成年后是否可以进行牙齿矫正,是许多成年人关心的问题,牙齿矫正并非青少年的“专利”,成年人的牙齿同样可以通过科学方法进行排列和咬合关系的改善,只是与青少年矫正相比,成年人的治疗过程和考量因素有所不同。
成年后牙齿矫正的可行性主要基于牙齿移动的生物学原理,牙齿周围的牙槽骨具有终生改建能力,无论年龄大小,只要施加持续、轻柔的力,牙齿都能在牙槽骨中缓慢移动,成年人的口腔环境往往更复杂,可能伴随牙周炎、牙齿缺失、牙体缺损、颞下颌关节紊乱等问题,这些因素需要在矫正前进行全面评估和处理,存在牙周炎的患者需先进行牙周治疗,待炎症控制后再开始矫正;牙齿缺失者可能需要结合种植修复或修复治疗,以获得更好的功能和美观效果。

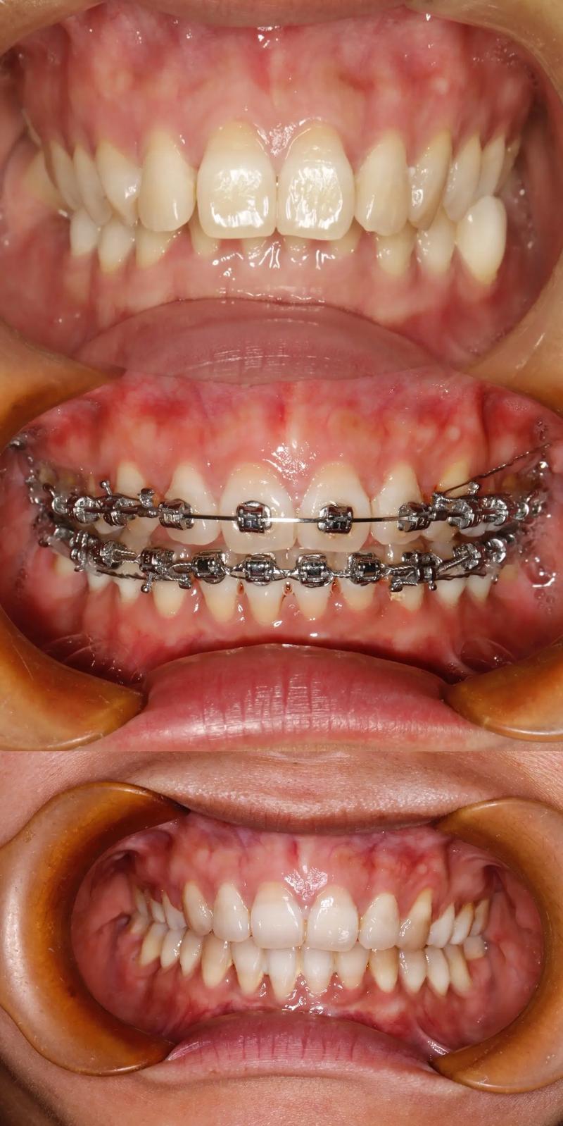
成年人矫正的动机通常更明确,既包括改善美观(如解决牙齿拥挤、龋牙、牙缝过大等问题),也包括功能需求(如纠正咬合紊乱、改善发音、缓解颞下颌关节不适),随着社会发展,成年人对口腔健康和生活质量的重视程度提高,隐形矫正、舌侧矫正等美观性强的矫正方式也使得成年人矫正的接受度大幅提升。
成年人牙齿矫正的方式多样,可根据口腔状况、美观需求和经济预算选择,不同矫正方式的特点如下表所示:
| 矫正方式 | 美观度 | 舒适度 | 价格区间(元) | 清洁难度 | 适合人群 |
|---|---|---|---|---|---|
| 传统金属托槽 | 低 | 一般 | 8000-20000 | 较难 | 预算有限、对美观要求不高者 |
| 陶瓷托槽 | 中等 | 一般 | 15000-25000 | 较难 | 对美观有一定要求者 |
| 舌侧矫正 | 高 | 较低 | 40000-80000 | 极难 | 对美观要求极高、预算充足者 |
| 隐形矫正 | 高 | 高 | 25000-50000 | 容易 | 注重美观、舒适,依从性好者 |
| 自锁托槽 | 中等 | 较高 | 18000-30000 | 较难 | 追求矫正效率、缩短周期者 |
矫正前需进行全面检查,包括口腔全景片、头颅侧位片、CBCT(必要时)、牙周状况评估等,医生会根据检查结果制定个性化方案,治疗过程中,成年人需配合医生定期复诊(一般4-6周一次),以便调整矫正力度和方向,矫正期间,口腔卫生维护尤为重要,因托槽和牙套易堆积食物残渣,需使用正畸牙刷、牙线、冲牙器等工具清洁,预防龋齿和牙周炎。
矫正结束后,进入保持阶段,这是防止牙齿反弹的关键,通常需佩戴保持器2年以上,前期全天佩戴,后期过渡至夜间佩戴,部分患者可能需要长期保持,成年人矫正周期相对较长(一般1-3年),治疗过程中需保持耐心,避免因短期内效果不明显而擅自中断治疗。

相关问答FAQs
Q1:成年人矫正会不会很疼?
A:矫正初期(戴牙套后1-3天)和每次复诊调整后1-2天,牙齿可能出现轻微酸胀感,属于正常生理反应,通常3-5天可缓解,若疼痛剧烈或持续加重,需及时就医排查异常情况,可通过温盐水漱口、避免咀嚼过硬食物等方式缓解不适。
Q2:矫正后牙齿会反弹吗?如何预防?
A:牙齿反弹主要与保持器佩戴和不良习惯有关,矫正结束后必须严格佩戴保持器,初期建议全天佩戴(除进食、刷牙外),6个月后过渡至夜间佩戴,至少持续2年,之后建议长期夜间佩戴,需避免咬唇、吐舌、咬硬物等不良习惯,并定期复查(每6个月1次),以便医生及时调整保持方案,最大程度降低反弹风险。

