青少年时期是矫正牙齿的黄金阶段,但牙齿矫正并非完全没有风险,过程中可能出现多种生理、心理及口腔健康方面的问题,了解这些潜在危害,有助于家长和青少年提前做好准备,在专业指导下规避风险,确保矫正效果与安全。
从生理层面来看,牙齿矫正初期最常见的不适是牙齿酸痛与敏感,这是因为矫正过程中,牙齿需要在牙槽骨中移动,牙槽骨会进行改建,导致牙周组织受到暂时性压迫或牵拉,通常在加力后的3-5天内最为明显,表现为咀嚼无力、遇冷热刺激疼痛,部分青少年甚至可能因疼痛影响进食,这种酸痛一般会在1周内逐渐缓解,但若医生施加的力过大或个体敏感度较高,疼痛持续时间可能延长,甚至引发牙髓炎症,表现为自发性剧痛、夜间加重等,需及时就医调整矫正力度。

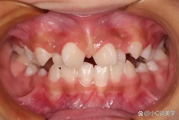
口腔黏膜损伤也是高频问题,传统矫正托槽(金属托槽、陶瓷托槽)的边缘和结扎丝末端可能摩擦口腔内壁、脸颊或舌头,导致溃疡或糜烂,尤其在初期佩戴和调整弓丝后,黏膜适应不良时更容易出现,虽然正畸蜡可以暂时覆盖托槽锐缘缓解不适,但若溃疡反复发作,可能影响青少年进食和说话,甚至因疼痛抗拒矫正,需医生精细调整托槽位置或更换更光滑的材料。
更需警惕的是牙根吸收风险,牙齿移动过程中,牙根尖端可能会发生少量吸收,导致牙根长度缩短,这种吸收多为轻微且不可逆,通常不影响牙齿功能,但若个体存在易感性(如遗传因素、牙周炎病史)或矫正力度过大,可能引发重度牙根吸收,造成牙齿松动、牙冠变短,甚至提前脱落,研究显示,正畸治疗中牙根吸收的发生率约为5%-25%,因此矫正前后需通过X光片监测牙根长度,及时调整方案。
颞下颌关节紊乱(TMD)也是潜在危害之一,部分青少年矫正前存在咬合紊乱,矫正过程中若咬合调整不当(如咬合干扰、颌平面不平衡),可能诱发关节弹响、疼痛、张口受限等症状,尤其对于下颌后缩或偏颌的青少年,矫正设计需兼顾关节功能,避免因追求牙齿排列整齐而加重关节负担。
口腔卫生维护难度增加,间接引发龋齿和牙龈炎,矫正装置(如托槽、弓丝、橡皮筋)会阻碍牙刷和牙线的清洁作用,食物残渣容易滞留,导致菌斑堆积,若青少年未掌握正确的清洁方法,可能引发牙龈红肿、出血(牙龈炎),甚至龋齿(尤其是托槽周围脱矿形成“白斑”),严重时,脱损可能进展为龋洞,矫正结束后还需额外治疗,影响牙齿健康。
心理与社交层面同样存在挑战,青少年正处于自我意识敏感期,佩戴“钢牙”可能因外观差异产生自卑心理,尤其对于需要拔牙矫正或佩戴头帽、颚托等装置的青少年,更容易被同学调侃,导致社交回避、情绪低落,部分青少年可能因矫正带来的不便(如饮食限制、说话不清)产生抵触情绪,甚至中途放弃矫正,影响最终效果。
经济与时间成本也是家庭需考虑的“隐性危害”,牙齿矫正周期通常为1-3年,期间需每4-6周复诊一次,频繁复诊可能影响学业安排,矫正费用较高(传统托槽1-3万元,隐形矫正3-8万元不等),且部分项目(如拔牙、骨钉植入、保持器)可能产生额外费用,对家庭经济造成一定压力,若矫正过程中出现并发症(如牙根吸收、牙周问题),还需额外治疗费用,进一步增加经济负担。
为更直观呈现矫正期间常见危害及应对措施,以下为具体总结:
| 危害类型 | 具体表现 | 发生概率 | 应对方法 |
|---|---|---|---|
| 牙齿酸痛 | 咀嚼无力、遇冷热疼痛,持续3-7天 | 高 | 初期饮食偏软,避免咬硬物,遵医嘱服用止痛药(如布洛芬) |
| 口腔溃疡 | 托槽摩擦黏膜导致红肿、疼痛,影响进食说话 | 高 | 使用正畸蜡覆盖托槽锐缘,涂抹口腔溃疡凝胶,保持口腔清洁 |
| 牙根吸收 | 牙根缩短,牙齿松动,严重时脱落 | 中 | 矫正前后拍X光片监测,避免过大矫治力,选择经验丰富的医生 |
| 颞下颌关节紊乱 | 关节弹响、疼痛,张口受限 | 低 | 矫正前评估关节功能,避免咬合干扰,出现症状及时调整咬合关系 |
| 龋齿/牙龈炎 | 托槽周围食物残渣滞留,牙龈红肿出血,牙面白斑 | 高 | 使用正畸牙刷、牙线刷、冲牙器,定期洁牙,控制糖分摄入 |
| 心理社交问题 | 因外观自卑、社交回避,抵触矫正 | 中 | 家长沟通引导,选择隐形矫正或美观托槽,鼓励同伴支持 |
| 经济时间成本 | 矫正周期长(1-3年),费用高(1-8万元),频繁复诊影响学业 | 高 | 提前规划预算,选择分阶段支付,与学校协调复诊时间 |
针对青少年牙齿矫正的常见疑问,以下为解答:
Q1:矫正牙齿一定会导致牙根吸收吗?如何避免?
A:牙根吸收并非必然,而是个体易感性与矫治因素共同作用的结果,有遗传倾向、牙周炎病史或既往有牙外伤史的青少年风险较高,为避免牙根吸收,需选择正规口腔机构和经验丰富的正畸医生,医生会通过拍X光片评估牙根情况,在矫正中采用轻力矫治(如持续轻力而非间歇重力),并定期(每6个月)拍摄根尖片监测牙根长度,若发现吸收迹象,医生会及时调整矫治方案,如减小矫治力或暂停加力,通常轻微吸收不影响牙齿功能,重度吸收则需终止矫正并制定后续治疗计划。
Q2:矫正期间如何有效预防龋齿和牙龈炎?
A:矫正期间口腔清洁是关键,建议使用正畸专用牙刷(如V形刷毛牙刷)和牙线刷(穿过弓丝清洁托槽邻面),每日至少刷牙3次(每次3分钟),配合冲牙器冲洗食物残渣;避免食用黏性食物(如口香糖、软糖)和高糖食物(如碳酸饮料、蛋糕),吃完东西后立即用清水漱口;每3个月进行一次专业洁牙,清除牙菌斑和牙结石;若发现牙面出现白斑(脱矿),需遵医嘱使用含氟牙膏或涂氟,阻止龋齿进展,通过严格的口腔维护,可大幅降低龋齿和牙龈炎风险。
