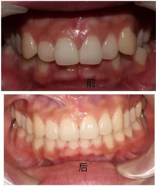
牙齿深覆盖是常见的错颌畸形之一,指上前牙切端至下前牙唇面的最大水平距离超过3mm,俗称“龅牙”,其发生多与遗传因素(如上颌骨发育过度、下颌骨发育不足)、不良口腔习惯(如长期吮指、咬唇、口呼吸)或替牙期障碍(如乳牙早失导致邻牙移位)有关,不仅影响面部美观(如鼻唇沟变深、下唇后缩),还可能引发咬合创伤、颞下颌关节紊乱、发音不清等问题,因此需通过正畸矫正改善,以下是牙齿深覆盖矫正的详细过程,结合各阶段示意图要点说明,帮助患者全面了解治疗流程。
矫正前全面检查与诊断
矫正前需通过系统检查明确深覆盖的类型(牙性或骨性)、严重程度及病因,为方案设计提供依据。

- 临床检查:观察牙齿排列情况(如拥挤、间隙)、咬合关系(深覆盖量、覆合程度)、牙周健康状况(牙龈萎缩、牙槽骨吸收)、面部比例(鼻唇突度、颏部位置)及开口度、开口型(判断颞下颌关节是否异常)。
- 影像学检查:拍摄全景片观察全口牙根位置、牙槽骨密度及发育情况;拍摄头颅侧位片进行头影测量,关键指标包括SNA角(上颌骨与颅底关系,正常82°±3°,增大提示上颌前突)、SNB角(下颌骨与颅底关系,正常80°±3°,减小提示下颌后缩)、ANB角(上下颌骨关系,正常2°±2°,增大提示骨性深覆盖)、U1-NA距(上切牙突度,正常5.5mm±2.5mm,增大提示上切牙唇倾)。
- 模型分析:制取石膏研究模型,测量牙弓长度、宽度,分析拥挤度或所需间隙,模拟牙齿移动方向。
示意图要点:头颅侧位片示意图需标注SNA、SNB、ANB角测量线及上切牙突度,明确骨性与牙性因素占比;全景片示意图重点展示牙根平行度、牙槽骨高度,排除矫正禁忌证。
矫正方案设计
根据检查结果,区分牙性深覆盖(单纯牙齿前突,骨性关系正常)和骨性深覆盖(上下颌骨发育不调),制定个性化方案。
- 牙性深覆盖:首选单纯正畸治疗,常用方法包括传统金属托槽矫正、陶瓷托槽矫正(美观性好)、隐形矫正(透明牙套,可自行摘戴),若存在牙列拥挤,通常需拔除第一前磨牙(上颌2颗、下颌2颗),为前牙内收提供间隙;若牙列整齐,可通过推磨牙向远中(如使用摆式矫治器、种植钉)扩大牙弓长度。
- 骨性深覆盖:若成人患者ANB角>7°、下颌后缩明显,需正畸-正颌联合治疗(先正畸排齐牙齿,再通过正颌手术调整颌骨位置,术后继续正畸精细调整);青少年患者(生长发育期)可采用功能性矫治器(如FRⅢ矫治器、双板矫治器)刺激下颌骨生长,改善骨性关系。
示意图要点:方案设计图需标注拔牙位置(如拔除14、24、34、44)、牙齿移动方向(上切牙舌向移动,下磨牙远中移动)、功能性矫治器的佩戴位置(覆盖下颌牙列,刺激颏部生长)。
分阶段矫正过程及示意图要点
初期:排齐牙列与整平牙弓(1-3个月)
目标:解除牙齿拥挤,将错位牙齿排齐于牙弓内,整平过深的Spee曲线(上/下颌牙列的曲面,过深易导致咬合创伤)。
方法:

- 传统托槽矫正:安装0.022英寸×0.028英寸标准托槽,使用0.014英寸镍钛圆丝(超弹丝,温和力量排齐牙齿),配合细圆丝结扎丝固定。
- 隐形矫正:佩戴第一副至第三副透明牙套(每副牙套佩戴1-2周),通过牙套内壁的“附件”(树脂突)施加轻微力量,逐步移动牙齿。
示意图要点:初期示意图显示初始拥挤牙列(如上切牙扭转、低位),镍钛丝放入托槽后,牙齿逐渐向牙弓中央移动,扭转牙齿被纠正,Spee曲线变平直;隐形矫正示意图需标注牙套附件位置及牙齿移动方向(如扭转牙向唇侧/舌侧旋转)。
中期:关闭拔牙间隙与调整咬合(3-12个月,拔牙病例更长)
目标:通过内收前牙、远中移动后牙,关闭拔牙间隙,建立前后牙稳定的咬合关系(如尖牙与第一磨牙中性关系)。
方法:
- 传统矫正:更换0.018英寸镍钛方丝(控制牙齿三维移动),配合滑动法关闭间隙(使用结扎丝或链状皮圈牵引前牙向舌侧)或关闭曲法(在弓丝上弯制“Ω”曲,加力后前牙整体移动)。
- 隐形矫正:通过中后期牙套(第4副至第15副)逐步缩小前牙与后牙间的距离,牙套附件设计更复杂(如“垂直轨道附件”引导后牙远中移动)。
