牙齿开合是一种常见的错颌畸形,指上下牙弓及颌骨在垂直方向上发育异常,表现为前牙或后牙在咬合时无法建立正常接触,存在垂直向的开隙,这种畸形不仅影响面部美观,还可能导致咀嚼功能下降、发音不清、甚至颞下颌关节紊乱等问题,通过正畸矫正,牙齿开合可以得到显著改善,矫正前后的图片对比能直观展现治疗效果,下面将从开合的定义、危害、矫正过程及图片变化等方面进行详细说明。
牙齿开合的定义与常见原因
牙齿开合主要分为前牙开合和后牙开合两类,前牙开合表现为上下前牙在咬合时存在垂直间隙,甚至无法接触;后牙开合则指后牙咬合时无接触,前牙可以正常咬合,其形成原因多样,包括:

- 不良习惯:儿童期吮指、咬唇、吐舌、咬物(如铅笔、指甲)等习惯,可能导致上下颌骨垂直向发育异常,尤其是吐舌习惯会持续推上前牙,造成前牙开合。
- 先天因素:颌骨发育异常(如下颌支过短、上颌前突等)、牙齿先天缺失(如上侧切牙缺失)或过大牙,可能导致牙量与骨量不匹配,引发开合。
- 疾病因素:佝偻病、甲状腺功能亢进等全身性疾病可能影响颌骨发育;牙周病导致牙齿松动、移位,也可能形成开合。
- 后天损伤:颌部外伤或手术可能破坏颌骨正常结构,导致咬合紊乱。
牙齿开合的危害与矫正必要性
牙齿开合看似只是“牙齿没咬上”,实则对口腔功能和身心健康均有影响:
- 咀嚼功能下降:后牙开合会导致咀嚼效率降低,食物无法充分研磨,增加胃肠负担;前牙开合则影响切割食物功能。
- 发音障碍:前牙是发音的重要辅助结构,开合可能导致发音不清(如“s”“z”等齿音发音困难)。
- 面部美观受损:开合患者常表现为“露龈笑”(上牙龈过多暴露)、面部中下部拉长、下颌后缩或前突等,影响侧面轮廓。
- 口腔健康问题:开合状态下,牙齿咬合接触减少,咀嚼力量无法正常分散,可能导致个别牙齿过度受力而磨损;食物易嵌塞在开合间隙中,增加龋齿和牙周病风险。
- 心理影响:尤其是青少年,开合可能导致自卑、不敢微笑,影响社交和心理状态。
及时矫正牙齿开合不仅是改善美观,更是恢复口腔功能、维护健康的重要手段。
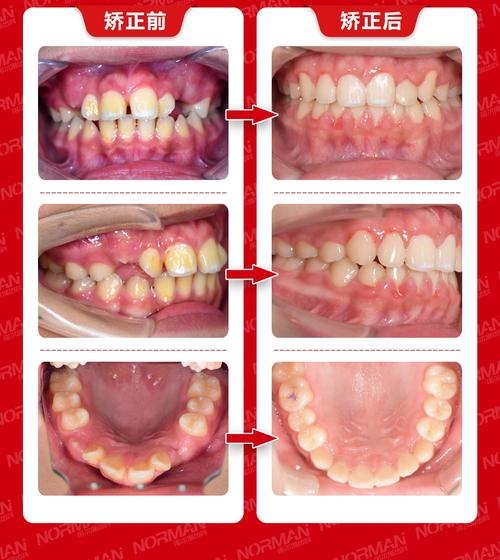
牙齿开合矫正过程与前后图片对比
矫正牙齿开合需要根据患者年龄、开合类型、严重程度及病因制定个性化方案,通常包括诊断设计、矫治器佩戴、保持等阶段,矫正前后的图片对比能清晰展现牙齿排列、咬合关系及面部形态的变化。
矫正前:开合的典型表现
矫正前,患者的口腔X光片、口内照片及面部照片会显示明显的开合特征:

