在漳州寻求牙齿矫正服务时,选择一家专业、靠谱的机构至关重要,这不仅关系到矫正效果,也直接影响治疗过程中的舒适度和安全性,牙齿矫正并非小事,涉及医生资质、技术设备、服务体验、价格透明度等多方面因素,需要综合考量,本文将从漳州牙齿矫正的核心选择标准、主流机构对比及实用建议出发,帮你找到最适合自己的矫正方案。
漳州牙齿矫正的核心选择标准
判断一家牙齿矫正机构好不好,关键看以下几点:

医生资质与经验
牙齿矫正的核心是医生的技术和经验,优先选择拥有正畸专业资质的医生,比如中华口腔医学会正畸专业委员会(COS)认证会员,或拥有硕士、博士学历的正畸专科医生,临床经验也很重要,建议选择有5年以上正畸临床经验的医生,尤其是处理过复杂案例(如骨性错颌、深覆合、开颌等)的医生,能更好地应对突发情况。
技术与设备
现代牙齿矫正已从传统“钢牙”发展到多种技术,如隐形矫正(时代天使、隐适美)、自锁托槽矫正、舌侧矫正等,优质机构通常会配备先进的数字化设备,如口内扫描仪(替代传统取模,提升舒适度)、3D数字化方案设计系统(可提前预知矫正效果)、CBCT(用于复杂病例的骨性分析),这些技术能提高矫正精度和效率。
服务与环境
矫正周期通常为1-3年,长期的服务体验很重要,观察机构的环境是否卫生、消毒流程是否规范(如是否使用一次性器械、高温高压消毒等),医护人员是否耐心解答疑问,是否有完善的术后跟踪机制(如定期复诊提醒、佩戴保持器指导等)。
价格透明度与性价比
不同矫正技术、医生资历、机构类型会导致价格差异,正规机构会在面诊时提供详细的费用清单,明确包含哪些项目(如拔牙费、骨钉费、保持器费等),避免后期隐形消费,漳州牙齿矫正价格参考:传统金属托槽约8000-15000元,自锁托槽约15000-25000元,隐形矫正约20000-45000元,具体需根据个人情况面诊确定。

漳州牙齿矫正机构推荐(含对比)
结合漳州本地口碑、医生资源及技术实力,以下为部分优质机构对比,供参考:
| 机构类型 | 代表机构 | 优势项目 | 医生团队 | 价格参考(元) | 用户评价亮点 |
|---|---|---|---|---|---|
| 公立医院 | 漳州市医院口腔科 | 传统矫正、复杂骨性病例 | 主任医师领衔,三甲医院背景,严谨规范 | 8000-20000 | 医生经验丰富,处理疑难杂症有优势,价格透明 |
| 解放军第909医院口腔中心 | 青少年早期干预、成人矫正 | 军队医院专家,技术扎实,服务细致 | 9000-22000 | 环境整洁,复诊流程高效,对军人有优惠 | |
| 私立口腔机构 | 漳州美可普口腔 | 隐形矫正(时代天使/隐适美)、美学矫正 | 硕士以上学历团队,定期参与国际正畸学术交流 | 20000-45000 | 服务贴心,数字化方案设计直观,预约灵活 |
| 漳州德贝口腔 | 自锁托槽矫正、儿童早期矫治 | 儿童齿科专家,擅长沟通,有专属儿童诊室 | 15000-30000 | 对患者耐心,价格分期可选,口碑长期稳定 | |
| 漳州贝齿口腔 | 舌侧矫正、个性化方案设计 | 韩国进修背景,技术细腻,注重咬合功能与美学 | 35000-50000 | 矫正效果自然,案例库丰富,术后跟踪到位 |
选择漳州牙齿矫正机构的实用建议
- 多方对比,不盲目跟风:建议选择2-3家机构面诊,对比医生给出的矫正方案(如拔牙与否、矫正周期、技术选择)、费用及沟通态度,选择最适合自己的方案,而非仅看价格或名气。
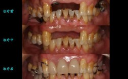
- 关注案例效果:要求查看医生过往的矫正案例,尤其是与自己情况相似的案例,观察矫正后的牙齿排列、面部改善效果,这能直观反映医生的技术水平。
- 确认隐形消费:面诊时务必确认费用包含的项目,如是否包含拔牙、骨钉、保持器、复诊调整等费用,避免后期额外支出。
- 考虑交通便利性:矫正需定期复诊(通常1-2个月一次),选择离家或公司较近的机构,能节省时间成本,提高治疗依从性。
相关问答FAQs
Q1:漳州牙齿矫正价格为什么差异这么大?哪些因素会影响价格?
A:漳州牙齿矫正价格差异主要受以下因素影响:(1)矫正技术:传统金属托槽价格最低,隐形矫正、舌侧矫正因技术复杂、材料成本高,价格更贵;(2)医生资历:主任医师、资深专家的诊费高于普通医生;(3)病例复杂度:简单牙列不齐矫正难度低,价格相对便宜;骨性错颌、需要拔牙或手术的复杂病例,需额外治疗费用;(4)机构类型:公立医院价格规范但排队久,私立机构服务更优、技术更新快,价格稍高但性价比选择多,建议面诊时结合自身情况与预算,选择合适的方案。
Q2:成年人矫正和青少年矫正有什么区别?漳州成年人矫正有年龄限制吗?
A:成年人矫正与青少年矫正的主要区别在于:(1)生长发育状态:青少年处于生长发育期,颌骨可塑性强,部分骨性问题可通过生长改良治疗(如功能矫治器)纠正,而成年人颌骨已定型,复杂骨性病例可能需配合正颌手术;(2)矫正时间:青少年新陈代谢快,牙齿移动效率高,矫正周期通常1-2年;成年人因骨质密度较高,矫正周期可能延长至2-3年;(3)口腔条件:成年人可能存在牙周炎、牙齿缺失、烤瓷牙等问题,需先治疗口腔疾病再矫正,方案设计更复杂,漳州成年人矫正无严格年龄限制,只要牙周健康、无全身性疾病,任何年龄均可矫正,但需选择有成人矫正经验的医生,制定个性化方案。

