牙齿矫正是一项需要精密规划的口腔治疗,其核心在于通过移动牙齿改善咬合功能与面部美观,而拍片是矫正前不可或缺的检查环节,这些影像资料能提供肉眼无法观察的深层信息,包括牙齿形态、牙根位置、颌骨关系、牙周健康状况等,帮助医生全面评估口腔情况,制定个性化的矫正方案,矫正牙齿究竟需要拍哪些片子呢?以下将详细介绍各类常用检查片的作用、适用场景及关键信息。
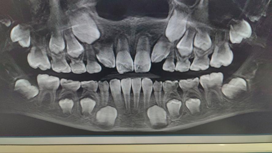
曲面断层片(全景片):全口牙齿与颌骨的“全景地图”
曲面断层片是矫正检查中最基础的影像学检查,通过一次曝光即可获取全口牙齿、牙槽骨、上下颌骨及部分颌面结构的二维图像,其主要作用包括:观察牙齿数量(是否存在多生牙、缺失牙或阻生智齿)、牙根形态(是否弯曲、短小或吸收)、牙槽骨高度与密度(评估牙周支持能力)、恒牙胚发育情况(青少年矫正中尤为重要)以及颌骨内的囊肿、肿瘤等病变。
适用情况:所有接受矫正的患者均需拍摄,作为常规筛查工具,其优势在于辐射剂量较低(约0.02mSv,相当于自然背景辐射2天)、检查速度快,能快速掌握口腔整体概况,曲面断层片的局限性在于图像为二维重叠,无法清晰显示牙根与颌骨的立体关系,复杂病例需结合其他影像进一步评估。

头颅侧位片:面部骨骼与牙齿关系的“定位仪”
头颅侧位片是矫正方案设计的“核心依据”,通过拍摄头颅侧面X光片,医生可进行一系列精密的骨骼与牙齿测量分析,片中会显示颅骨、上颌骨、下颌骨的形态与位置关系,以及牙齿相对于颌骨的倾斜度、覆盖情况,关键测量指标包括SNA角(上颌骨突度)、SNB角(下颌骨突度)、ANB角(上下颌骨关系)、上下颌平面角(面部垂直高度)等,用于判断是否存在骨性错颌(如“地包天”“龅牙”)、面部不对称及牙齿代偿性倾斜等问题。
适用情况:青少年及成人矫正患者均需拍摄,尤其适用于骨性畸形明显、需要正颌-正畸联合治疗的患者,通过头颅侧位片,医生可明确牙齿移动的限度,判断是否需要配合生长改良治疗(青少年)或正颌手术(成人),确保矫正后不仅牙齿排齐,还能实现面部骨骼的协调。
CBCT(锥形束CT):三维立体的“精细探测器”
CBCT是近年来口腔领域广泛应用的三维影像技术,通过锥形束X射线扫描,可重建出口腔颌面部的高精度三维模型,与曲面断层片相比,CBCT的优势在于能清晰显示牙根与颌骨的立体关系、埋伏牙的位置与方向、骨量是否充足(如种植矫正前评估)、牙根吸收或吸收风险、颞下颌关节(TMJ)结构及周围神经血管走行等。
适用情况:并非所有患者都需要,主要用于复杂病例:如埋伏牙(如上颌尖牙阻生)的牵引方案设计、骨性畸形需正颌手术前的精确评估、怀疑存在牙根吸收或根尖病变、种植支抗植入前的骨量分析,以及颞下颌关节紊乱患者的关节结构检查,CBCT的辐射剂量略高于曲面断层片(约0.05-0.3mSv,相当于自然背景辐射5-30天),但现代设备可通过低剂量模式降低风险,医生会根据患者具体情况权衡利弊后决定是否拍摄。
根尖片:单颗牙齿的“微观镜头”
根尖片是针对单颗牙齿的局部X光片,主要显示牙冠、牙根及根尖周组织的影像,用于观察牙根形态(如是否弯曲、分叉)、根尖是否有炎症(暗影)、牙槽骨吸收情况(牙周病评估)及根管治疗质量等。
适用情况:当患者存在个别牙齿疼痛、根尖周炎、牙根吸收风险或需评估牙周健康状况时,作为曲面断层片的补充检查,若患者某颗牙曾受过外伤,根尖片可帮助判断牙根是否断裂或发生吸收,避免矫正中移动牙齿导致病变加重。
颞下颌关节片:关节功能的“晴雨表”
