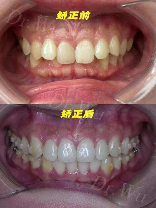
隐形矫正牙齿作为一种现代正畸技术,近年来受到越来越多人的关注,其核心是通过一系列透明、可摘戴的矫治器逐步调整牙齿位置,达到排列整齐、改善咬合的目的,隐形矫正牙齿到底有没有用?这个问题需要从矫正效果、适用范围、优势局限以及实际注意事项等多个维度综合分析,才能得出客观结论。
隐形矫正牙齿的“有用性”体现在哪些方面?
隐形矫正的“有用性”并非绝对,而是针对特定牙齿问题,在专业操作下能够达到与传统矫正相当的改善效果,同时在美观、舒适度等维度具有独特优势,其核心价值可归纳为以下四点:

解决牙齿排列问题,提升口腔功能
牙齿排列不齐(如拥挤、稀疏、扭转)和咬合异常(如深覆合、深覆盖、反颌“地包天”、开颌等)不仅影响美观,还可能导致清洁困难、龋齿、牙周病、咀嚼效率下降、颞下颌关节紊乱等问题,隐形矫正通过计算机辅助设计,精准规划牙齿移动路径,每副矫治器施加持续轻力,逐步将牙齿移动到理想位置,对于轻度到中度的拥挤,可通过扩大牙弓、邻面去釉等方式创造空间;对于深覆合,可通过压低上前牙或伸长下后牙调整咬合关系,最终实现牙齿排列整齐、咬合稳定,从根本上改善口腔功能。
美观优势显著,满足社交需求
传统金属托槽矫正因“钢牙”外观,常让成年人(尤其是对形象要求高的群体)望而却步,隐形矫正的矫治器由医用高分子材料制成,透明如牙套,佩戴后不易被察觉,被称为“隐形”矫正,这一特点使其在职场社交、重要场合中不会暴露矫正痕迹,极大降低了患者的心理负担,尤其适合教师、演员、销售等需要频繁与人交流的职业,以及青少年对“戴牙套”的抵触情绪。
舒适度与便捷性优于传统矫正
传统矫正的托槽和钢丝可能摩擦口腔黏膜,导致溃疡、疼痛,且钢丝调整时可能产生明显酸胀感,隐形矫正的矫治器边缘光滑,无尖锐部件,对口腔黏膜的刺激较小;且每副矫治器的力值经过精确计算,移动牙齿更柔和,适应期疼痛感通常较轻,矫治器可自行摘戴,避免了传统矫正中饮食受限的问题(如坚果、硬糖等),日常刷牙、漱口时可直接取下,更容易清洁牙齿,降低龋齿和牙周炎风险。
可预测性强,数字化方案提升精准度
隐形矫正依托3D数字化技术,在矫正前即可通过口扫或取模获取牙齿数据,在计算机上模拟整个矫正过程,生成动态方案,患者可提前看到矫正后的效果,与医生共同调整方案,确保结果符合预期,医生也能通过数字化模型精准计算牙齿移动量、控制矫正节奏,减少传统矫正中因经验不足导致的偏差,提升矫正效率和安全性。

隐形矫正并非“万能”,适用人群需明确
尽管隐形矫正优势显著,但并非所有牙齿问题都适用,其效果与牙齿畸形程度、患者依从性、医生技术密切相关,以下通过表格清晰展示适用与不适用人群:
| 类别 | 具体情况 |
|---|---|
| 适用人群 | 轻度到中度牙齿拥挤、稀疏(需通过少量去釉或扩展牙弓解决); 个别牙齿扭转、移位; 轻中度深覆合、深覆盖(“龅牙”); 轻度反颌(“地包天”,仅限牙性反颌,非骨性); 牙齿散在间隙; 成年人及12岁以上青少年(颌骨发育基本完成)。 |
| 不适用或慎用人群 | 严重骨性错颌畸形(如严重的Ⅲ类反颌、开颌,需正颌手术配合); 牙齿移动范围过大(如需要大量拔牙的复杂病例); 口腔卫生极差(易导致矫治器下龋齿或牙龈炎); 有严重夜磨牙或咬合习惯(可能损坏矫治器); 多颗牙齿缺失(需先修复缺失牙)。 |
隐形矫正的局限性:需理性看待
- 对复杂病例效果有限:对于需要大量拔牙、严重扭转、骨性畸形等问题,隐形矫正的力值控制可能不如传统矫正精准,需结合传统托槽或正颌手术,否则效果可能不理想。
- 价格较高:隐形矫正的费用通常比传统矫正高30%-50%,因涉及数字化设计、多副矫治器定制等成本,需根据经济能力选择。
- 依从性要求严格:每天需佩戴20-22小时,仅吃饭、刷牙时可取下,若佩戴时间不足,牙齿移动缓慢甚至停滞,可能导致矫正周期延长或失败。
- 可能需要辅助治疗:部分病例需在牙齿上粘贴“附件”(小树脂点),帮助矫治器固位;复杂病例可能需配合橡皮筋、种植钉等加强移动效果。
隐形矫正成功的注意事项
- 选择专业机构和医生:隐形矫正方案设计依赖医生经验,需选择有正畸资质、熟悉隐形矫正系统的医生,避免因方案不当导致效果不佳。
- 保持口腔卫生:佩戴矫治器时,食物残易滞留,需每次饭后用软毛牙刷清洁牙齿和矫治器,必要时用牙线清洁邻面,预防龋齿。
- 按时复诊:一般4-6周复诊一次,医生检查牙齿移动情况,更换下一副矫治器,不可擅自延长复诊间隔。
- 佩戴保持器:矫正完成后,牙齿仍可能复发,需严格佩戴保持器(通常全天佩戴3-6个月,之后夜间长期佩戴),巩固效果。
相关问答FAQs
Q1:隐形矫正需要多长时间?和传统矫正相比时间更长还是更短?
A:矫正时间因人而异,一般1.5-3年,取决于牙齿畸形程度、年龄、依从性等,轻度病例(如简单拥挤)可能1-1.5年,复杂病例(如需拔牙、调整咬合)可能2-3年,相比传统矫正,对于简单病例时间相近,复杂病例可能稍长(因隐形矫正的力值相对温和),但数字化方案的可预测性可减少调整时间,整体效率差异不大。
Q2:隐形矫正过程中会疼吗?疼痛感如何?
A:初戴矫治器1-3天会有轻微酸胀感、异物感,类似传统矫正的初期不适,属于牙齿受力后的正常反应,通常3-5天逐渐缓解,每次更换新矫治器时(每1-2周)可能有短暂不适,但整体疼痛感比传统矫正轻,因隐形矫治器材质柔软、力值连续且均匀,对牙齿和牙龈的刺激较小,若疼痛剧烈或持续加重,需及时复诊检查。
综上,隐形矫正牙齿对于轻中度牙性畸形具有明确效果,在美观、舒适、便捷性上优势突出,但并非“万能”,需严格评估适应症,并在专业医生指导下完成,选择时需结合自身牙齿情况、需求和经济能力,理性看待其优势与局限,才能达到理想的矫正效果。
