牙齿矫正的过程不仅是牙齿排列的调整,更是面部轮廓、笑容状态乃至自信心的全面提升,许多人在矫正前后通过对比图片,直观感受到“换头”般的蜕变,这些变化背后是牙齿、骨骼、肌肉协调作用的结果,也是现代正畸技术与医学美学的结合,要理解牙齿矫正的变化图片,需从面部轮廓、牙齿排列、笑容状态、矫正方式等多个维度展开,同时结合不同阶段的典型特征,才能全面把握矫正带来的改变。
面部轮廓的微妙调整:从“骨相”到“皮相”的协调
牙齿对面部轮廓的影响常被忽视,但实际上,牙齿的位置与嘴唇、脸颊的支撑紧密相关,典型的面部变化集中在以下几个区域:

嘴凸与侧脸线条的改善
对于“龅牙”(上颌前突或双颌前突)患者,矫正前常表现为嘴唇自然状态下无法闭合,或微笑时上唇过度拉伸,侧面看鼻唇沟深、下颌后缩,矫正过程中,通过内收上前牙、调整颌骨关系,牙齿位置后移,嘴唇会逐渐回归自然状态,不再“外翘”,对比图片中,最显著的变化是侧面轮廓:矫正后鼻唇角(鼻底与上唇的夹角)趋于90°-100°的理想范围,下颌线条更清晰,从侧面看面部“立体感”提升,不再有“凸嘴”的笨拙感。
地包天与“月牙脸”的修正
“地包天”(反颌)患者因下颌前突,常表现为“月牙脸”(下巴过突、面中凹陷),微笑时下唇覆盖上唇,显得面部比例失调,矫正通过上颌前移、下颌后移或两者结合,调整上下颌的咬合关系,矫正后的图片可见,面中部的饱满度提升,下巴不再过度前突,面部从“V型”逐渐过渡到更协调的“鹅蛋型”或“方型”,侧面看鼻尖、下巴、下颌缘基本在一条直线上,面部比例更符合美学标准。
咬合深浅与面部中庭的变化
“深覆合”(上牙过度覆盖下牙)患者常伴随下颌后缩、面部中庭(鼻底到下巴的距离)较短的问题,矫正通过压低上前牙、升高下后牙,打开咬合空间,改善下颌位置,对比图片中,矫正后面部中庭视觉上被“拉长”,笑容更舒展,避免了因咬合过深导致的“严肃”或“不耐烦”的表情;而“深覆盖”(上牙前突下牙)矫正后,则解决了“龅牙”导致的嘴凸,面部整体更柔和。
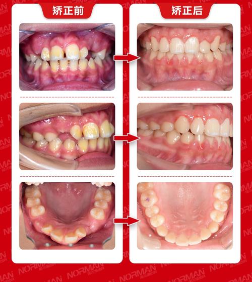
牙齿排列的“重构”:从“混乱”到“秩序”的蜕变
牙齿排列的变化是矫正最直观的体现,也是面部改善的基础,常见的牙齿问题及矫正后的对比特征包括:

拥挤与稀疏的“双向调整”
牙齿拥挤(牙量大于骨量)表现为牙齿大小不一、排列不齐,甚至“扭转”“重叠”,不仅影响美观,还易藏食物残渣导致龋齿,矫正通过扩弓、拔牙(如拔除第一前磨牙)为牙齿创造空间,逐步将拥挤的牙齿排齐在牙弓上,对比图片中,原本“歪歪扭扭”的牙齿变得整齐划一,牙弓形态从“狭窄”变为“饱满”,牙齿之间的缝隙均匀,边缘光滑。
而牙齿稀疏(牙量小于骨量)则表现为牙缝过大,矫正通过关闭散在间隙(如使用橡皮圈、种植钉等),让牙齿向中间移动,最终达到“紧密排列”的状态,矫正后的图片可见,牙齿之间不再有“黑洞”,笑容更完整,整体协调感提升。
咬合关系的“精准复位”
咬合问题(如反颌、深覆合、锁颌)不仅影响咀嚼功能,还可能导致牙齿磨损、颞下颌关节紊乱,矫正的核心之一就是调整咬合关系:
- 反颌:矫正前上下牙交叉咬合,矫正后上下牙尖窝相对,能正常咀嚼;
- 深覆合:矫正前上牙覆盖下牙过多,矫正后上下牙接触点适中,避免“咬到上颚”;
- 锁颌:矫正前上后牙与下后牙无法相对咬合,矫正后牙齿能正常滑动,提升咀嚼效率。
对比图片中,牙齿的“咬合痕迹”从紊乱变为有序,侧面看上下牙弓的曲线匹配,功能与美观同步改善。
笑容状态的“质变”:从“掩饰”到“绽放”的自信
笑容是牙齿矫正最直接的改变载体,矫正前后的笑容对比往往最具冲击力:
牙齿颜色与对称性的提升
矫正过程中,通过定期洗牙、避免色素食物(如咖啡、奶茶),牙齿颜色会逐渐变白;排齐后的牙齿左右对称性更高,比如中线(上下牙中间的缝隙)对齐,牙齿大小、形态协调,微笑时“露齿量”适中(上前牙暴露约80%-85%,下前牙暴露约2mm),符合“黄金微笑”标准,对比图片中,矫正前的“歪牙”“黄牙”消失,笑容从“拘谨”变为“明亮”,感染力显著提升。

