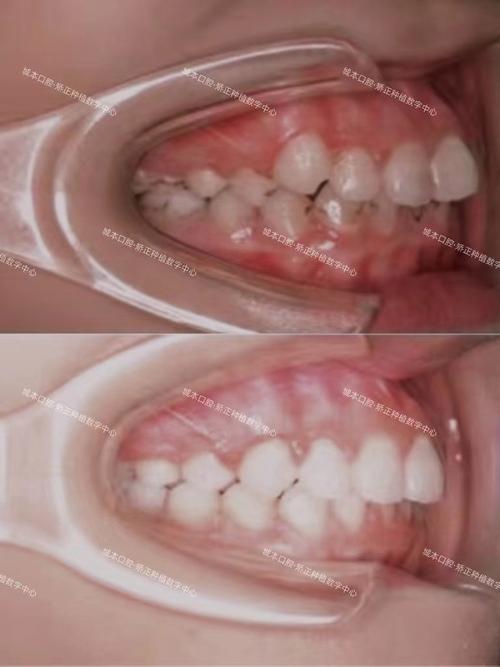
矫正牙齿拔牙是正畸治疗中常见的手段,并非“拔牙就会伤牙”,而是通过 strategically 拔除部分牙齿,为剩余牙齿的排列和咬合功能创造空间,拔牙后,牙齿会在正畸力的作用下发生一系列生物学变化,最终达到整齐排列、改善咬合的目的,了解拔牙后牙齿的移动机制、变化过程及护理要点,有助于患者更好地配合治疗,获得理想效果。
拔牙后牙齿的移动机制与生物学基础
牙齿并非固定不动,而是通过牙周组织的改建实现位置移动,拔除牙齿后,原本被占据的拔牙隙会成为“空间”,正畸医生会利用矫正装置(如弓丝、橡皮筋、种植钉等)对相邻牙齿施加持续、轻柔的力(通常为50-200克),引导牙齿向拔牙隙移动,这一过程的核心是“牙槽骨改建”:在压力侧,牙槽骨会发生吸收,为牙齿移动让出空间;在张力侧,牙槽骨会增生,支撑牙齿稳定在新位置。

拔除第一前磨牙(常见拔牙部位)后,医生通常会同时将后牙(磨牙)向前移动、前牙(切牙)向后移动,既关闭拔牙隙,又解决牙齿拥挤或前突问题,整个移动过程是渐进式的,通常需要6-12个月才能完全关闭拔牙隙,具体时间取决于拔牙数量、牙齿错位程度及患者配合度。
拔牙后牙齿的阶段性变化
拔牙后牙齿的变化可分为三个阶段,每个阶段的特点和注意事项有所不同:
初期阶段(拔牙后1-2周):适应与轻微松动
拔牙后24小时内,拔牙窝会形成血凝块,开始初步愈合;相邻牙齿因受到矫正力的作用,会出现轻微松动和酸胀感,这是正常现象,表明牙齿正在开始移动,此时需注意:
- 饮食:避免用拔牙侧咀嚼,选择温凉、软食(如粥、酸奶、果泥),避免过热、过硬或辛辣食物,以免刺激拔牙窝或导致矫正装置脱落。
- 口腔卫生:拔牙后24小时内不刷牙、不漱口,24小时后用软毛牙刷轻轻刷牙,拔牙窝周围可用温盐水漱口,预防感染。
- 疼痛管理:若酸胀感明显,可遵医嘱服用非处方止痛药(如布洛芬),避免自行用力啃咬硬物。
中期阶段(拔牙后1-6个月):快速移动与间隙关闭
此阶段是牙齿移动的“活跃期”,后牙会逐渐向前移动,前牙会向后移动,拔牙隙逐渐缩小,患者可能会感受到牙齿“紧绷”或“酸胀加重”,这是牙齿在较大力度下移动的表现,需重点关注:

- 矫正装置配合:医生可能会更换更粗的弓丝或添加橡皮筋,以增强移动效果,需严格按照医嘱佩戴橡皮筋(通常每天佩戴20小时以上),避免随意摘取或更换方向。
- 清洁难点:随着牙齿移动,牙缝可能暂时增大,食物嵌塞风险增加,需使用牙线、牙缝刷或冲牙器彻底清洁,避免牙龈炎或龋齿。
- 复诊调整:每4-6周需复诊一次,医生会检查牙齿移动进度,调整矫正力,必要时进行“邻面去釉”(适当磨除少量牙釉质,为牙齿排列创造微小空间)。
