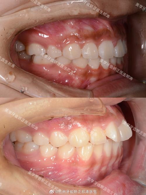
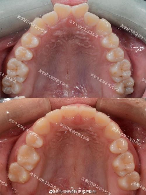
成都隐适美牙齿矫正作为近年来备受关注的口腔正畸方式,凭借其隐形、舒适、便捷的特点,成为越来越多成都市民改善牙齿问题的选择,隐适美采用高分子材料制成的透明矫治器,通过3D数字化技术精准设计牙齿移动路径,既能有效矫正牙齿排列不齐、牙缝过大、龅牙等问题,又能在矫正过程中几乎不影响正常社交,尤其适合对美观有较高要求的成人及青少年。
在成都,隐适美矫正的技术成熟度和服务体验均处于全国前列,多家正规口腔医院及连锁机构配备了先进的口内扫描设备,可替代传统取模的 discomfort 感,通过扫描获取牙齿数据后,医生能在系统中模拟出矫正全过程及最终效果,患者可提前预见牙齿变化,成都的隐适美认证医生团队经验丰富,能结合东方人面部骨骼特点及个人需求制定个性化方案,例如针对“成都人常见的牙列拥挤伴轻度前突”问题,医生会优先考虑通过扩弓、邻面去釉等非拔牙方式实现矫正,减少创伤。

矫正流程方面,成都隐适美矫正通常分为五个阶段:初诊检查(含口腔拍片、牙周评估)、方案设计(3D动画演示效果)、矫治器制作(2-3周交付)、佩戴调整(每副矫治器戴1-2周,4-6周复诊一次)、保持器佩戴(矫正结束后全天佩戴3个月,后夜间佩戴至少2年),整个过程平均耗时12-18个月,具体时间取决于牙齿错颌复杂程度。
价格是患者关注的重点,成都隐适美矫正费用因方案难度、医生资质及机构定位而异,大致在3万-8万元不等,基础牙列不齐矫正约3万-5万元,涉及拔牙、骨钉辅助的复杂案例可能达6万-8万元,部分机构会推出分期付款服务,减轻经济压力,同时建议选择有隐适美官方授权的机构,确保矫治器质量及售后服务。
与传统矫正方式相比,隐适美的优势显著,通过以下表格可直观看出:
| 对比维度 | 隐适美矫正 | 传统钢牙矫正 | 陶瓷托槽矫正 |
|---|---|---|---|
| 美观度 | 透明隐形,几乎不可见 | 金属托槽明显 | 陶瓷托槽半透明,较隐蔽 |
| 舒适度 | 无托槽边缘,光滑不磨嘴 | 托槽可能刮伤口腔,异物感强 | 较钢牙舒适,但仍存在异物感 |
| 清洁难度 | 可摘戴,清洁方便 | 需特殊工具,清洁难度大 | 较钢牙易清洁,但仍受限 |
| 饮食限制 | 无需忌口,可摘下进食 | 避免硬黏食物 | 避免硬黏食物 |
| 复诊频率 | 4-6周一次 | 3-4周一次 | 3-4周一次 |
| 适应症 | 轻中度错颌,部分复杂病例 | 各类错颌,适用范围广 | 各类错颌,美观度优于钢牙 |
需要注意的是,隐适美矫正并非“人人适用”,严重的骨性错颌、牙齿过度倾斜等问题可能需要结合传统矫正或正颌手术,矫正期间需严格遵循医嘱,每天佩戴矫治器20-22小时,避免用牙齿啃咬硬物(如坚果、螃蟹腿),以防矫治器损坏或影响牙齿移动进度,保持良好的口腔卫生习惯,饭后刷牙或使用冲牙器,避免食物残渣残留导致龋齿或牙周炎。

相关问答FAQs
Q1:隐适美矫正需要拔牙吗?什么情况下需要拔牙?
A1:是否拔牙需根据牙齿拥挤程度、颌骨空间及面部美学综合判断,若存在中重度牙列拥挤(上/下牙列拥挤量超过8mm)、牙齿严重前突(影响嘴唇闭合)或牙弓狭窄,医生可能会建议拔除1-4颗前磨牙,为牙齿移动提供足够空间,但成都部分医生会优先尝试非拔牙方案(如扩弓、邻面去釉),具体需通过3D模拟评估后确定。
Q2:矫正过程中矫治器脱落了怎么办?会影响效果吗?
A2:若矫治器不慎脱落(如咬硬物导致),应立即保存好脱落部件,并尽快联系医生复诊,一般情况下,若脱落时间不超过2天,可继续佩戴当前矫治器;若超过2天,需医生检查牙齿是否发生移位,必要时调整后续方案,频繁脱落可能延长矫正时间,因此需避免啃咬硬物、用牙开瓶盖等行为。

