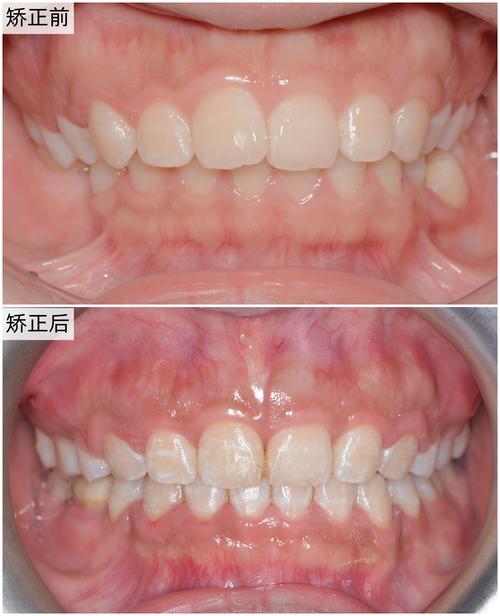
牙齿矫正不仅是改善美观的方式,更是维护口腔健康的重要手段,良好的咬合关系能提升咀嚼效率、预防牙周疾病,甚至对发音和面部轮廓都有积极影响,黄岛开发区作为青岛西海岸新区的核心区域,近年来随着人口增长和居民健康意识的提升,牙齿矫正需求持续攀升,当地已形成涵盖公立医院、专业齿科机构及连锁品牌在内的完善矫正服务网络,为不同年龄段人群提供多样化的解决方案。
在选择矫正服务时,了解当地机构类型及特点至关重要,黄岛开发区的牙齿矫正机构主要分为三类:公立医院口腔科、私立专业齿科诊所及全国连锁品牌分支机构,公立医院如青岛西海岸新区人民医院口腔科,拥有资深医师团队和权威医疗资质,擅长复杂病例(如骨性错颌、牙周病伴发畸形)的矫正,但预约周期较长,服务流程相对标准化;私立专业齿科如黄岛某口腔门诊,则更注重个性化服务和就诊体验,配备数字化设备(如口扫仪、3D方案模拟),能灵活安排复诊时间,价格区间因项目和技术差异较大;连锁品牌如隐适美、时代天使官方授权机构,往往依托成熟的技术体系和标准化管理,在隐形矫正领域具有优势,且常推出分期付款、质保服务等优惠活动,以下为三类机构特点对比:

| 机构类型 | 优势 | 适合人群 | 参考价格范围(元) |
|---|---|---|---|
| 公立医院口腔科 | 权威性强、复杂病例处理经验丰富 | 需解决严重口腔问题、预算有限者 | 8000-30000 |
| 私立专业齿科 | 服务贴心、预约灵活、数字化程度高 | 注重体验、追求个性化方案者 | 10000-50000 |
| 连锁品牌机构 | 技术成熟、隐形矫正资源丰富、售后保障完善 | 偏好隐形矫正、信任品牌体系者 | 15000-60000 |
矫正方式的选择需结合个人口腔状况、美观需求及预算,目前主流技术包括传统金属托槽矫正、陶瓷半隐形矫正、隐形矫正及舌侧矫正,传统金属托槽性价比高,适用范围广,但美观性较差;陶瓷托槽接近牙齿颜色,兼顾美观与强度,适合对美观有一定要求者;隐形矫正(如隐适美、时代天使)可自行摘戴,方便清洁,几乎不影响社交,尤其受成年人和青少年欢迎,但对患者依从性要求高;舌侧矫正完全隐藏于牙齿内侧,美观性最佳,但技术难度大、费用高,且初期适应期较长,黄岛开发区多家机构已开展数字化矫正流程,通过口内扫描获取牙齿数据,3D模拟矫正效果,让患者在治疗前直观了解最终成果,提升了矫正的精准度和满意度。
选择矫正机构和医生时,需重点关注资质与经验,正规医师应具备执业医师资格证及正畸专科培训背景,可查看医生的案例库,重点关注与自己情况相似的矫正效果;机构消毒流程是否规范、设备是否齐全(如X光机、全景机、数字化口扫设备)也是重要考量因素,矫正周期通常为1-3年,期间需每4-6周复诊调整,患者需保持良好的口腔卫生,避免食用过硬、黏性食物,并严格遵循医嘱佩戴矫治器,矫正结束后,必须佩戴保持器,防止牙齿复发移位,这是保证矫正效果长期稳定的关键。
相关问答FAQs
Q1:成年人牙齿矫正会不会太晚?有哪些注意事项?
A1:成年人矫正没有绝对年龄限制,只要牙周健康(无严重骨吸收、牙周炎处于稳定期),即可进行矫正,成年人与青少年矫正的主要区别在于:成年人的骨骼发育已完成,对于严重的骨性畸形可能需要结合正颌手术;矫正周期可能稍长(因牙槽骨改建速度较慢),注意事项包括:矫正前需进行全面的牙周检查和治疗,确保牙周健康;选择适合成年人的矫正方式(如隐形矫正、舌侧矫正,兼顾美观与便捷);严格保持口腔卫生,避免矫正过程中出现龋坏或牙周问题;与医生充分沟通,明确矫正目标及可能的风险。

Q2:牙齿矫正过程中会疼吗?如何缓解不适?
A2:矫正过程中可能会出现短暂的不适,但通常在可承受范围内,初戴矫治器(如托槽、牙套)后的3-5天,牙齿会有酸胀、疼痛感,咀嚼时明显,这是因为牙齿在受力移动,属于正常生理反应,之后每次复诊调整后,可能出现1-2天的轻微疼痛,缓解方法包括:避免食用过硬、黏性食物,减少牙齿咀嚼负担;可遵医嘱服用非处方止痛药(如布洛芬);采用温盐水漱口,缓解牙龈不适;选择柔软的食物(如粥、面条、蒸蛋),细嚼慢咽,通常3-5天后疼痛会逐渐减轻,若持续剧烈疼痛或出现口腔溃疡,需及时复诊调整。
