未按医嘱佩戴保持器、牙周健康不佳或不良习惯未纠正(如吐舌、口呼吸)的患者,预防复发的关键:①严格佩戴保持器(初期全天,后期夜间);②定期复查(矫正后前两年每3-6个月1次,之后每年1次);③保持口腔卫生,积极治疗牙周疾病;④避免用牙开瓶盖、咬硬物等不良习惯,若出现轻微复发,可通过隐形矫正保持器二次调整,严重者需重新治疗。