示意图要点:中期示意图需标注拔牙间隙(如上颌4-5间隙、下颌3-4间隙),前牙内收方向(箭头指向舌侧),后牙远中移动(箭头指向远中);咬合调整示意图显示上下尖牙、前磨牙、磨牙的尖窝相对关系(如上颌第一磨牙近中窝与下颌第一磨牙中央窝相对)。
后期:精细调整与颌间牵引(1-3个月)
目标:精细调整牙齿位置(如转矩、轴倾度),纠正中线偏斜,改善上下牙弓协调性,通过颌间牵引稳定咬合。
方法:
- 传统矫正:使用0.018英寸×0.025英寸不锈钢方丝(硬度高,精确控制牙齿),在托槽上弯制转矩曲(如上切牙舌向转矩根,防止唇倾复发),配合颌间牵引(如Ⅱ类牵引:橡皮筋挂在上颌尖牙托槽与下颌第一磨牙托槽,纠正深覆盖;Ⅲ类牵引:用于下颌前突病例)。
- 隐形矫正:佩戴后期牙套(第16副至末副),通过牙套内壁的“精细附件”(如转矩附件、旋转附件)调整牙齿角度,同时使用橡皮筋进行颌间牵引(牵引钩设计在牙套上)。
示意图要点:精细调整示意图显示上切牙牙根舌向移动(改善“龅牙”侧貌),中线对齐(上下颌中缝重合);颌间牵引示意图需标注橡皮筋挂法(“8字形”或“垂直挂法”)及牙齿移动方向(上颌牙向后,下颌牙向前)。
保持阶段:防止复发(拆除矫正器后)
目标:维持矫正效果,防止牙齿因牙周组织改建、肌肉力量不平衡而复发。
方法:
- 透明压膜保持器:由热压膜材料制成,覆盖整个牙列(唇侧、舌侧、咬合面),紧密贴合牙齿,摘戴方便,美观度高。
- Hawley保持器:由基托(树脂材料)和钢丝(唇侧弓丝、腭侧弓丝)组成,唇侧弓丝可带调整曲(用于微调牙齿位置),基托包裹上颌牙列。
示意图要点:保持器示意图需展示其与牙列的贴合度(透明保持器无空隙,钢丝保持器的唇侧钢丝贴切牙面),强调全天佩戴(除进食、刷牙外),前6个月夜间持续佩戴。
分阶段矫正计划表
| 阶段 | 时间 | 目标 | 常用方法 | 示意图要点 |
|---|---|---|---|---|
| 初期排齐与整平 | 1-3个月 | 排齐牙齿,整平Spee曲线 | 镍钛圆丝(传统)/ 隐形牙套初始序列 | 拥挤牙列排齐,扭转牙纠正,曲线变平 |
| 中期关闭间隙与调整咬合 | 3-12个月 | 关闭拔牙间隙,建立稳定咬合 | 滑动法/关闭曲法(传统)/ 隐形牙牙合诱导 | 前牙内收,后牙远中移动,尖窝相对 |
| 后期精细调整与颌间牵引 | 1-3个月 | 调整牙齿角度,纠正中线,稳定咬合 | 不锈钢方丝+转矩弯制,Ⅱ/Ⅲ类牵引 | 切牙舌倾,中线对齐,颌间牵引方向 |
| 保持阶段 | 拆除矫正器后 | 防止复发,维持效果 | 透明压膜保持器/Hawley保持器 | 保持器贴合牙列,防止牙齿移位 |
注意事项
- 口腔卫生维护:矫正期间需使用正畸专用牙刷(如U形刷、正畸小头牙刷)、牙线穿引器,避免托槽周围食物残留引发龋坏、牙周炎。
- 饮食禁忌:避免过硬(如坚果、骨头)、过黏(如口香糖、年糕)食物,防止托槽脱落、弓丝变形;传统矫正者需用正畸保护套避免咬硬物。
- 定期复诊:传统矫正每4-6周复诊1次(调整弓丝、更换皮圈);隐形矫正每6-8周复诊1次(领取新牙套、检查佩戴情况);保持阶段前6个月每月复诊1次,之后每3-6个月复诊1次。
相关问答FAQs
Q1:牙齿深覆盖矫正一定要拔牙吗?
A1:是否拔牙需根据具体情况判断,若患者为牙性深覆盖、牙列轻度拥挤(拥挤度<4mm)、上颌前突不明显,可通过推磨牙向远中(如使用种植钉、摆式矫治器)或扩弓(如上颌快速扩弓器)非拔牙矫正;但若牙列严重拥挤(拥挤度>8mm)、上颌前突明显(SNA角>85°)、骨性不协调(ANB角>5°),拔除第一前磨牙可为前牙内收提供充足间隙(每颗前牙内收约需3-4mm间隙),改善侧貌和咬合功能,医生会通过头影测量、模型分析综合评估,制定最优方案。
Q2:矫正过程中疼痛正常吗?如何缓解?
A2:矫正初期(戴入后1-3天)及每次加力后(如更换弓丝、调整牵引)出现轻微疼痛、酸胀感属正常现象,因牙齿受力移动,牙周组织改建引发,缓解方法:① 饮食宜温凉、软食(如粥、面条),避免咀嚼过硬食物;② 用温盐水(37℃左右)漱口,促进血液循环;③ 服用非处方止痛药(如布洛芬,按说明书剂量);④ 避免用手触碰牙齿或托槽,若疼痛持续超过1周或加剧(如伴牙根尖周炎症状),需及时复诊检查矫正力是否过大或附件刺激黏膜。
