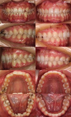
韩式外科牙齿矫正手术是口腔正畸学与颌面外科技术深度融合的先进矫正方式,主要针对单纯正畸治疗难以解决的严重骨性牙齿及颌面畸形问题,其核心在于通过外科手术调整颌骨的位置与关系,再结合正畸技术精细排列牙齿,实现咬合功能与面部美观的双重改善,与传统矫正相比,该技术突破了牙齿移动仅限牙槽骨范围的限制,尤其适用于成人复杂错颌病例,已成为现代口腔矫正领域的重要解决方案。
适用人群分析
韩式外科矫正并非适用于所有牙齿问题,其主要针对以下特定人群:一是严重骨性错颌畸形者,如Ⅲ类错颌(俗称“地包天”,下颌前突上颌后缩)、Ⅱ类错颌(上颌前突下颌后缩,导致“龅牙”)、开颌(上下牙无法咬合)、深覆颌(上牙过度覆盖下牙)等,骨性畸形程度超出单纯正畸的矫正范围;二是成年矫正者,颌骨发育停止后,牙齿代偿性移动空间有限,需手术辅助调整骨块位置;三是复合型病例,同时存在牙齿排列不齐、颌骨异常及面部轮廓不对称(如下颌偏斜、双颌前突);四是因外伤、肿瘤或先天性疾病导致的颌骨发育异常者,需通过手术重建颌骨关系。

手术流程详解
韩式外科矫正需多学科协作,流程严谨且分阶段进行,具体如下(可通过表格清晰呈现各阶段关键信息):
| 步骤 | 时间周期 | 注意事项 | |
|---|---|---|---|
| 术前检查 | 1-2周 | 头颅CT、曲面断层片、模型分析、面部三维扫描,评估颌骨形态、牙齿位置、神经血管走向 | 需排除全身性疾病(如糖尿病、凝血功能障碍),女性避开孕期、哺乳期 |
| 方案设计 | 1周 | 正畸医生与外科医生共同制定方案,确定截骨部位、骨块移动距离、正畸计划 | 患者需参与方案讨论,明确预期效果与风险 |
| 术前正畸 | 6-18个月 | 佩戴固定矫治器排齐牙齿、调整咬合,去除代偿性倾斜(如“地包天”患者的下牙代偿性前倾) | 定期复诊调整牙套,确保牙齿达到手术要求的“可移动状态” |
| 外科手术 | 2-4小时 | 全麻下截骨(如上颌Le Fort I型截骨、下颌升支矢状劈开)、移动骨块至目标位置、钛板钛钉固定 | 术中实时监测神经功能,避免损伤下牙槽神经等;术后即刻咬合关系初步建立 |
| 术后正畸 | 6-12个月 | 精细调整牙齿位置、关闭拔牙间隙,建立稳定咬合 | 勿啃咬硬物,避免外力撞击;按时复诊调整弓丝 |
| 保持阶段 | 长期 | 佩戴保持器(透明牙套或 Hawley 保持器),定期复查(术后1、3、6个月,之后每年1次) | 初期24小时佩戴,后期夜间佩戴;保持器丢失需及时制作,防止复发 |
技术优势与局限性
优势:一是矫正范围广,可彻底解决骨性畸形,而非单纯“排齐牙齿”;二是效果稳定,通过钛板固定骨块,复发率远低于传统正畸;三是改善面部轮廓,如“突嘴”患者术后鼻唇角更自然,“地包天”患者侧脸线条更流畅;四是缩短总治疗时间,部分病例通过手术减少正畸周期(如无需等待牙齿代偿性移动);五是功能与美学兼顾,咬合恢复后咀嚼效率提升,面部比例更协调。
局限性:一是创伤与风险,手术涉及截骨、出血,可能存在神经损伤(如下唇麻木)、感染等并发症;二是费用较高,涉及手术、正畸、材料(钛板、保持器),总费用通常为传统矫正的2-3倍;三是恢复期长,术后肿胀持续1-2周,完全恢复需3-6个月,期间需严格遵循饮食与活动限制;四是对医生技术要求高,需正畸与外科医生紧密配合,方案设计偏差可能导致效果不佳。
术后护理要点
术后护理直接影响矫正效果与恢复速度,需重点关注:饮食上,术后1周以流质(粥、汤、酸奶)为主,避免过热、过硬食物,防止伤口裂开;2-4周过渡到软食(面条、蒸蛋),3个月后逐渐恢复正常饮食,但仍需避免啃骨头、坚果等硬物,口腔卫生方面,术后1周用漱口水清洁,刷牙时避开伤口区域,2周后可使用软毛牙刷轻柔刷牙,防止食物残渣堆积引发感染,休息与活动上,术后1周避免剧烈运动、弯腰、低头,减少头部活动,促进伤口愈合;遵医嘱服用抗生素、止痛药,定期复查评估骨愈合情况。

相关问答FAQs
Q1:韩式外科牙齿矫正手术和传统牙齿矫正有什么区别?
A1:传统矫正(如戴牙套)仅通过施加力于牙齿,使其在牙槽骨内移动,适用于轻度牙性错颌(如牙齿拥挤、稀疏);韩式外科矫正需结合手术调整颌骨位置,适用于严重骨性畸形(如“地包天”、龅牙),效果更稳定,可改善面部轮廓,但创伤和费用更高,恢复期更长,简单说,传统矫正“移动牙齿”,外科矫正“移动骨骼+牙齿”。
Q2:手术会很疼吗?恢复期需要多久?
A2:手术在全身麻醉下进行,术中无疼痛感;术后24小时内可能有轻微疼痛,可通过止痛药缓解,多数患者可忍受,肿胀高峰期持续3-5天,1周后逐渐消退,淤血1-2周吸收;完全恢复(骨愈合稳定)需3-6个月,期间1个月内避免大笑、打哈欠等大幅张口动作,3个月内避免戴框架眼镜压迫伤口。

