地包天牙齿矫正视频是帮助患者直观了解矫正过程、选择合适方案的重要参考资源,通过真实案例演示、专业解析和步骤拆解,既能缓解矫正前的焦虑,也能为日常护理提供指导,这类视频通常围绕矫正原理、方法选择、操作流程及注意事项展开,结合动态画面和医生讲解,让抽象的医学知识变得通俗易懂。
地包天矫正视频的核心内容模块
地包天(医学称“反颌”)是指下前牙咬合在上前牙外侧,可能涉及牙性、骨性或功能性问题,矫正视频需系统覆盖以下模块,确保观众全面了解矫正全貌。

地包天类型与成因解析
视频通常会先通过动画或模型演示不同类型的地包天,包括牙性反颌(仅牙齿排列异常)、骨性反颌(上下颌骨发育异常,如下颌前突)、功能性反颌(因不良习惯如咬上唇、长期吮指导致),牙性反颌多可通过矫正器改善,而严重骨性反颌可能需结合正颌手术,成因部分会强调遗传因素(如下颌家族遗传)、儿童期不良习惯(如长期使用奶嘴、口呼吸)、替牙期障碍(上颌乳牙早失)等,帮助观众判断自身问题根源。
矫正方法对比与选择
针对不同类型的地包天,视频会对比主流矫正方式,并通过表格直观呈现差异:
| 矫正类型 | 原理 | 适用人群 | 优缺点 | 周期 |
|---|---|---|---|---|
| 传统金属托槽矫正 | 通过弓丝和托槽施加持续力,移动牙齿 | 各类牙性反颌,青少年及成人 | 优点:性价比高、控制力强;缺点:美观度差、口腔异物感强 | 5-3年 |
| 隐形矫正(如隐适美) | 3D打印定制透明牙套,逐步移动牙齿 | 轻中度牙性反颌,对美观要求高者 | 优点:隐形舒适、可摘戴;缺点:费用高、需严格佩戴(每天20小时以上) | 1-2年 |
| 儿童早期干预(MRC) | 纠正不良习惯,引导颌骨正常发育 | 3-10岁替牙期儿童 | 优点:降低成人矫正难度;缺点:需配合佩戴矫治器,效果因人而异 | 6个月-1年 |
| 正畸-正颌联合治疗 | 先矫正牙齿位置,再通过手术调整颌骨 | 严重骨性反颌(如下颌前突伴面型异常) | 优点:改善面型与咬合功能;缺点:创伤大、费用高(约10万-20万) | 2-3年(含术后恢复) |
视频会结合案例说明:儿童发现“地包天”后,若及时佩戴MRC矫治器纠正口呼吸,可能避免成年后手术;而成人骨性反颌则需通过正畸-正颌联合治疗才能实现理想效果。
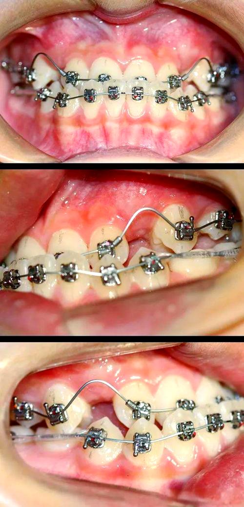
矫正步骤分阶段演示
以传统矫正为例,视频会拆解为6个关键步骤,配合实拍画面:

- 初诊检查:拍摄X光片(曲面断层片、头颅侧位片)、取模,分析牙齿、颌骨、面部关系;
- 方案设计:医生根据数据确定是否需要拔牙(如牙列拥挤时拔除前磨牙)、移动方向;
- 粘接托槽:酸蚀牙齿表面,用树脂将托槽固定在牙面,弓丝穿过托槽槽沟;
- 加力调整:每4-6周复诊,更换弓丝或调整力度,牙齿移动过程中可能出现酸胀感(正常现象);
- 保持阶段:拆除矫正器后佩戴保持器(透明压膜保持器或 Hawley 保持器),防止复发(至少2年);
- 效果维护:定期复查,避免牙齿移位(如用牙线清洁、避免咬硬物)。
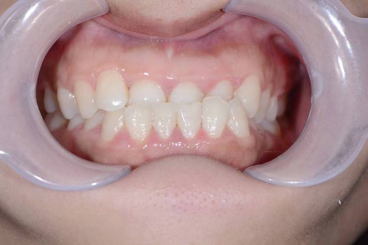
真实案例前后对比与医生解析
视频常选取不同年龄、严重程度的案例,展示矫正前(如“月牙脸”、咬合创伤)、矫正中(牙齿移动过程)、矫正后(面型改善、咬合关系正常)的变化,一位25岁女性通过隐形矫正矫正牙性反颌,不仅改善了“地包天”外观,还解决了咀嚼疼痛问题;一位8岁儿童佩戴MRC矫治器1年后,下颌后退,面型趋于协调,医生会解析案例中的关键点:如“为何选择拔牙矫正”“如何避免牙根吸收”等,增强观众信任。
注意事项与常见误区
- 饮食禁忌:传统矫正期间避免 sticky 食物(如口香糖、年糕),隐形矫正需摘下牙套进食,避免染色(如咖啡、酱油);
- 口腔卫生:传统矫正需使用正畸牙刷、冲牙器,清除托槽周围食物残渣,预防龋齿;
- 误区澄清:“地包天矫正必须拔牙”(轻度可不拔)、“成人矫正效果差”(成人矫正同样有效,但周期可能更长);
- 风险提示:可能出现牙齿酸痛、口腔溃疡(托槽摩擦),需及时复诊调整。
地包天矫正视频的实用价值
这类视频不仅是科普工具,更是患者与医生的“沟通桥梁”:患者可通过视频提前了解矫正流程,减少对未知的恐惧;对儿童患者,动画形式的视频能帮助理解“为什么要戴小牙套”,提升配合度;对成人患者,真实案例能增强矫正信心,明确预期效果。
相关问答FAQs
Q1:地包天矫正视频能直接指导自己在家矫正吗?
A1:不能,矫正视频是科普参考,无法替代专业面诊,地包天成因复杂(牙性/骨性/功能性),需医生通过X光片、模型等制定个性化方案,自行佩戴矫正器可能导致牙齿移动异常、牙根吸收甚至咬合紊乱,必须由医生全程监控调整。
Q2:矫正视频中案例效果那么好,所有人都能达到吗?
A2:因人而异,矫正效果取决于反颌类型、严重程度、患者配合度(如是否按时复诊、保持器佩戴情况)及医生技术,轻度牙性反颌矫正后效果显著,但严重骨性反颌需手术辅助,且术后恢复效果受个体骨条件影响,视频案例多为典型成功案例,实际效果需以医生面诊评估为准。

