前牙凸,也就是常说的“龅牙”,是口腔正畸中常见的病例类型,表现为上门牙向前突出,嘴唇难以自然闭合,不仅影响面部美观,还可能伴随咬合异常、口腔清洁困难等问题,近年来,随着人们对口腔健康和颜值的重视,越来越多前牙凸患者通过矫正治疗改善了牙齿排列和面部轮廓,本文将通过具体案例、矫正方法解析及注意事项,为大家详细解读前牙凸矫正的全过程。
前牙凸的成因与危害
前牙凸的形成原因多样,主要包括遗传因素(如父母有牙颌畸形史,子女患病概率更高)、不良口腔习惯(如吮指、咬唇、口呼吸、吐舌等)、替牙期障碍(如乳牙早失、多生牙、颌骨发育异常)以及后天因素(如鼻炎导致的长期口呼吸、扁桃体肥大等),从临床上看,儿童和青少年是前牙凸的高发人群,但部分成年人也会因骨骼发育或习惯问题出现类似症状。

前牙凸的危害不仅限于美观,牙齿过度前突会导致上下唇无法自然闭合,形成“开唇露齿”,影响面部协调性;咬合关系异常可能引发咀嚼效率下降、颞下颌关节紊乱(如张口弹响、疼痛);前牙凸使得牙齿间更容易堆积食物残渣,增加龋齿和牙周病的风险,及时矫正前牙凸对口腔健康和心理健康都具有重要意义。
矫正案例分享:不同年龄段的解决方案
案例1:儿童替牙期功能性矫正(8岁男孩)
主诉:家长发现孩子上门牙明显前突,且经常张口呼吸,有吮指习惯。
检查:混合牙列期,上颌前牙前突约4mm,下颌后缩,牙列轻度拥挤,M线(鼻尖-颏尖连线)位于上唇前方,提示存在肌肉功能异常。
方案:采用MRC肌功能矫治器进行早期干预。
过程:
- 纠正不良习惯:通过矫治器的挡板阻止吮指行为,同时训练舌体正确位置(舌尖轻抵上腭)。
- 调整肌肉功能:每日佩戴矫治器1-2小时,配合特定的口周肌训练(如吹气球、抿嘴练习),帮助建立正常的鼻呼吸模式。
- 引导颌骨发育:利用矫治器的弹性部件对上颌牙列施加轻微内收力,抑制上颌过度发育,同时刺激下颌骨向前生长。
效果:治疗8个月后,上门牙前突减少2mm,嘴唇自然闭合时无明显露齿,口呼吸症状改善,后续需定期观察替牙情况,待恒牙完全萌出后可能二期矫正。
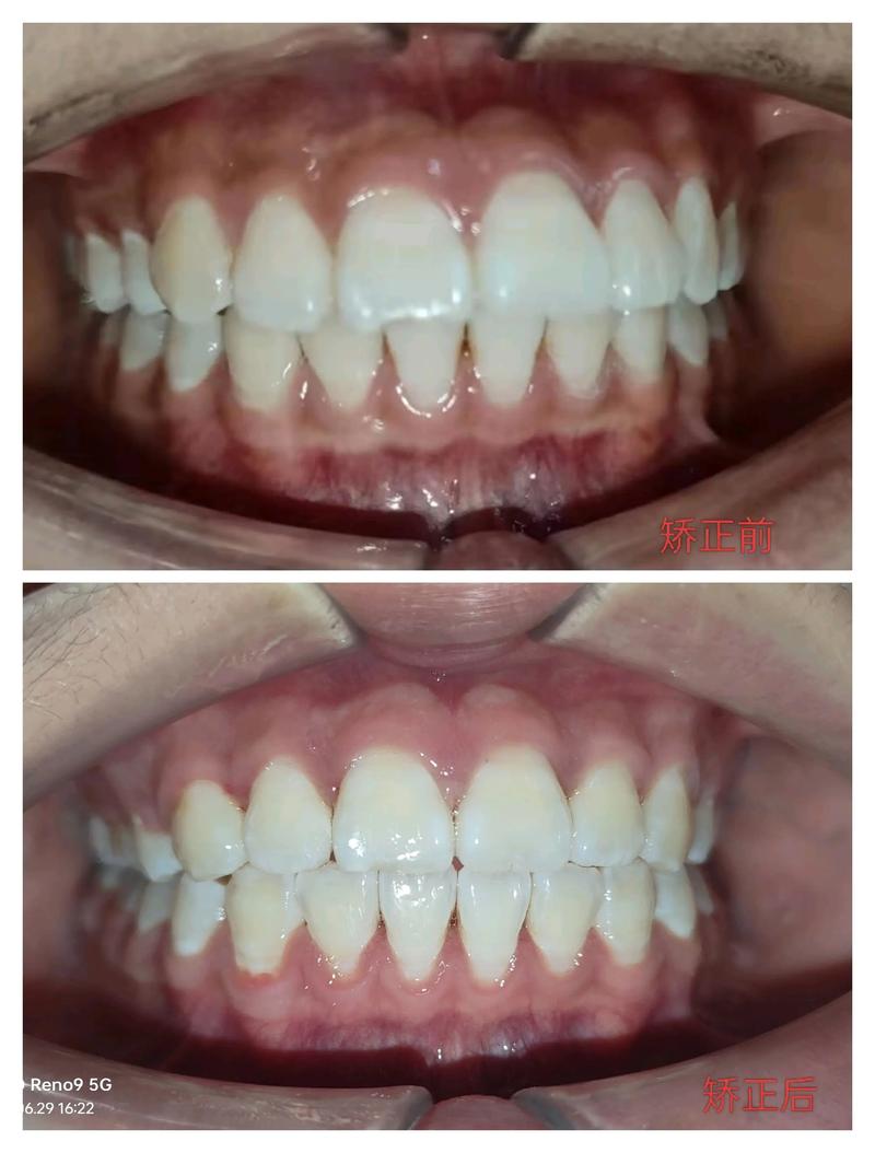
案例2:青少年恒牙期综合矫正(15岁女孩)
主诉:上门牙外凸,笑时牙龈暴露较多,同学嘲笑导致不敢露齿笑。
