石家庄矫正牙齿贴吧作为本地化口腔矫正经验交流的重要平台,聚集了大量正在矫正或已完成矫正的本地市民、口腔从业者以及相关从业者,这里汇集了真实的就诊案例、医院医生评价、价格参考以及矫正过程中的避坑指南,为石家庄地区有牙齿矫正需求的人群提供了丰富的第一手信息,无论是面对复杂的牙齿问题还是纠结于矫正方式的选择,贴吧里的讨论都能帮助用户更全面地了解本地矫正市场,做出更适合自己的决策。
贴吧里的信息类型多样,主要分为几大类:一是经验分享帖,用户会详细记录从咨询、选择医院到矫正结束的全过程,包括费用、时间、医生沟通细节、矫正效果对比等;二是问答求助帖,新手提出关于矫正方式、医院选择、疼痛管理、保持器佩戴等问题,有经验的热心网友或从业者解答;三是医院医生评价帖,针对石家庄本地口腔医院(如河北省口腔医院、石家庄市第一人民医院口腔科、瑞尔齿科、贝齿口腔等)的医生技术、服务态度、环境设施、收费标准进行真实反馈;四是科普知识帖,普及矫正原理、不同矫正方式的适应症、矫正期间的饮食注意事项等专业知识,这些信息类型相互补充,形成了从“初步了解”到“对比选择”再到“执行矫正”的完整参考链条,尤其对于对石家庄本地矫正市场不熟悉的用户来说,贴吧的“接地气”讨论比官方广告更具参考价值。

贴吧信息虽丰富,但也存在广告软文、片面评价甚至不实内容,用户需具备辨别能力,看发帖人历史记录,长期活跃、分享多案例(如不同阶段的复诊照片、费用明细)的用户可信度更高,而刚注册、仅发单条推荐某医院或医生的账号可能是广告,交叉验证信息,同一医院或医生的评价若来自多个不同用户,且细节一致(如医生姓王、方案提到拔4颗第一前磨牙、费用2万左右),可信度较高;若评价差异大(如有人夸“效果神速”,有人吐槽“排期半年”),需进一步了解具体原因(如病例复杂度不同、服务环节差异),要区分“广告”与“真实反馈”,广告通常会过度强调“低价促销”“7天快速矫正”,而真实反馈会提及具体细节(如医生如何调整方案、复诊是否等待久、助理服务是否贴心等),甚至客观说明矫正中的不适感(如初期疼痛、口腔溃疡),这类内容更有参考价值,涉及医疗建议时,需结合正规口腔医院的官方信息或咨询专业医生,避免仅依赖贴吧信息做决定,毕竟牙齿矫正是医疗行为,专业性和安全性是第一位的。
在石家庄矫正牙齿,选择合适的医院和医生是关键,而贴吧里关于这两者的讨论最为集中,从医院类型来看,主要分为公立医院和私立口腔机构,两者各有优劣:
公立医院:如河北省口腔医院(河北医科大学口腔医院)、石家庄市第一人民医院口腔科等,优势在于权威性强、医生资质有保障(多为高校附属医院教授或副主任医师以上)、收费透明(按河北省医疗收费标准执行),适合牙齿问题复杂(如骨性畸形、需要正颌联合治疗)或对医生资历要求高的用户,但缺点也很明显:预约难(尤其是知名专家号可能排队数月)、复诊等待时间长(每次复诊可能需等待1-2小时)、服务相对流程化(沟通时间较短),且部分公立医院的环境设施可能不如私立机构现代化。
私立口腔机构:如瑞尔齿科、贝齿口腔、美奥口腔等连锁品牌,以及本地本土私立诊所,优势在于服务灵活(可预约周末、晚间复诊)、环境舒适、沟通细致(咨询师和医生会详细解释方案,甚至提供3D效果模拟),适合对服务体验要求高、工作繁忙或牙齿问题相对简单的用户,但需注意:私立机构价格差异大,部分机构可能存在过度推销(如推荐高价隐形矫正)、医生资质参差不齐(需核实医生是否为正规院校正畸专业毕业、是否有足够案例经验)等问题,建议选择连锁品牌或本地口碑较好的老牌机构,并提前查看医生执业证书和矫正案例。

