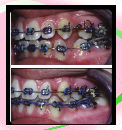
在牙齿矫正的过程中,除了我们常见的托槽和弓丝,还有一种看似小巧却至关重要的工具——小弹簧,它如同矫正系统中的“精密调节器”,通过精准的力学作用,帮助牙齿在牙槽骨中缓慢、安全地移动,最终达到理想的排列和咬合关系,小弹簧的应用贯穿于矫正的多个阶段,无论是关闭拔牙后的间隙、调整牙齿的倾斜角度,还是纠正扭转牙,都离不开它的“助力”,这个小弹簧究竟是如何工作的?有哪些类型?使用时又需要注意呢?
牙齿矫正的核心是“生物力学原理”,即通过持续、轻柔的力,刺激牙槽骨改建——受压侧骨组织吸收,牵引侧骨组织增生,从而使牙齿移动,小弹簧正是这一原理的直接应用工具,它通常由具有良好弹性的金属材料制成,通过自身的形变产生回弹力,这个力会传递给牙齿,推动或拉动牙齿向目标位置移动,与传统的钢丝结扎相比,小弹簧的优势在于“可控性”:医生可以根据患者的牙齿情况,精确调整弹簧的长度、圈数和材质,从而控制力的大小和作用方向,确保牙齿在“舒适区”内移动,避免因力量过大导致牙根吸收、牙齿松动等风险,当需要关闭两颗牙齿之间的间隙时,医生会将螺旋弹簧压缩后放置在托槽之间,弹簧会持续释放推力,逐渐将两侧牙齿向中间靠拢,直至间隙完全关闭。

根据材质、形状和作用方向的不同,矫正中使用的小弹簧主要分为以下几类(具体特点见表1)。
| 类型 | 材质 | 作用方向 | 适用场景 | 特点 |
|---|---|---|---|---|
| 螺旋弹簧 | 镍钛合金/不锈钢 | 推/拉 | 关闭拔牙间隙、调整牙齿位置 | 持续轻力、力量稳定 |
| 推簧 | 不锈钢 | 推 | 扩大牙弓、纠正牙齿舌倾 | 力量较强且可调、耐用 |
| 拉簧 | 镍钛合金 | 拉 | 内收前牙、关闭小间隙 | 弹性好、形变能力强 |
| 镍钛螺旋弹簧 | 镍钛合金 | 推/拉 | 多方向复杂矫治(如扭转牙) | 温度敏感(口腔温度下保持稳定力量) |
镍钛螺旋弹簧因具有“超弹性”和“温度敏感性”(在口腔温度下保持稳定力量)而应用广泛,尤其适合需要持续轻力的场景;而不锈钢推簧则力量更强且可调,适合需要较大推力的间隙关闭或牙弓扩展。
小弹簧的“任务”多样,具体应用场景需根据患者的牙齿问题定制,最常见的“任务”是“关闭拔牙间隙”:比如因牙齿拥挤需要拔除第一前磨牙后,两侧的后牙会向中间移动,此时在拔牙隙内放置压缩的螺旋弹簧,即可持续推动后牙移动,快速关闭间隙,其次是“调整牙齿倾斜度”:若某颗牙齿过于倾斜(如门牙唇倾),医生会用拉簧连接该牙与磨牙,通过持续的拉力使牙齿逐渐直立;反之,若牙齿舌倾,则用推簧向外推动,对于“扭转牙”的矫正,小弹簧也能发挥作用——在扭转牙的远中放置小弹簧,通过侧向推力帮助牙齿旋转至正常位置;对于“深覆合”或“深覆盖”患者,还可利用小弹簧压低或升高特定牙齿,改善咬合关系,值得注意的是,小弹簧的使用需严格遵循医生的设计,“乱用”或“滥用”可能导致牙齿移动方向错误,甚至影响矫正效果。
佩戴小弹簧期间,口腔卫生和日常习惯的维护至关重要。“口腔清洁”要到位:小弹簧容易藏匿食物残渣,若清洁不彻底,易引发龋齿、牙龈炎等问题,建议使用正畸专用牙刷(如小头软毛牙刷)、牙缝刷、冲牙器等,每天至少刷牙三次,尤其注意清洁弹簧周围的托槽和牙龈缘。“避免咬硬物”:小弹簧本身材质较脆,若咬过硬的食物(如坚果、骨头、硬糖),可能导致弹簧变形、断裂甚至脱落,不仅影响矫治效果,还可能误吞或刺伤口腔,饮食建议选择柔软、易咀嚼的食物,如粥、面条、蒸蛋等,食用水果时切成小块。“定期复诊调整”:小弹簧产生的力会随时间衰减(尤其是镍钛弹簧,一般2-4周力量会明显下降),需按时复诊,医生会检查牙齿移动情况,必要时更换或调整弹簧,确保矫治力持续有效。“及时处理异常”:若发现弹簧脱落、变形,或牙齿出现剧烈疼痛、明显松动、口腔溃疡等情况,需立即联系医生,切勿自行处理。

佩戴小弹簧初期,牙齿可能会出现轻微酸胀、疼痛,这是牙齿受到矫治力后的正常反应,通常持续3-5天会逐渐缓解,可遵医嘱服用非处方止痛药(如布洛芬),或用冷敷脸颊缓解肿胀,若疼痛持续加重或伴有咬合困难,需警惕是否因力量过大导致,应及时复诊调整,部分患者可能会因弹簧摩擦口腔黏膜导致溃疡,可使用正畸保护蜡覆盖弹簧的尖锐部位,促进溃疡愈合,若弹簧不慎脱落,需保存好脱落的弹簧,并尽快复诊,医生会评估后重新安装,避免牙齿因失去矫治力而移动停滞。
相关问答FAQs
Q1:小弹簧脱落了怎么办?
A:首先不要惊慌,避免吞脱落的弹簧(通常弹簧体积小,误吞后可通过肠道排出,但若出现呛咳需立即就医),用干净的纸巾或棉签将口腔内的弹簧碎片清理干净,保存好脱落的弹簧,并尽快联系正畸医生,医生会检查脱落原因(如咬硬物、托槽脱落等),评估牙齿当前位置后,重新安装或调整弹簧,确保矫治计划不受影响。
Q2:戴小弹簧期间饮食要注意什么?
A:饮食需以“柔软、易咀嚼、少黏性”为原则,避免咬硬物(如坚果、螃蟹壳、硬糖)、黏性食物(如口香糖、年糕、糯米制品),这些食物可能导致弹簧变形、脱落或托槽损坏,食用带骨、带刺的食物(如鱼、排骨)时需格外小心,建议剔除骨头后再吃,减少频繁进食(尤其是含糖食物),吃完东西后及时漱口或刷牙,防止食物残渣堆积引发口腔问题。