牙龈状态的“健康回归”
牙齿拥挤或咬合异常常伴随牙龈问题,如牙龈萎缩、牙结石堆积、牙龈红肿,矫正通过调整牙齿位置,减少牙龈受力不均,配合良好的口腔卫生,牙龈会逐渐恢复粉红、紧致的状态,对比图片中,矫正前的“红肿牙龈”“黑三角”(牙缝间牙龈萎缩)得到改善,笑容更“干净”,避免了因牙龈问题导致的“尴尬”。
不同矫正方式的“视觉差异”:从“可见”到“隐形”的选择
矫正方式的不同,也会影响变化图片的呈现特征:
- 传统托槽矫正(金属/陶瓷托槽):矫正过程中可见托槽和钢丝,但牙齿移动的轨迹清晰,对比图片中能直观看到托槽周围牙齿的逐步排齐;
- 隐形矫正:通过透明牙套逐步移动牙齿,矫正过程“隐形”,对比图片多为“牙套戴前vs戴后”的瞬间变化,看不到矫治器,但牙齿移动效果显著,尤其适合关注美观的成年人;
- 舌侧矫正:托槽粘在牙齿内侧,完全隐蔽,对比图片只能看到牙齿排列的变化,几乎看不到矫治器痕迹,是“美观度”最高的矫正方式之一。
矫正阶段的“动态变化”:从“初始”到“稳定”的过程
牙齿矫正是一个动态过程,不同阶段的变化特征明显,以下为典型阶段的变化对比:
| 矫正阶段 | 牙齿变化 | 面部/笑容变化 | 注意事项 |
|---|---|---|---|
| 初期(1-3个月) | 牙齿轻微松动,排列开始调整 | 面部变化不明显,可能暂时性“牙酸” | 避免咬硬物,保持口腔卫生 |
| 中期(4-8个月) | 拥挤明显改善,咬合开始调整 | 侧脸线条初步流畅,笑容更整齐 | 定期复诊调整力度,避免托槽脱落 |
| 后期(9-12个月) | 牙齿排齐,咬合稳定,关闭拔牙间隙 | 面部轮廓显著改善,笑容自然自信 | 佩戴皮筋辅助咬合调整,注意饮食 |
| 保持期(矫正后1-2年) | 牙齿稳定,保持器防止复发 | 效果维持,面部状态稳定 | 坚持佩戴保持器,定期复查 |
注意事项:避免“过度期待”,尊重个体差异
牙齿矫正的变化图片虽直观,但需注意:
- 个体差异:年龄(青少年骨骼可塑性强,成人需结合正颌手术)、原始问题复杂度(如严重骨性畸形需手术矫正)、矫正方式等都会影响变化程度,并非所有人都能达到“换头”效果;
- 专业评估:对比图片需在专业正畸医生指导下分析,避免被“过度美化”的案例误导,矫正需以功能健康为基础,兼顾美观;
- 长期维护:矫正后需佩戴保持器,避免牙齿复发,定期复查才能维持效果。
相关问答FAQs
Q1:牙齿矫正的变化图片需要定期拍摄吗?有什么作用?
A:建议定期拍摄(如每月或每季度),作用有三:一是直观看到牙齿移动进度,增强矫正信心;二是帮助医生判断矫正方向,及时调整方案;三是作为长期效果对比的资料,便于总结经验,拍摄时需固定光线、角度(正面、侧面、45°斜面),确保对比的客观性。
Q2:如何判断矫正前后的变化图片是否真实有效?
A:可通过以下几点判断:一是看细节,如牙龈状态是否健康(无红肿萎缩)、牙齿边缘是否整齐(无尖锐棱角);二是看功能,如咬合是否正常(上下牙能紧密接触)、中线是否对齐(面部左右对称);三是对比专业数据,如X光片显示的牙根位置、牙弓长度是否改善,避免仅凭“视觉冲击”判断真实性,真实有效的变化应是功能与美观的同步提升,而非单纯的“牙齿变齐”。