- 口内照片:前牙开合者,上下前牙之间存在垂直间隙(可能数毫米至数厘米),后牙可能呈反合或对刃合;后牙开合者,后牙咬合时无接触,前牙可咬合,但可能伴有前牙深覆合或深覆盖,牙齿可能存在排列不齐、扭转等问题。
- 面部照片:侧面观可见下颌平面角过大(面部中下部拉长)、颏部后缩或前突;正面观可能伴微笑时牙龈暴露过多,面部比例不协调。
- 功能检查:咬合时无法有效咀嚼,发音测试(如“四十四”等绕口令)可能存在清晰度问题。
矫正中:逐步改善的过程
矫正过程中,医生会通过矫治器(如传统金属托槽、陶瓷托槽、隐形矫治器等)施加力量,引导牙齿、颌骨及牙槽骨改建,常见方法包括:
- 消除不良习惯:对于习惯性开合,需首先纠正吐舌、吮指等习惯,可能配合佩戴 habit breaker(习惯破除器)。
- 压低伸长牙齿:若开合由个别牙齿伸长导致,可通过片段弓、摇椅弓或隐形矫治器的附件压低伸长牙齿,恢复咬合接触。
- 垂直向控制:对于颌骨发育问题,可能使用颌间牵引(如橡皮筋)、平面导板等,引导上下颌骨垂直向关系正常化。
- 牙列整体调整:若存在牙量骨量不匹配,可能需拔牙为牙齿移动提供空间,排齐牙列的同时关闭开合间隙。
矫正中期的图片会显示牙齿逐渐移动,开合间隙缩小,咬合关系开始改善,面部形态也可能出现细微变化(如微笑时牙龈暴露减少)。
矫正后:理想咬合与面部改善
矫正完成后,拆除矫治器的照片可直观看到治疗效果:
- 咬合关系:上下前牙、后牙均建立正常接触,前牙覆合覆盖正常,后牙呈稳定的尖窝交错关系,咀嚼功能恢复。
- 牙齿排列:牙列整齐,无扭转、拥挤,中线对齐。
- 面部形态:侧面观面部轮廓更协调,下颌位置改善,颏部形态自然;正面观微笑弧线美观,牙龈暴露适度,面部比例和谐。
以下是矫正前后典型特征的对比表格(以常见前牙开合为例):

| 观察项目 | 矫正前表现 | 矫正后表现 |
|---|---|---|
| 前牙咬合关系 | 上下前牙垂直间隙≥3mm,无接触 | 上下前牙正常咬合,覆合覆盖1-2mm |
| 后牙咬合关系 | 后牙可能呈反合或对刃合,咬合不稳定 | 后牙尖窝交错,咬合有力,无早接触 |
| 牙列排列 | 牙齿可能扭转、拥挤,中线不齐 | 牙列整齐,中线对齐,排列对称 |
| 面部侧貌 | 面部中下部拉长,颏部后缩,露龈笑明显 | 面部比例协调,颏部形态自然,微笑自然 |
| 咀嚼功能 | 咀嚼效率低,食物易嵌塞 | 咀嚼有力,食物研磨充分,无嵌塞 |
| 发音清晰度 | 齿音发音不清,说话漏风 | 发音清晰,语言流畅 |
矫正后的保持与维护
牙齿开合矫正后,由于牙齿周围牙周组织改建尚未完全稳定,容易复发,因此保持至关重要,医生通常会为患者定制保持器(如透明压膜保持器、 Hawley保持器等),要求全天或夜间佩戴至少1-2年,期间需定期复查(每3-6个月一次),监测牙齿稳定性,需继续保持良好的口腔卫生习惯,避免咬硬物、再次养成不良习惯,以维持矫正效果。
相关问答FAQs
Q1:牙齿开合矫正后容易复发吗?如何避免?
A:牙齿开合矫正后存在一定复发风险,尤其是未纠正不良习惯(如吐舌)、保持器佩戴不足或牙周支持组织不稳定时,避免复发的关键包括:① 矫正后严格按医嘱佩戴保持器,至少1-2年,之后可逐渐减少佩戴时间;② 彻底纠正吮指、咬唇等不良习惯;③ 定期复查,医生会监测牙齿位置,及时调整;④ 避免用牙齿咬硬物(如开酒瓶、咬坚果),保护牙周组织健康。
Q2:成人牙齿开合矫正效果比青少年差吗?年龄会影响矫正效果吗?
A:成人牙齿开合矫正效果不一定比青少年差,但矫正机制略有不同,青少年处于生长发育期,颌骨和牙齿改建潜力大,矫正速度可能更快;而成人颌骨已停止发育,矫正主要通过牙齿移动实现,可能需要更长时间(通常2-3年),且若存在严重骨性开合,可能需结合正颌手术,只要牙周健康、无严重系统性疾病,成人矫正同样能获得良好的咬合功能和面部改善效果,关键在于选择专业医生制定个性化方案,并积极配合治疗。
