牙齿矫正前后对比的图片,直观展现了牙齿排列与口腔健康的显著改善,不仅关乎美观,更直接影响咀嚼功能、牙周健康乃至面部轮廓,通过真实案例的视觉呈现,能帮助人们更清晰地了解矫正的价值与效果。
矫正前常见的牙齿问题表现
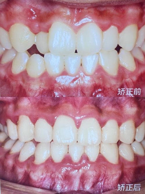
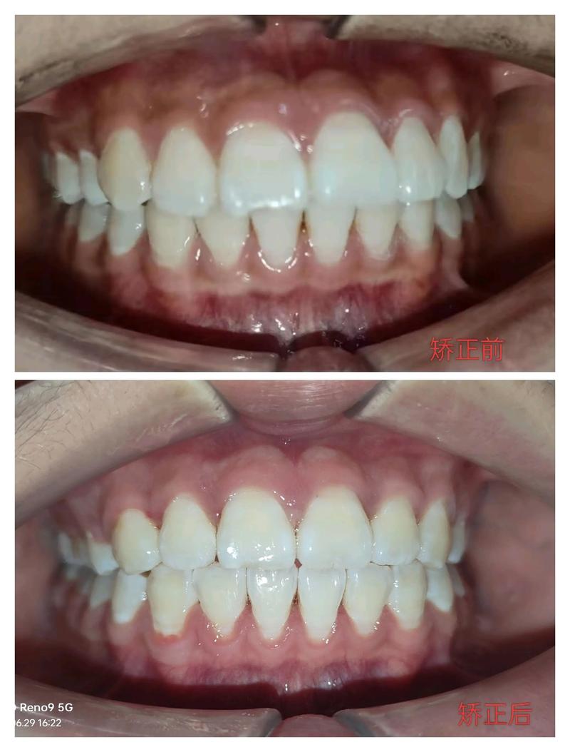
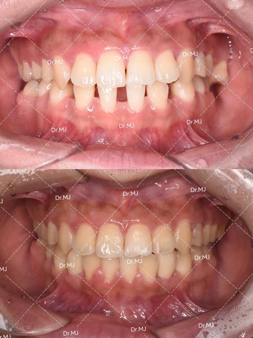
在矫正前的图片中,牙齿问题往往呈现出多样化的特征:最常见的牙齿拥挤,表现为牙齿排列不齐、相互重叠,甚至出现“扭转牙”,不仅影响清洁,还容易导致食物嵌塞、龋齿;其次是龅牙(上颌前突),牙齿或牙槽骨向前突出,导致嘴唇无法自然闭合,侧面看面部轮廓凸出;地包天(反颌)则表现为下前牙覆盖上前牙,下巴明显前伸,不仅影响咬合,还可能伴随颞下颌关节紊乱;牙缝过大(牙列稀疏)则让牙齿之间出现明显间隙,影响美观和发音;还有深覆合(上牙覆盖下牙过多)、深覆盖(上牙过度超前)等问题,这些问题不仅降低颜值,更可能导致咀嚼效率下降、牙周负担加重,甚至引发消化系统问题。

以典型龅牙案例为例,矫正前的图片中可见患者上颌前牙严重倾斜,嘴唇因牙齿支撑不足而显得外凸,微笑时露出的牙齿过多且不整齐,侧面轮廓线条僵硬;而地包天患者的矫正前图片则清晰展示下牙包住上牙,咬合时上下牙无法正常接触,下巴代偿性前伸,面部比例失衡,这些细节通过图片被真实记录,成为矫正需求最直观的证明。
矫正后牙齿与面部的核心变化
矫正后的图片对比,最显著的变化体现在牙齿排列的整齐度上:原本拥挤的牙齿通过托槽或隐形牙套的牵引,逐渐移动到理想位置,牙列变得整齐有序,牙弓形态恢复正常;龅牙患者的前牙内收后,嘴唇不再前突,侧面轮廓线条变得柔和流畅;地包天患者的上下牙关系调整至正常,下巴回缩,面部比例协调;牙缝过大的问题则通过集中间隙或修复关闭,牙齿间紧密贴合,笑容更自信。
除了美观,咬合功能的改善同样突出:矫正后的图片中,上下牙齿的咬合接触点分布均匀,前牙切割、后牙研磨的功能恢复,咀嚼效率显著提升;原本因咬合异常导致的颞下颌关节疼痛、张口受限等症状也随之缓解,口腔健康的提升也是重要变化,整齐的牙齿消除了清洁死角,龋齿、牙周炎的发病风险降低,牙龈状态更红润健康。
以一位深覆合患者为例,矫正前图片显示上牙几乎完全覆盖下牙,下牙咬合时无法接触到上牙舌侧,导致下前牙磨损严重;矫正后,上下牙垂直距离恢复正常,下前牙得到保护,咬合时力量分布均匀,面部中下部的饱满度也得到改善。