检查:恒牙列期,上颌中切牙前突5mm,牙列中度拥挤,上颌第三牙胚存在,深覆盖III度(上前牙盖过下前牙牙冠长度2/3以上),Spee曲线较深,侧貌凸面型。
方案:金属自锁托槽矫正+拔牙矫治。
过程:
- 拔牙设计:拔除上颌第一前磨牙2颗,为前牙内收提供空间,同时调整咬合关系。
- 排齐与整平:通过自锁托槽的低摩擦力特性,快速排齐拥挤的牙齿,整平Spee曲线,使咬合接触点均匀分布。
- 关闭拔牙间隙:使用滑动法关闭拔牙间隙,内收上前牙,改善深覆盖和凸面型,全程配合颌间牵引(III类牵引),促进下颌牙弓向前调整。
效果:治疗时间18个月,拆除矫治器后,上门牙前突完全改善,深覆盖消失,侧貌变为直面型,笑线自然,牙龈暴露量正常,佩戴保持器2年,效果稳定。
案例3:成人骨性前牙凸联合正畸正颌(28岁男性)
主诉:前牙凸明显,下颌后缩,咬合时“地包天”倾向,伴随颞下颌关节弹响。
检查:成人骨性III类错颌,上颌发育不足,下颌后缩,ANB角(上颌基骨角-下颌基骨角)-2°,前牙深覆盖6mm,X线显示上颌骨位置靠后,下颌骨逆时针旋转受限。
方案:正畸-正颌联合治疗。
过程:

- 术前正畸:先通过隐形矫正排齐牙列,调整牙齿代偿性倾斜(如上颌前牙舌倾,下颌前牙唇倾),为手术创造条件。
- 正颌手术:在全麻下行上颌骨Le Fort I型截骨术(前移上颌骨)+下颌矢状劈开术(前移下颌骨),纠正骨骼畸形。
- 术后正畸:精细调整咬合关系,关闭剩余间隙,确保牙齿尖窝交错,咀嚼功能恢复正常。
效果:治疗周期2年(术前正畸6个月+手术+术后正畸18个月),前牙凸完全改善,面型协调,颞下颌关节症状消失,咀嚼效率提升80%。
常见矫正方式对比
针对不同类型的前牙凸,矫正方式需个性化设计,以下是主流矫正方法的对比:
| 矫正方式 | 适用情况 | 优点 | 缺点 | 平均疗程 |
|---|---|---|---|---|
| 传统金属托槽 | 各类牙颌畸形,尤其复杂拥挤 | 矫治力强,性价比高,技术成熟 | 美观性差,口腔异物感强 | 5-3年 |
| 陶瓷托槽 | 对美观要求较高的青少年/成人 | 半透明,隐蔽性好,强度接近金属托槽 | 脆性较高,易染色,价格稍高 | 5-3年 |
| 隐形矫正(隐适美等) | 轻中度前牙凸,配合度高的成人 | 美观舒适,可自行摘戴,方便清洁 | 价格昂贵,复杂病例需附加支抗,疗程可能延长 | 1-2年 |
