30多岁矫正牙齿,在如今已经不是新鲜事,随着口腔技术的进步和人们对美的追求提升,越来越多成年人选择在这个年龄段通过矫正改善牙齿问题,有人可能因为小时候没条件,有人是牙齿随年龄出现移位,还有人是为了改善咬合功能或提升自信,但和青少年相比,30多岁的矫正有其特殊性,需要更全面的考量。
30多岁矫正牙齿的特点
成年人的牙齿矫正与青少年最大的不同在于颌骨发育状态,青少年的颌骨还在生长,可以通过矫正引导颌骨发育,而成年人的颌骨已定型,矫正主要是通过移动牙齿来改善排列和咬合,因此对方案设计和医生技术的要求更高,30多岁人群可能伴随一些口腔问题,如牙周炎、牙齿磨耗、牙冠或牙桥修复等,这些都需要在矫正前先进行治疗或评估,否则可能影响矫正效果甚至导致牙齿松动。

从矫正动机来看,30多岁的人往往目的更明确:有的是因为职场形象需求,希望牙齿整齐后更自信;有的是受够了牙齿问题带来的困扰,比如咬合疼痛、清洁困难导致蛀牙等,他们更关注矫正的舒适度、美观性和效率,对隐形矫正、陶瓷托槽等美观度高的矫正方式接受度更高。
矫正前的全面准备
30多岁矫正牙齿,第一步不是直接上牙套,而是进行详细的口腔检查和评估,这包括口腔全景片、头影测量片、CBCT(锥形束CT)等影像学检查,医生会通过这些片子分析牙齿排列、牙根情况、颌骨关系、牙周健康状况以及颞下颌关节状态,如果存在牙周炎,需要先进行牙周治疗,待炎症控制后再开始矫正;如果有蛀牙、牙髓炎等问题,也要先处理。
接下来是方案设计,医生会根据患者的诉求和口腔实际情况,制定个性化的矫正方案,对于牙齿拥挤的患者,可能需要拔除部分牙齿为排齐提供空间;对于有深覆合、深覆盖的患者,可能需要配合咬合板或调整矫正力度,30多岁的患者通常会和医生充分沟通,对美观、周期、费用等有明确要求,因此方案设计需要兼顾功能与美观。
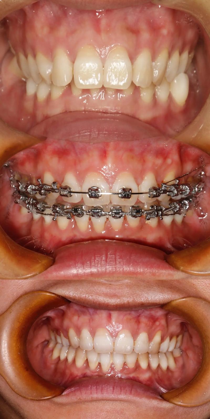
矫正方式的选择也很关键,目前主流的矫正方式包括传统金属托槽、陶瓷托槽、隐形矫正和舌侧矫正,传统金属托槽性价比高,但美观度较差;陶瓷托槽颜色接近牙齿,相对美观,但脆性较大;隐形矫正可以自行摘戴,美观度和舒适度高,但价格较高,对患者的自律性也有要求;舌侧矫正完全隐藏在牙齿内侧,美观度最好,但技术难度大,价格也最高,30多岁的患者更倾向于选择隐形矫正或陶瓷托槽,尤其是对美观要求高的职场人士。

