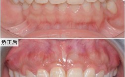
牙齿,作为人体重要的咀嚼器官和面部美观的关键支撑,其排列与形态直接影响着口腔功能与个人气质,在牙齿矫正过程中,不少患者会遇到“虎牙是否需要拔除”的困惑,虎牙(学名“尖牙”)位于口角两侧,是牙列中牙根最长、最粗壮的牙齿,因其尖锐的牙冠和突出的位置而得名,在维持面部丰满度、引导咬合以及切割食物中扮演着不可替代的角色,在正畸治疗中,部分患者的虎牙确实需要被拔除,这背后涉及复杂的口腔状况评估与治疗方案设计,并非“拔虎牙=影响美观”的简单逻辑。
为什么矫正时可能需要拔虎牙?
牙齿矫正的核心目标是建立稳定的咬合关系、协调的颜面外观及健康的牙周组织,当口腔存在以下问题时,拔除虎牙可能成为必要选择:
牙列严重拥挤,空间不足
这是最常见的拔牙原因,若患者的牙弓长度小于所有牙齿宽度总和,牙齿便会拥挤错位,虎牙作为“最后萌出的牙齿”,常因空间不足而异位萌出(如唇向、低位、甚至埋伏),导致“虎牙外翘”或“牙齿参差不齐”,通过拔除虎牙(或其他非关键牙齿),可为剩余牙齿创造排齐空间,避免强行排齐导致牙龈萎缩、牙根吸收等风险。

前牙深覆合或深覆盖
深覆合(上前牙盖住下前牙过多)或深覆盖(“龅牙”)常伴随上下牙弓比例不调,若患者上颌牙弓前段空间严重不足,拔除一颗虎牙(通常为对称拔除,或结合其他牙齿)有助于内收前牙,改善咬合深度与唇突度,避免“地包天”或“露龈笑”等问题。
虎牙本身存在严重病变或位置异常
少数情况下,虎牙可能因严重龋坏(蛀牙)、牙根吸收、外伤折断或位置过于偏远(如完全埋伏于颌骨内且无法牵引)而无法保留,此时拔除是为后续修复(如种植牙、烤瓷牙)创造条件。
哪些情况需要拔虎牙?哪些情况需谨慎?
并非所有拥挤或错位的虎牙都需要拔除,医生需结合患者的牙列拥挤度、面部形态、牙周健康状况、年龄等因素综合判断,以下是常见的拔牙适应症与禁忌症:
| 拔除虎牙的适应症 | 需谨慎或避免拔除的情况 |
|---|---|
| 牙列拥挤度≥10mm(需拔牙才能排齐); 上下前牙严重拥挤,无足够间隙让虎牙正常萌出; 前牙深覆合Ⅲ度(上前牙完全覆盖下前牙),且无正畸代偿空间; 虎牙本身存在严重牙周病、根尖周病或无法保留的牙体缺损; 成年患者需拔牙矫正,且虎牙为埋伏牙,牵引难度大、风险高。 |
面部凹陷,虎牙对口角支撑作用明显(拔除可能加重“瘪嘴”); 牙列轻度拥挤,可通过扩弓、邻面去釉等非拔牙方式解决; 虎牙形态良好、位置可移动,且患者对美观要求高; 未成年人,牙槽骨发育潜力大,可通过生长改良避免拔牙。 |
拔虎牙的利与弊:权衡后的选择
拔虎牙的“利”:

- 解决拥挤,排齐牙列:为其他牙齿创造空间,使牙列整齐、易于清洁,降低龋齿和牙周病风险;
- 改善咬合功能:调整上下牙的对应关系,提高咀嚼效率,缓解颞下颌关节紊乱;
- 优化面部美观:对于“龅牙”“地包天”等患者,拔牙可内收前牙,改善侧貌轮廓。
拔虎牙的“弊”:
- 影响面部丰满度:虎牙牙根长、位置靠前,对面部中1/3的支撑作用显著,拔除后可能导致口角塌陷、鼻唇沟加深,显得“显老”;
- 咀嚼功能下降:尖牙是“牙列支柱”,承担主要的切割和撕裂功能,拔除后可能影响食物研磨效率;
- 空隙处理难度:若拔牙后未及时关闭空隙或修复,可能导致邻牙倾斜、对颌牙伸长,引发咬合问题。
拔虎牙后的替代方案与术后护理
若医生判断需拔虎牙,治疗过程中会通过“关闭拔牙间隙”的方式,将后牙前移,最终关闭拔牙后的空隙,避免留下缝隙,对于无法保留的虎牙,可在矫正结束后通过种植牙、烤瓷牙等方式修复,以恢复牙列完整性和美观。
术后护理需注意:
- 饮食:拔牙后24小时避免用患侧咀嚼,忌过硬、过烫食物,防止创口出血或感染;
- 口腔清洁:拔牙当天不刷牙,次日可用软毛牙刷轻柔清洁,配合漱口水(如氯己定)预防感染;
- 定期复查:正畸期间需每月复诊,调整矫正力度,确保牙齿按计划移动;
- 保持器佩戴:矫正结束后需严格佩戴保持器,防止牙齿复发移位。
常见误区:“拔虎牙=更美观”?
虎牙对面部美观有双重作用:排列整齐的虎牙可增加“野性魅力”,而异位萌出的虎牙则影响整体协调,是否拔除需基于专业评估,而非单纯追求“整齐”——若患者面型饱满、虎牙可移动矫正,保留虎牙并排齐是更优选择;若拥挤严重、无法避免拔牙,医生也会通过精准方案将对面部的影响降到最低。

相关问答FAQs
Q1:拔虎牙会导致面容凹陷显老吗?
A:不一定,若患者本身面型饱满、牙槽骨发育良好,拔除一颗虎牙并通过正畸关闭间隙,对面部支撑的影响微乎其微;若患者面型偏瘦、牙槽骨较薄,拔除虎牙可能加重口角塌陷,医生会通过X光片(曲面断层片、头颅侧位片)评估牙槽骨厚度和面部软组织厚度,制定个性化方案,必要时通过种植修复弥补。
Q2:拔虎牙后,牙齿会松动吗?
A:正畸过程中牙齿移动本身是生理性活动,轻微松动是暂时的,矫正结束后会逐渐稳定,若拔牙后未规范关闭间隙,导致邻牙倾斜或对颌牙伸长,可能增加牙齿松动风险,选择正规医疗机构和经验丰富的正畸医生,严格遵循治疗计划,是避免牙齿松动的关键。
