骨性地包天,在医学上称为骨性反颌,是一种常见的错颌畸形类型,主要表现为下颌骨相对于上颌骨过度前突或上颌骨发育不足,导致在正中咬合时下前牙咬在上前牙唇侧,甚至下前牙完全覆盖上前牙,不仅影响面部美观,还可能对咀嚼功能、口腔健康及心理健康造成一系列不良影响,与牙性反颌(仅牙齿排列异常,骨骼关系正常)不同,骨性地包天的矫正难度更大,往往需要综合性的治疗方案,其核心在于调整颌骨间的位置关系,而不仅仅是排齐牙齿。
骨性地包天的病因与形成机制
骨性地包天的发生是多因素共同作用的结果,可分为先天因素和后天因素两大类,先天因素中,遗传倾向较为明显,若父母或直系亲属存在颌骨发育异常,子女出现骨性地包天的概率显著增加,胚胎时期的环境因素,如母体营养不良、病毒感染、药物影响等,也可能导致颌骨发育畸形,后天因素则更为复杂,包括不良口腔习惯(如长期吮指、咬唇、吐舌、下颌前伸习惯)、儿童期腺样体肥大或慢性鼻炎导致的口呼吸(长期张口呼吸可能改变下颌骨的生长方向)、乳牙早失或滞留造成的恒牙萌出异常,以及外伤或肿瘤等对颌骨发育的干扰。

从骨骼发育角度,骨性地包天主要分为三类:上颌发育不足型(上颌骨前后向、垂直向发育均不足,下颌骨相对正常或略前突)、下颌发育过度型(下颌骨前突或垂直向生长过度,上颌骨发育相对不足)、以及混合型(上下颌骨均存在发育异常,以下颌前突为主),不同类型的骨性地包天,矫正目标和方案也有所差异。
骨性地包天的危害:不止于“不好看”
骨性地包天的危害远超牙齿排列本身,涉及功能、健康及心理多个层面,在口腔功能方面,反颌会导致咬合关系紊乱,咀嚼效率降低,长期可能引发颞下颌关节紊乱病(表现为关节弹响、疼痛、张口受限等);由于前牙无法有效切割食物,患者可能习惯性用磨牙咀嚼,加重牙齿磨耗,在口腔健康方面,反颌牙齿的咬合创伤易导致牙周组织损伤,出现牙龈萎缩、牙槽骨吸收,严重时可能造成牙齿松动;上下牙列咬合异常还可能影响发音,尤其是“s”“z”等齿音的清晰度。
在面部美观与心理层面,骨性地包天患者常呈现“月牙脸”“凹面型”等面型特征,下颌角突出,鼻唇沟加深,不仅影响面部协调性,还可能对患者的自信心造成打击,尤其是青少年患者,容易因外貌差异产生自卑心理,回避社交活动。
骨性地包天矫正的黄金原则:早期干预与综合治疗
骨性地包天的矫正需遵循“早期发现、早期干预、综合治疗”的原则,其方案设计需结合患者的年龄、骨骼发育阶段、畸形类型、严重程度及患者需求制定,以下是不同年龄阶段的矫正策略:

(一)儿童期(3-12岁):抓住生长发育“窗口期”
儿童期是颌骨生长发育的活跃阶段,尤其是替牙期(6-12岁),骨骼改建潜力大,通过功能性矫治器可引导颌骨向正常方向生长,降低后期正畸-正颌联合治疗的风险。
- 乳牙期(3-5岁):若存在明显的反颌及不良习惯(如吐舌、吮指),可采用活动矫治器(如上颌垫矫治器)纠正反颌,破除不良习惯,为恒牙萌出创造空间。
- 替牙期(6-12岁):针对上颌发育不足或下颌前突的反颌,可使用功能矫治器,如FRⅢ矫治器、Twin Block矫治器等,通过刺激上颌骨生长、抑制下颌骨过度前突,改善骨骼关系,此阶段治疗周期通常为6-12个月,效果显著且对颌骨发育影响较大。
(二)青少年期(12-18岁):正畸治疗与生长改良结合
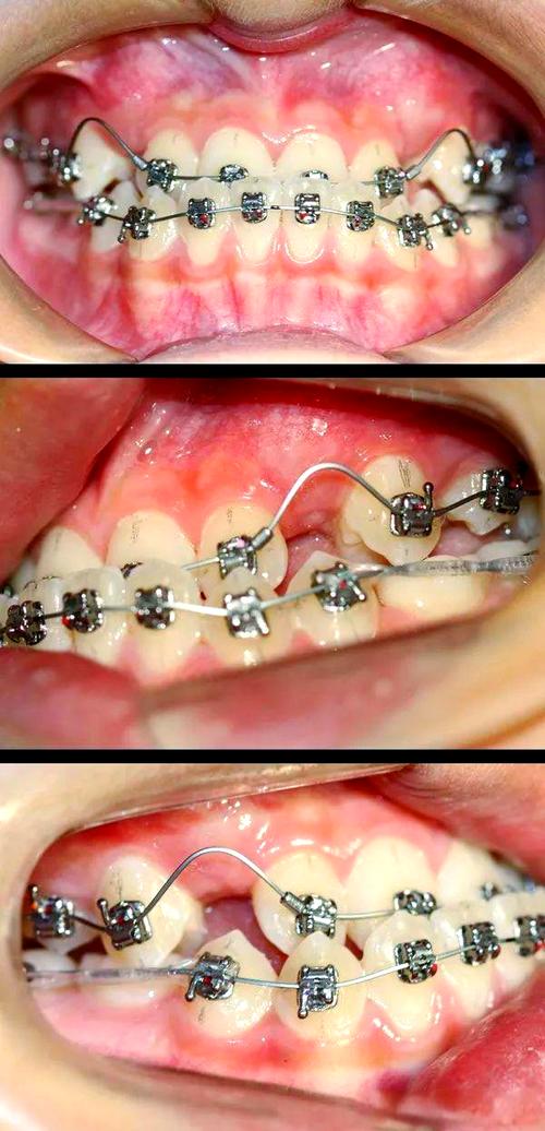
青少年期恒牙列基本萌出,骨骼仍有部分生长潜力(尤其女性在16岁前,男性在18岁前),可在固定矫治器(如传统金属托槽、陶瓷托槽)排齐牙齿的同时,配合生长改良治疗,对于上颌发育不足的患者,可采用上颌前方牵引装置,利用口外力或口内力促进上颌骨向前生长;对于下颌发育过度的患者,可使用头帽颏兜抑制下颌生长,此阶段治疗周期约1.5-2年,需定期调整矫治力,密切监测骨骼变化。