矫正费用是石家庄用户在贴吧里最常咨询的问题之一,费用受矫正方式、医院类型、牙齿复杂度等因素影响,差异较大,以下是石家庄地区主流矫正方式的大致参考价格(单位:万元):
| 矫正方式 | 公立医院参考价格 | 私立机构参考价格 | 特点 |
|---|---|---|---|
| 传统金属托槽 | 2-2.0 | 5-2.5 | 性价比高,技术成熟,但美观性差,易刮嘴口腔溃疡。 |
| 自锁金属托槽 | 0-3.0 | 5-3.5 | 复诊间隔长(6-8周),疼痛感轻,矫正效率高,价格比传统金属高。 |
| 陶瓷半隐形托槽 | 5-3.5 | 0-4.0 | 托槽为透明陶瓷,美观性较好,但比金属托槽贵,且易染色(需避免咖啡、茶)。 |
| 隐形牙套(国产) | 0-4.5 | 5-5.0 | 如时代天使、正雅,美观舒适,可自行摘戴,但价格较高,需自律佩戴。 |
| 隐形牙套(进口) | 0-6.0 | 5-7.0 | 如隐适美,材质更优,适应症更广,但价格最高,适合预算充足且追求美观的用户。 |
| 舌侧矫正 | 0-8.0 | 0-10.0 | 托槽粘在牙齿内侧,完全隐形,但技术要求高,价格昂贵,清洁难度大。 |
需要注意的是,以上价格仅为参考,实际费用可能因牙齿复杂度(如是否需要拔牙、骨钉辅助)、是否包含拔牙费、保持器费用(部分医院隐形矫正已含保持器,部分需另购)等因素浮动,贴吧里常有用户分享“砍价”经验,如私立机构在节假日可能有促销活动,或多人团购可享折扣,但需警惕“低价陷阱”,过低的价格可能意味着材料不合格或医生经验不足。
矫正方式的选择需结合牙齿情况、美观需求、预算和自律性,贴吧里常见讨论点包括:传统金属托槽适合学生党或预算有限者,但需接受“钢牙”外观;自锁金属适合对疼痛敏感、复诊不便的用户;隐形牙套适合职场人士、对美观要求高者,但需保证每天佩戴20小时以上,且需定期更换牙套,复诊频率为4-6周一次;舌侧矫正适合追求极致美观且预算充足的用户,但初期发音可能受影响,适应期较长,建议在贴吧了解不同方式的优缺点后,到正规医院拍片检查(如全景片、头侧片、CBCT),由医生制定个性化方案,不要盲目跟风选择网红矫正方式。
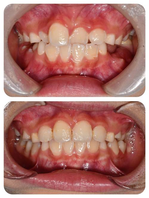
贴吧里还有大量用户分享“矫正日记”,这些真实案例对新手极具参考价值,一位网友提到,她在石家庄某私立机构选择陶瓷半隐形矫正,总费用3.2万元(含拔牙2颗和保持器),矫正周期2年,初期1个月口腔溃疡频繁,后来医生给打了蜡缓解,现在牙齿排齐,侧脸线条改善明显,但提醒“一定要选有经验的医生,方案设计不合理可能导致牙根吸收”,另一位用户在省口腔医院做自锁金属矫正,费用2.1万元,虽然排号等了3个月,但医生每次复诊都会详细解释调整原因,矫正效果超出预期,建议“复杂病例优先考虑公立医院,医生经验更丰富”,这些案例不仅包含“成功经验”,也有“避坑提醒”,如“不要贪便宜去小诊所,消毒不到位可能导致感染”“矫正后一定要戴保持器,否则容易复发”等,都是新手需要注意的关键点。

提醒石家庄准备矫正牙齿的用户:贴吧是参考工具,但不能替代专业医疗,选择医院时,务必查看《医疗机构执业许可证》,医生需具备《医师执业证书》及正畸专业培训经历;矫正前充分沟通,确认方案(包括拔牙、骨钉使用、矫正周期等)并书面留存;矫正期间注意口腔卫生,佩戴牙套时使用正畸牙刷、冲牙器,避免食物残留导致龋齿;保持器是矫正成功的关键,需按医生要求佩戴(通常夜间佩戴至少2年),定期复查,理性看待贴吧信息,结合自身情况多方对比,才能让矫正之路更顺利。
FAQs
-
石家庄矫正牙齿贴吧里推荐的医院都靠谱吗?需要全部实地考察吗?
答:贴吧推荐需结合资质和口碑筛选,并非所有推荐都靠谱,建议优先选择公立医院(如省口腔医院)或连锁私立品牌(如瑞尔、美奥),这些机构资质有保障,对于贴吧里提到的本地小诊所,需核实其《医疗机构执业证书》和医生执业信息,再决定是否实地考察,实地考察时,重点看医院环境是否干净、消毒流程是否规范、医生是否能详细解释方案,避免仅凭贴吧推荐盲目选择。 -
矫正牙齿期间,贴吧里能获得哪些实用的护理建议?
答:贴吧里有大量用户分享矫正期间的护理经验,如初期疼痛缓解(可 orthodontic wax 覆盖托槽、吃软食)、口腔溃疡处理(使用溃疡贴、含西瓜霜)、清洁技巧(正畸牙刷+牙线+冲牙器组合,避免食物残留)、饮食禁忌(避免过硬、黏性食物,如坚果、口香糖)等,还有关于保持器佩戴(如“吃完东西立刻刷保持器”“用冷水浸泡避免变形”)、复诊注意事项(如“复诊前刷干净牙齿,方便医生检查”)的建议,这些来自真实用户的经验能帮助新手少走弯路,但仍需以医生指导为准。