颞下颌关节(TMJ)是连接下颌骨与颅骨的关节,负责张闭口运动,颞下颌关节片包括许勒位片(关节间隙与髁突位置)、经颅位片(髁突与颅骨关系)等,主要用于观察关节间隙宽度、髁突位置是否正常、骨皮质是否完整,以及是否存在关节盘移位、骨关节病等问题。
适用情况:若患者存在张口弹响、疼痛、张口受限等颞下颌关节紊乱症状,或矫正中可能涉及关节调整(如下颌前突矫正),需拍摄关节片明确病因,避免矫正治疗加重关节负担。

手腕骨龄片:青少年生长潜力的“预测仪”
手腕骨龄片是拍摄左手腕X光片,通过观察腕骨、掌骨、指骨的骨化中心发育情况,判断青少年的骨骼发育阶段(如青春期早期、高峰期、晚期)。
适用情况:主要用于生长发育期的青少年患者,牙齿矫正的最佳时机常与生长发育阶段相关:“地包天”患者若处于生长发育高峰期,可通过功能性矫正引导下颌骨向前生长,避免成年后正颌手术;而“龅牙”患者若骨龄接近成熟,可能需直接采用正畸治疗,手腕骨龄片能帮助医生预测患者的生长潜力,制定“生长改良+正畸”的联合方案,事半功倍。
各类检查片总结与适用场景
| 检查项目 | 拍摄目的 | 关键信息显示 | 适用情况 |
|---|---|---|---|
| 曲面断层片 | 全口牙齿与颌骨概况筛查 | 牙齿数量、牙根形态、牙槽骨高度 | 所有矫正患者常规检查 |
| 头颅侧位片 | 骨骼与牙齿关系分析、方案设计 | 上下颌骨位置、牙齿倾斜度、面部比例 | 骨性畸形、需正颌-正畸联合治疗的患者 |
| CBCT | 三维立体结构评估 | 埋伏牙位置、骨量、牙根吸收、关节结构 | 复杂病例(埋伏牙、正颌术前、种植支抗) |
| 根尖片 | 单颗牙齿及根尖周局部检查 | 牙根形态、根尖炎症、牙槽骨吸收 | 个别牙齿病变、牙周问题补充检查 |
| 颞下颌关节片 | 关节结构与功能评估 | 关节间隙、髁突位置、骨关节病 | 存在关节症状或需调整关节的患者 |
| 手腕骨龄片 | 青少年生长发育潜力预测 | 骨化中心发育阶段、生长剩余潜力 | 生长发育期青少年,判断矫正时机 |
注意事项
- 辐射安全:常规检查(曲面断层片、根尖片)辐射剂量极低,无需过度担忧;CBCT辐射稍高,但医生会严格把握适应症,避免不必要的曝光,儿童拍摄时会采用铅防护措施。
- 特殊人群:孕妇应避免X光检查,若病情需要,需医生评估风险后决定;佩戴金属义齿、首饰者需提前告知,避免伪影干扰。
- 拍片准备:拍摄前摘掉项链、耳环等金属饰品,CBCT检查可能需摘除活动义齿,保持静止配合医生指令。
相关问答FAQs
问题1:矫正牙齿拍片有辐射吗?安全吗?
解答:矫正中常用的曲面断层片、根尖片等X光检查辐射剂量极低,相当于自然背景辐射的几天到几十天,远低于对人体造成伤害的阈值,CBCT辐射稍高,但现代设备可通过低剂量模式控制风险,且医生会根据患者具体情况(如年龄、病情)严格选择适应症,避免不必要的拍片,对于儿童,医生会优先选择辐射更低的检查方式,并采用铅防护罩保护甲状腺等敏感部位,总体而言,矫正拍片是安全的,其获益远大于风险。
问题2:所有矫正都需要拍CBCT吗?复杂病例和简单病例有什么区别?
解答:并非所有矫正都需要拍CBCT,简单错颌(如轻度牙列拥挤、单纯牙齿前突,无埋伏牙、骨量问题等)通常通过曲面断层片+头颅侧位片即可满足方案设计需求,而复杂病例(如埋伏牙需牵引、骨性畸形需正颌手术、种植支抗植入前评估骨量、怀疑牙根吸收或颞下颌关节病变等),CBCT的三维影像能提供曲面断层片无法显示的精细结构,帮助医生制定更精准的治疗计划,避免并发症,是否需要拍CBCT,最终由医生根据口腔检查和初步评估结果决定。

