矫正牙齿脸型会变丑吗?这是许多人在考虑牙齿矫正时的常见顾虑,矫正牙齿是否影响脸型,并非简单的“会”或“不会”,而是取决于错颌类型、矫正方案设计、医生技术以及个体差异等多重因素,科学合理的矫正不仅不会导致脸型变丑,反而可能通过改善牙齿排列和咬合关系,让面部轮廓更协调;但若方案不当或忽视面部美学,也可能出现暂时性或永久性的形态变化。
矫正牙齿影响脸型的核心机制
牙齿与脸型的关系,本质上是“牙齿-牙槽骨-颌骨-面部软组织”的联动效应,牙齿位于牙槽骨中,矫正通过施加持续、轻柔的力,使牙齿在牙槽骨内缓慢移动,牙槽骨也会随之改建(吸收与增生),这种移动会改变牙齿的位置,进而影响上下颌骨的相对关系,以及覆盖在颌骨上的肌肉、脂肪等软组织的形态,前牙前突(龅牙)矫正后,牙齿内收,嘴唇的支撑力减少,可能影响唇部形态;后牙缺失导致的咬合塌陷,则可能让面部垂直距离变短,显显苍老。

可能导致“脸型变丑”的常见原因
矫正初期的暂时性变化
矫正开始后1-2年内,牙齿处于移动状态,牙槽骨改建尚未完成,可能出现暂时性“脸型异常”。
- 嘴唇外凸或显瘪:对于前牙前突的患者,矫正初期牙齿内收时,嘴唇可能因暂时失去支撑而显得外凸或“不服帖”;对于原本嘴唇较薄的患者,内收后若软组织适应性差,可能显显“瘪嘴”。
- 脸颊凹陷:拔牙矫正(如拔除4颗前磨牙)后,部分患者因牙齿和牙槽骨内收,可能出现暂时性颊部凹陷,尤其是脸颊较丰满者更明显,但通常随着软组织适应逐渐恢复。
这类变化属于“矫形过程中的正常波动”,一般矫正结束后3-6个月,随着软组织稳定,会逐渐改善。
医生方案设计不合理
若医生仅关注“排齐牙齿”,而忽视面部美学和功能平衡,可能导致脸型问题:
- 过度内收前牙:对于骨性前突但无需拔牙的患者,若强行内收前牙,可能使嘴唇过紧、鼻唇角变钝,甚至显显“衰老面容”。
- 忽视咬合平面:若上下颌牙齿矫正后咬合平面倾斜(如一侧后牙过高),可能导致面部中线偏斜、下颌歪斜,影响对称性。
- 拔牙设计不当:对于牙列拥挤但面部凹陷的患者,若盲目拔牙,可能加剧颊部凹陷,破坏面部饱满度。
骨性错颌未配合正颌手术
部分脸型问题源于“骨性畸形”(如下巴后缩、上颌前突),单纯牙齿矫正只能移动牙齿,无法改变颌骨位置,若医生未及时识别骨性问题,或患者拒绝正颌手术,仅通过矫正排齐牙齿,可能无法改善脸型,甚至因牙齿代偿性移动,加重面部不协调,骨性地包天患者若仅做矫正,牙齿可能“代偿性”前倾,但下巴仍后缩,侧面轮廓无改善,甚至显显“怪异”。

矫正牙齿对脸型的积极改善
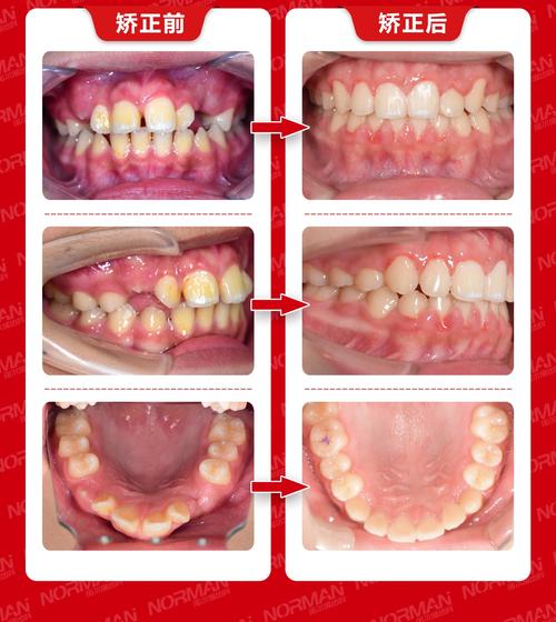
多数情况下,矫正牙齿通过解决“牙性畸形”,能显著提升面部协调度,以下是常见错颌类型的矫正效果对比:
| 错颌类型 | 矫正前脸型问题 | 矫正后改善效果 |
|---|---|---|
| 牙性前突(龅牙) | 上唇前凸、侧面“凸面型”、鼻唇角过小 | 前牙内收、嘴唇自然贴合、侧面线条流畅 |
| 地包天(反颌) | 下巴后缩、显“月牙脸”、中线偏斜 | 上颌前移/下颌后退、下巴显显、面部对称 |
| 深覆合 | 下显短、显“衰老面容”、下唇内陷 | 打开咬合、下显拉长、面部比例协调 |
| 牙列拥挤 | 嘴唇外凸、面部显“鼓胀” | 牙齿整齐、唇部自然、轮廓更清晰 |
关键影响因素:如何避免“脸型变丑”?
- 选择专业正畸医生:优先选择有口腔正畸学背景、熟悉面部美学的医生,通过头影测量、面部扫描等数据,制定兼顾功能与美学的方案。
- 重视“面型导向”的矫正设计:矫正前需评估面部比例(如三庭五眼、鼻唇角、唇齿关系),避免单纯“排齐牙齿”而忽视整体协调。
- 配合治疗与保持:矫正中遵医嘱调整力度,矫正后坚持佩戴保持器(至少2年),防止牙齿复发移动,确保脸型稳定。
矫正牙齿脸型是否会“变丑”,核心在于“是否科学”,对于牙性畸形,合理矫正能显著改善脸型;对于骨性畸形,需联合正颌手术;矫正初期的暂时性变化无需过度焦虑,随着治疗进展会逐渐恢复,选择专业医生、重视美学设计、积极配合治疗,是避免脸型问题的关键。
相关问答FAQs
Q1:矫正过程中脸型变化明显,比如嘴唇变瘪、脸颊凹陷,会不会一直这样?
A:通常不会,矫正初期的暂时性变化(如嘴唇不适应、颊部凹陷)主要是牙齿移动和软组织适应过程中的“正常波动”,随着矫正结束、牙齿位置稳定,软组织会逐渐调整适应,一般3-6个月后可恢复自然,若矫正结束后半年仍明显异常,需及时复诊排查方案是否合理。
Q2:拔牙矫正真的会让脸变显老吗?
A:这是常见误区,拔牙矫正(通常拔除前磨牙)是为了解决牙列拥挤或前突,为牙齿排齐和内收提供空间,不会直接导致“显老”,相反,对于突嘴患者,拔牙矫正后嘴唇不再前突,侧面线条更柔和,反而可能更显年轻,是否显老与拔牙量、医生设计及患者软组织弹性有关:若拔牙后过度内收前牙,且患者本身嘴唇较薄、颊部饱满度低,可能出现暂时性“显老”,但通过精细调整和软组织适应,可逐渐改善。
