牙齿畸形是口腔科常见问题,表现为牙齿排列不齐、咬合异常、颌骨发育异常等,不仅影响面部美观,还可能导致咀嚼功能下降、牙周疾病、发音障碍等问题,暑期作为学生群体及职场人士的集中假期,成为牙齿矫正的黄金时期,充足的时间让矫正初期的适应过程更从容,也为后续护理提供了便利。
牙齿畸形的常见类型与危害
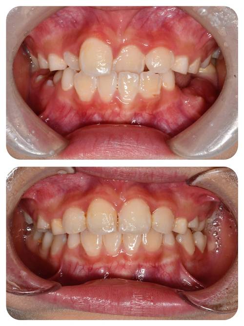
牙齿畸形涵盖多种情况,主要包括:牙列拥挤(牙齿过多导致排列错乱)、牙列稀疏(牙齿间缝隙过大)、龅牙(上颌前突,俗称“凸嘴”)、地包天(下颌前突,反颌)、深覆合(上前牙覆盖下前牙过多)、深覆盖(上前牙切端至下前牙唇面的水平距离过大)等,这些畸形多由遗传因素、不良习惯(如吮指、咬唇、口呼吸)、替牙障碍或颌骨发育异常引起。
长期忽视牙齿畸形可能引发系列问题:咀嚼效率降低导致消化不良;咬合异常加重颞下颌关节负担,引发关节疼痛;牙齿清洁困难易堆积菌斑,引发龋齿、牙龈炎、牙周炎;严重时甚至影响心理健康,尤其是青少年群体,可能因自卑产生社交回避。

暑期矫正的独特优势
相较于其他时间,暑期矫正具有显著优势:
- 时间充裕,适应更从容:矫正初期需适应矫治器带来的异物感、轻微疼痛及口腔黏膜摩擦,暑期可避免因上课、工作导致的紧张,便于调整饮食、学习护理技巧,平稳度过适应期。
- 便于安排复诊:矫正需定期复诊(通常4-6周一次),暑期灵活的时间安排可减少对学业、工作的干扰,确保复诊及时,避免延长矫正周期。
- 护理更细致:佩戴矫治器后口腔清洁难度增加,暑期有充足时间使用正畸牙刷、牙线、冲牙器等工具清洁牙齿,预防龋齿和牙周问题。
- 心理适应期:部分青少年对“钢牙”有顾虑,暑期可提前适应矫正后的外观,开学后减少心理压力,更快融入社交。
常见矫正方式对比与选择
目前主流的牙齿矫正方式各有特点,需根据畸形类型、美观需求、经济条件综合选择:
| 矫正方式 | 原理 | 优点 | 缺点 | 适用人群 |
|---|---|---|---|---|
| 传统金属托槽 | 金属托槽粘接于牙面,弓丝施力移动牙齿 | 价格低廉、技术成熟、适用范围广 | 美观度差、舒适度较低、易刮伤口腔黏膜 | 牙齿畸形复杂、预算有限者 |
| 陶瓷托槽 | 透明陶瓷托槽,与牙齿颜色接近 | 美观度提升、强度较高 | 价格较金属高、托槽易染色、部分病例不适用 | 对美观有要求、畸形程度中等者 |
| 隐形矫正 | 透明牙套分阶段佩戴,逐渐移动牙齿 | 完全隐形、可自行摘戴、舒适度高、易清洁 | 价格较高、对患者依从性要求高、复杂病例受限 | 轻中度畸形、注重美观及便利性的成年人/青少年 |
| 舌侧矫正 | 托槽粘接于牙齿舌侧面,完全隐藏 | 美观度极高、个性化定制 | 价格昂贵、口腔异物感强、清洁难度大、技术门槛高 | 对美观要求极高、预算充足者 |
暑期矫正全流程解析
- 初诊检查:包括口腔检查、拍摄全景片、头颅侧位片、CBCT(必要时)、取模等,全面评估牙齿、颌骨、牙周状况,判断是否具备矫正条件。
- 方案设计:医生根据检查结果,结合患者需求制定个性化方案,明确矫正目标、时间(通常1-3年)、费用及所用矫治器类型。
- 矫治器佩戴:传统/陶瓷托槽需分次粘接托槽并结扎弓丝;隐形矫正则通过3D打印技术定制牙套,患者自行按顺序佩戴。
- 定期复诊:复诊时医生调整弓丝力度、更换隐形牙套,检查牙齿移动情况,处理托槽脱落等问题。
- 保持器佩戴:拆除矫治器后需佩戴保持器(通常白天晚上戴1年,之后仅夜间戴),防止牙齿复发。
矫正期间注意事项
- 饮食调整:避免过硬(坚果、骨头)、过黏(口香糖、年糕)、带壳(虾蟹)食物,防止托槽脱落;减少高糖分食物摄入,预防龋齿。
- 口腔卫生:使用正畸牙刷(小头、刷毛软硬适中)和牙线(或正畸牙缝刷)清洁牙齿及托槽周围,每日至少刷牙3次,配合冲牙器清除食物残渣。
- 不适处理:初期可能出现口腔溃疡,可使用正畸蜡覆盖托槽;若疼痛剧烈,可遵医嘱服用止痛药。
- 避免不良习惯:矫正期间禁止咬笔、咬唇、吮指,防止牙齿移动异常。
矫正后的长期维护
牙齿矫正后,牙齿位置尚未稳定,需严格佩戴保持器;同时保持良好的口腔卫生习惯,定期进行口腔检查和洁牙,每年拍摄全景片观察牙齿及牙周状况,确保矫正效果长期稳定。
相关问答FAQs
Q1:暑期矫正需要多长时间?什么时候能看到效果?
A:矫正时间因畸形程度、所选方式及个人体质而异,一般轻中度畸形需1-2年,复杂畸形可能2-3年,视觉上,牙齿排列改善通常在3-6个月后显现,如拥挤缓解、缝隙关闭等;但咬合功能及面部轮廓的优化需在矫正后期或拆除矫治器后更明显。

Q2:矫正期间可以运动吗?需要注意什么?
A:可以进行常规运动(如跑步、游泳),但建议避免剧烈对抗性运动(如篮球、足球),以防撞击导致托槽脱落或口腔受伤,若需参与高风险运动,可佩戴防护牙套;运动后及时漱口,清洁口腔,避免食物残渣堆积。