稳定期(拔牙后6个月-2年):牙槽骨重建与咬合稳定
当拔牙隙完全关闭后,牙齿进入“稳定期”,此时牙齿位置已基本固定,但牙槽骨仍需时间改建以支撑牙齿,医生通常会更换“保持器丝”或开始佩戴保持器,防止牙齿复发,需注意:
- 保持器佩戴:保持器是防止牙齿复发的关键,初期需全天佩戴(除吃饭、刷牙外),6个月后可调整为夜间佩戴,需持续1-2年甚至更久。
- 咬合磨合:牙齿排列整齐后,上下牙的咬合关系需重新适应,初期可能感觉“咬合不实”或“某颗牙早接触”,这是正常现象,会随着使用逐渐改善。
- 长期维护:即使矫正结束,仍需每半年进行一次口腔检查和洁牙,确保牙周健康和牙齿稳定。
拔牙矫正的常见风险与应对
尽管拔牙矫正技术成熟,但仍可能出现以下问题,需及时与医生沟通:
| 风险类型 | 可能原因 | 应对措施 |
|---|---|---|
| 牙齿移动过慢 | 骨密度高、矫正力不足、患者配合度差 | 增加复诊频率,调整矫正装置,加强橡皮筋佩戴,改善口腔卫生。 |
| 牙齿移动过快/间隙未关闭 | 拔牙量过大、牙齿扭转未纠正 | 医生会通过“暂停加力”或“改变移动方向”调整,必要时重新制定方案。 |
| 牙根吸收 | 矫正力过大、个体差异 | 治疗前通过X光片评估风险,治疗中定期拍摄根尖片,若吸收明显则减小矫正力或结束治疗。 |
| 牙龈萎缩/牙缝黑三角 | 牙齿倾斜移动、牙龈组织薄 | 通过“正畸关闭间隙”手术或修复治疗改善,日常加强牙龈按摩(如使用冲牙器)。 |
长期维护:保持矫正效果的“后半场”
拔牙矫正的最终目标是“功能与美观并存”,而长期效果取决于治疗后的维护,牙齿具有“记忆性”,若在稳定期不佩戴保持器,可能会因牙齿周围肌群(如唇肌、舌肌)的力量或遗传因素导致复发,出现牙齿轻微拥挤或间隙,牙周健康是牙齿稳定的基础,即使矫正结束,仍需坚持巴氏刷牙法、使用牙线,定期进行牙周检查,避免因牙龈萎缩导致牙齿松动。
相关问答FAQs
Q1:矫正拔牙后牙齿会松动吗?老了会不会掉牙?
A:拔牙后初期牙齿轻微松动是正常现象,是牙齿移动的生物学表现,当移动到目标位置并完成牙槽骨改建后,会重新变得稳固,矫正本身不会导致牙齿提前脱落,但若治疗中口腔卫生差,引发牙龈炎、牙周炎,导致牙槽骨吸收,则可能影响牙齿长期稳定,保持良好的口腔卫生和定期牙周维护是关键。
Q2:拔牙矫正后脸型会改变吗?
A:拔牙矫正是否改变脸型取决于原始牙齿问题,若患者存在牙齿前突(“龅牙”)、上下颌前突等问题,拔牙后前牙向后移动,嘴唇会略微回收,可能改善“凸面型”,使侧脸轮廓更协调;若患者仅为牙齿拥挤、面部骨骼正常,拔牙主要解决排列问题,对脸型影响较小,脸型改变的核心是“牙齿位置调整带来的软组织变化”,而非拔牙本身,具体效果需结合个体情况评估。