矫正过程中的注意事项
戴上牙套后,30多岁的患者需要比青少年更注重口腔护理,因为成年人口腔环境相对复杂,矫正期间牙齿移动容易导致牙龈红肿、出血,甚至牙周问题,建议使用正畸专用牙刷(如小头牙刷),配合牙缝刷和冲牙器,每天至少刷牙三次,饭后及时清除食物残渣,要避免食用过硬、黏性大的食物,比如坚果、口香糖、牛肉干等,防止托槽脱落或损坏。
复诊频率方面,传统托槽和陶瓷托槽通常4-6周复诊一次,隐形矫正6-8周复诊一次,30多岁的患者工作繁忙,可能需要提前和医生沟通复诊时间,选择弹性较大的诊所,矫正过程中可能会遇到牙齿酸胀、疼痛等不适感,尤其是每次调整加力后,这是正常现象,一般持续3-5天,可以通过热敷、吃软食缓解,必要时遵医嘱服用止痛药。
矫正后的维护与效果保持
矫正结束后,并不是一劳永逸,而是进入了更关键的保持阶段,牙齿在新的位置需要时间稳定,牙槽骨改建也需要1-2年,因此必须坚持佩戴保持器,通常医生会建议前6个月全天佩戴,之后改为夜间佩戴,至少持续2-3年,部分患者可能需要长期佩戴,30多岁的患者更容易忽视保持器的重要性,导致牙齿反弹,因此要严格遵医嘱,定期复查保持器的贴合度。
矫正带来的改变不仅是牙齿整齐,还有咬合功能的改善和面部美观的提升,很多患者反馈,矫正后咀嚼效率提高,以前咬不动的食物现在能轻松处理;面部轮廓也更协调,比如龅牙患者矫正后嘴唇不再前凸,侧脸线条更柔和,更重要的是,自信心的提升往往是最直观的,很多人在矫正后更愿意开口大笑,社交也更主动。

可能的挑战与应对
30多岁矫正牙齿最大的挑战可能是时间成本和精力投入,矫正周期通常在1.5-3年,期间需要定期复诊,对工作繁忙的人来说可能需要调整时间安排,对此,可以选择隐形矫正,复诊间隔稍长,且摘戴方便,不影响社交和饮食,另一个挑战是费用,不同矫正方式价格差异较大,从1万到10万不等,建议提前做好预算,部分诊所提供分期付款服务,减轻经济压力。
30多岁患者可能对疼痛更敏感,矫正初期的不适感可能比青少年更明显,可以通过和医生沟通调整加力力度,或使用正畸蜡缓解托槽对口腔黏膜的刺激,心理上也要做好准备,矫正是一个漫长的过程,需要耐心和坚持,不要因为短期内看不到明显效果而焦虑。
不同矫正方式对比
为了更直观地选择适合自己的矫正方式,以下通过表格对比主流矫正方式的特点:
| 矫正方式 | 美观度 | 舒适度 | 价格范围(万元) | 适用人群 | 优点 | 缺点 |
|---|---|---|---|---|---|---|
| 传统金属托槽 | 低 | 一般 | 5-3 | 预算有限、对美观要求不高者 | 性价比高,矫正力度强,适用范围广 | 美观度差,易刮伤口腔黏膜 |
| 陶瓷托槽 | 中 | 一般 | 2-4 | 对美观有一定要求者 | 颜色接近牙齿,相对隐蔽 | 脆性大,易染色,价格高于金属托槽 |
| 隐形矫正 | 高 | 高 | 3-8 | 职场人士、对美观和舒适度高者 | 可自行摘戴,美观隐蔽,方便清洁 | 价格高,对自律性要求高,复杂病例效果有限 |
| 舌侧矫正 | 极高 | 一般 | 5-10 | 对美观要求极高者 | 完全隐藏在牙齿内侧,美观度最佳 | 技术难度大,价格高,初期发音受影响 |
相关问答FAQs
Q1:30多岁矫正牙齿会不会比青少年慢?效果会打折扣吗?
A:成年人的牙槽骨密度相对较高,牙齿移动速度可能比青少年稍慢,但整体矫正周期差异不大,通常在1.5-3年,只要牙周健康,矫正效果不会打折扣,反而成年人配合度高,能更好地执行医嘱,最终效果往往更理想,对于存在严重颌骨问题的成年患者,可能需要配合正颌手术才能达到理想效果。
Q2:矫正期间可以怀孕吗?需要注意什么?
A:建议在矫正完成后再怀孕,因为怀孕期间激素水平变化可能影响牙周健康,容易导致牙龈炎、牙周炎,增加矫正期间口腔护理的难度,如果意外怀孕,应及时告知医生,医生会调整矫正方案,避免使用X光检查等可能对胎儿有影响的操作,同时要加强口腔卫生,定期进行牙周检查,确保矫正过程安全。