(三)成人期(18岁以上):正畸-正颌联合治疗为主
成人骨骼发育已完成,生长改良治疗无效,对于中重度骨性地包天患者,单纯正畸治疗仅能有限改善牙齿关系,无法纠正骨骼畸形,此时需采用“正畸-正颌联合治疗”:先通过正畸治疗排齐牙齿、调整咬合关系,为手术创造条件;再通过正颌手术(如上颌Le Fort I型截骨前移术、下颌矢状劈开截骨术后退术等)移动颌骨至正常位置,最后再通过正畸精细调整咬合,确保功能稳定,成人治疗周期较长(通常2-3年),但对面型和咬合的改善效果显著,是重度骨性地包天的主要治疗手段。
不同年龄段骨性地包天矫正方案对比
| 年龄段 | 治疗重点 | 常用矫治器/方法 | 治疗周期 |
|---|---|---|---|
| 乳牙期(3-5岁) | 纠正反颌、破除不良习惯 | 活动矫治器(上颌垫矫治器) | 3-6个月 |
| 替牙期(6-12岁) | 引导颌骨生长、改善骨骼关系 | 功能矫治器(FRⅢ、Twin Block) | 6-12个月 |
| 青少年期(12-18岁) | 正畸排齐+生长改良 | 固定矫治器+前方牵引/头帽颏兜 | 5-2年 |
| 成人期(18岁以上) | 正颌手术矫正骨骼畸形+正畸精细调整 | 正畸治疗+正颌手术(Le Fort I型、下颌劈开术) | 2-3年 |
骨性地包天矫正的流程与注意事项
骨性地包天的矫正是一个系统性的过程,需严格遵循规范流程,以确保治疗效果和安全性。
- 全面检查与诊断:包括口腔检查(牙齿排列、咬合关系、牙周状况)、X线检查(头颅侧位片、曲面断层片、CBCT,用于评估骨骼畸形类型及程度)、模型分析及面型拍摄,明确反颌类型、严重程度及生长发育阶段。
- 方案设计与沟通:根据检查结果,结合患者年龄、需求及治疗预期,制定个性化治疗方案(如单纯正畸、功能矫治或正颌-正畸联合),与患者充分沟通治疗周期、费用、风险及预期效果。
- 治疗实施:按方案佩戴矫治器或接受手术,治疗期间需定期复诊(正畸患者通常4-6周复诊一次,正颌患者术后需密切随访),医生根据进展调整矫治力或手术方案。
- 保持与复发预防:治疗结束后需佩戴保持器(如 Hawley保持器、固定保持器),成人正颌患者可能需长期佩戴保持器,避免骨骼及牙齿复发,需纠正不良口腔习惯,定期进行口腔检查和维护。
值得注意的是,骨性地包天矫正并非“一劳永逸”,治疗后仍需注意保持口腔卫生,避免咬硬物等可能影响矫治效果的行为,并定期复查,及时发现和处理潜在问题。
相关问答FAQs
Q1:骨性地包天矫正的最佳年龄是什么时候?是否越早越好?
A:骨性地包天矫正的最佳年龄需根据畸形类型和骨骼发育阶段判断:乳牙期(3-5岁)若出现反颌且伴随不良习惯,可早期干预,纠正习惯并引导颌骨发育;替牙期(6-12岁)是生长改良的黄金时期,通过功能矫治器可有效改善骨骼关系;青少年期(12-18岁)可结合正畸与生长改良治疗;成人期(18岁以上)则需依赖正畸-正颌联合手术,并非“越早越好”,乳牙期反颌若为暂时性(如替牙期正常萌出则无需治疗),但若存在骨骼畸形或不良习惯,应尽早干预,避免畸形加重。
Q2:骨性地包天矫正一定要手术吗?正畸治疗能解决所有问题吗?
A:并非所有骨性地包天都需要手术,轻度骨性地包天(尤其是青少年患者),通过早期功能矫治或正畸治疗配合生长改良,可有效改善骨骼关系和牙齿咬合,无需手术;中重度骨性地包天(如下颌前突明显、上颌严重发育不足),成人患者骨骼已定型,单纯正畸治疗仅能排齐牙齿,无法纠正骨骼畸形,需通过正颌手术才能实现面型和功能的根本改善,是否需要手术需根据专业医生的检查结果(骨骼畸形程度、生长发育状态等)综合判断,不能一概而论。