| 功能性矫治(MRC等) | 替牙期功能性前牙凸(如口呼吸、肌功能异常) | 早期干预,引导颌骨发育,减少二期矫难度 | 需患者配合,仅适用于特定类型 | 6-12个月(可重复) |
| 正畸正颌联合 | 严重骨性前牙凸(上下颌骨发育异常) | 纠正骨骼畸形,效果稳定彻底 | 手术风险高,费用昂贵,周期长 | 2-3年 |
矫正过程中的注意事项
- 口腔卫生维护:戴托槽期间,食物残渣易嵌塞在托槽周围,需使用正畸专用牙刷(如小头软毛牙刷)、牙缝刷、冲牙器每日清洁,避免龋齿和牙周炎。
- 饮食控制:避免过硬(如坚果、骨头)、黏性(如口香糖、奶糖)食物,防止托槽脱落;隐形矫正需摘下进食,避免食物染色矫治器。
- 复诊时间:传统矫正一般4-6周复诊一次,隐形矫正6-8周复诊,医生会根据牙齿移动情况调整矫治力,确保治疗效果。
- 保持器佩戴:拆除矫治器后必须佩戴保持器(通常白天戴1年,晚上戴2-3年),否则前牙可能因肌肉力量或骨骼改建复发。
矫正效果与长期维护
前牙凸矫正不仅能改善牙齿排列,更能提升面部美观和自信心,儿童早期干预可避免畸形加重,青少年矫正效果稳定,成人骨性病例通过正畸正颌可实现面型重塑,但矫正效果需长期维护:保持器是关键,同时需改掉吮指、咬唇等不良习惯,定期进行口腔检查(每年1-2次),确保牙齿和颌骨处于稳定状态。
相关问答FAQs
Q1:前牙凸矫正的最佳年龄是什么时候?
A:前牙凸矫正分阶段:① 替牙期(6-12岁):若存在功能性因素(如口呼吸、吮指),可早期干预,引导颌骨发育,减少二期矫难度;② 恒牙早期(12-15岁):此时牙齿刚完全萌出,颌骨仍有发育潜力,是传统矫正的“黄金期”;③ 成人(18岁以上):骨骼已定型,可通过正畸或正畸正颌改善,但疗程可能较长,建议7岁起做口腔检查,早发现早干预。
Q2:矫正后牙齿会复发吗?如何避免?
A:复发风险主要与骨骼类型、保持器佩戴和习惯有关,牙性前牙凸(仅牙齿前突,骨骼正常)若保持器佩戴规范,复发率较低;骨性前牙凸(骨骼发育异常)即使矫正后,也可能因肌肉力量或生长出现轻微复发,避免复发的关键:① 严格佩戴保持器(至少2年,终身夜间佩戴更佳);② 改掉吮指、吐舌、口呼吸等不良习惯;③ 定期复查(每3-6个月),医生会监测牙齿位置,及时调整。

