矫正牙齿过程中,“上下挂皮筋”是正畸治疗中常见的辅助手段,医学上称为“颌间牵引”,通过橡皮筋连接上下颌的牙套挂钩,利用持续、轻柔的力量,帮助牙齿、颌骨及咬合关系向理想位置调整,是精细化矫正的重要环节。
矫正挂皮筋的核心作用
牙齿矫正不仅排齐牙齿,更关键的是建立稳定的咬合功能,挂皮筋的主要作用包括:

- 调整咬合关系:针对“深覆合”(上牙盖下牙过多)、“深覆盖”(俗称“龅牙”)、“反颌”(“地包天”)等问题,通过牵引力引导上下颌牙齿对位,改善咬合接触点,避免咀嚼功能异常或牙齿磨损。
- 关闭拔牙间隙:部分矫正需拔除牙齿(如前磨牙)为排齐提供空间,皮筋可通过牵引将两侧牙齿向中间移动,逐步关闭间隙。
- 纠正中线偏移:若上下颌牙齿中线不一致(如上颌中线右偏,下颌左偏),通过交叉牵引调整牙齿位置,使中线对齐面部对称轴。
- 辅助骨性畸形改善:对于轻度骨性错颌(如下颌后缩的II类错颌),通过牵引力引导下颌骨向前调整,协调上下颌骨关系,避免单纯依赖牙齿代偿。
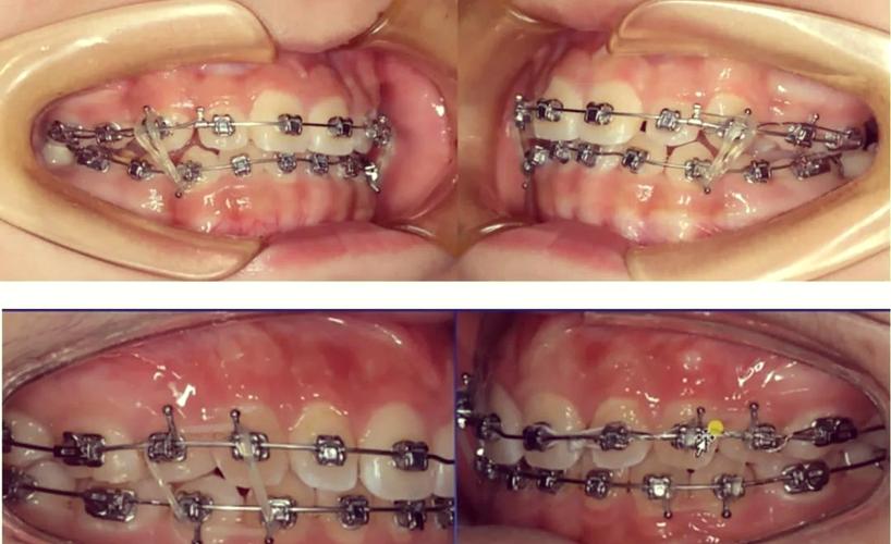
皮筋的类型与挂法
皮筋的规格、挂法需根据个人矫正方案定制,常见的分类及适用情况如下:
| 类型 | 特点 | 适用情况 |
|---|---|---|
| 直径规格 | 常见1/4英寸(约6.35mm)、3/16英寸(约4.76mm),直径越小力量越轻 | 轻度调整(如中线微调)用1/4英寸,间隙关闭、骨性调整用3/16英寸 |
| 力量强度 | 轻力(50-70g)、中力(70-100g)、重力(100-150g) | 初期移动或精细调整用轻力,大幅移动(如关闭拔牙间隙)用中力或重力 |
| 材质 | 普通橡胶皮筋(含乳胶)、无乳胶皮筋(适合过敏者)、透明皮筋(更美观) | 对乳胶过敏者选无乳胶材质,注重美观者选透明皮筋 |
| 挂法 | 垂直牵引(上下颌牙直接挂钩)、水平牵引(同颌牙间牵引)、三角牵引(三颗牙形成三角) | 垂直牵引用于咬合调整;水平牵引用于同颌间隙关闭;三角牵引用于中线纠正或复杂咬合 |
挂法示例:
- 垂直牵引:上颌侧切牙挂钩挂至下颌第一磨牙挂钩,用于纠正深覆盖;
- 三角牵引:上颌左侧尖牙挂钩挂下颌右侧第一磨牙,上颌右侧尖牙挂钩挂下颌左侧第一磨牙,形成“三角”,用于纠正中线偏移。
使用方法与注意事项
- 佩戴时间:需每天佩戴20-22小时,除吃饭、刷牙外不可摘下,确保持续牵引效果,若随意摘戴,会导致力量中断,延长治疗周期。
- 更换频率:皮筋易拉伸变形(唾液、温度会加速力量衰减),需每4-6小时更换一次,或每天晨起、睡前各换1次,避免力量减弱影响牙齿移动。
- 操作要点:医生会标记挂钩位置,患者需对准牙套上的“牵引钩”(通常在侧切牙、尖牙、磨牙牙面),轻轻拉伸皮筋挂上,避免用力过猛损坏挂钩或皮筋。
- 口腔卫生:挂皮筋后食物易残留,需配合牙线、冲牙器清洁,避免牙龈炎、龋齿;若皮筋沾染食物残渣,需及时更换。
- 复诊沟通:若皮筋频繁脱落、疼痛异常或牙齿移动无进展,需及时复诊,医生会检查挂钩是否变形、挂法是否正确,必要时调整方案。
常见问题及解决
- 皮筋频繁掉落:可能是挂钩位置偏移、挂法错误或咀嚼时用力过大,复诊时请医生调整挂钩,或学习正确的挂法技巧。
- 佩戴后疼痛:牙齿受力移动的正常反应,通常1-3天缓解,若疼痛持续加重(伴牙龈肿胀、牙齿松动),需复诊排查牙根吸收等问题。
FAQs
Q1:矫正挂皮筋疼吗?正常疼痛多久会缓解?
A:挂皮筋后1-3天内可能出现牙齿酸胀、轻微疼痛,属正常现象(牙齿受力移动的生理反应),疼痛通常在3-5天逐渐缓解,若持续疼痛或伴随肿胀、咬合无力,需及时复诊检查。
Q2:皮筋掉了需要马上戴新的吗?可以等复诊时再戴吗?
A:需尽量在1小时内补戴新皮筋,颌间牵引需持续稳定的力量,若等待复诊(通常间隔4-6周)才戴,会导致牵引中断,牙齿可能回到原位,延长治疗时间,建议随身携带备用皮筋,掉落后按医嘱及时更换。