不同矫正方式的效果差异
矫正前后的图片对比效果,也因矫正方式的选择而略有不同,但最终目标一致,传统金属托槽矫正通过弓丝与托槽的配合,对复杂错颌畸形(如严重拥挤、骨性问题)的矫正效果显著,图片中可见牙齿移动轨迹清晰,最终排列整齐;陶瓷托槽因托槽颜色与牙齿接近,美观度更高,矫正后的图片中几乎看不到明显的矫正装置;隐形矫正则通过透明牙套逐步调整牙齿,矫正前后的对比图显示牙齿移动过程自然,且可自行摘戴,不影响日常生活,尤其适合对美观要求高的患者。
值得注意的是,矫正效果的持久性取决于术后保持,矫正后的图片中,佩戴保持器的牙齿能长期维持理想状态,而未坚持佩戴保持器则可能导致牙齿复发,这也是为什么矫正后的维护同样关键。
不同牙齿问题的矫正前后改善总结
为更直观展示矫正效果,以下通过表格总结常见牙齿问题的矫正前后变化:
| 问题类型 | 矫正前表现 | 矫正后效果 | 涉及区域 |
|---|---|---|---|
| 牙齿拥挤 | 牙齿重叠、扭转,清洁困难 | 牙齿排列整齐,牙弓形态正常 | 全牙列 |
| 龅牙(上颌前突) | 上牙前突,嘴唇外凸,侧面轮廓凸出 | 前牙内收,嘴唇自然闭合,侧脸线条柔和 | 上颌前牙、牙槽骨 |
| 地包天(反颌) | 下牙包上牙,下巴前伸,面部比例失衡 | 上下牙正常咬合,下巴回缩,面中协调 | 上下前牙、颌骨 |
| 牙缝过大 | 牙齿间有明显间隙,影响美观 | 间隙关闭,牙齿紧密贴合 | 全牙列(常见前牙区) |
| 深覆合 | 上牙过度覆盖下牙,下前牙磨损 | 上下牙垂直距离正常,下牙得到保护 | 上下前牙 |
矫正牙齿前后的图片对比,不仅是“颜值”的提升,更是口腔健康与生活质量的改善,从拥挤到整齐、从咬合紊乱到功能正常、从面部比例失衡到轮廓协调,每一张对比图都凝聚着矫正技术与患者的耐心配合,如果你正被牙齿问题困扰,不妨通过专业正畸医生的评估,让矫正前后的对比图成为你自信笑容的新起点。

相关问答FAQs
Q1:矫正前后对比需要多长时间能看到明显效果?
A:矫正效果的显现时间因人而异,主要与牙齿问题的复杂程度、矫正方式及个人体质有关,轻度拥挤或牙缝问题,6-12个月可看到明显改善;中度龅牙、地包天等,通常需要1-2年;复杂骨性问题可能需要更长时间,隐形矫正因可实时监控牙齿移动,患者通常每1-2个月复诊一次,能清晰看到阶段性变化;传统托槽矫正则通过每次调整弓丝,逐步实现牙齿排齐与咬合调整。
Q2:矫正后牙齿会反弹吗?如何保持效果?
A:矫正后存在一定的反弹风险,尤其是若未坚持佩戴保持器或不良习惯(如吐舌、咬唇)未纠正,牙齿稳定通常需要1-2年时间,期间需全天佩戴保持器(吃饭、刷牙时取下),之后可改为夜间佩戴,定期复查(建议每3-6个月一次)能及时发现牙齿细微移动,医生会通过调整保持器确保效果持久,保持器的佩戴是维持矫正效果的关键,需终身重视。
