正畸弓弯制是口腔正畸治疗中的核心操作技术,通过对弓丝进行精确的形态调整,实现对牙齿位置、移动方向及牙根三维控制的生物力学过程,其质量直接影响矫治效率与治疗效果,涉及弓丝材质选择、形态设计、弯制技巧及临床适配等多个环节,本文将系统介绍正畸弓弯制的基本原则、常用工具、各类弓丝弯制方法及临床注意事项。
正畸弓弯制的基本原则与工具
(一)基本原则
- 生物力学原则:根据牙齿移动类型(倾斜移动、整体移动、旋转控制、转矩控制)设计弓丝形态,如关闭间隙需内收弯,打开深覆合需压低曲。
- 个体化原则:结合患者牙弓形态(尖牙宽度、磨牙间距)、错颌类型(深覆合、反合、拥挤)及治疗阶段(排齐、整平、关闭间隙、精细调整)调整弓丝参数。
- 形态匹配原则:弓丝弧度需与理想牙弓形态一致,避免局部干扰导致牙齿受力异常。
(二)常用工具
- 弯钳类:细丝弯钳(用于镍钛丝、细不锈钢丝)、粗丝弯钳(用于粗方丝、不锈钢丝)、梯形钳(弯制转矩、曲的轴心)、转矩钳(精确控制方丝转矩)。
- 辅助工具:切断钳(剪断弓丝)、测量尺/游标卡尺(测量长度、角度)、标记笔(标记弯制点)、持针器(固定弓丝)、砂纸(打磨毛刺)。
各类弓丝弯制方法详解
(一)镍钛圆丝弯制
适用阶段:初始排齐与整平,利用镍钛丝的超弹性持续轻力解除拥挤。
常见弯制类型:

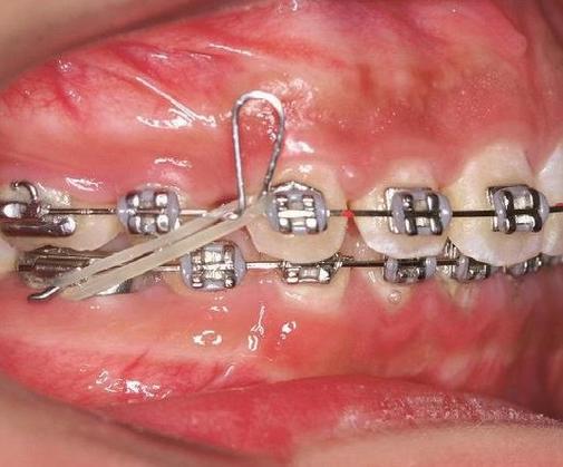
-
Ω曲(Omega曲):
- 作用:结扎入槽后防止弓丝滑脱出托槽槽沟,适用于拥挤严重或需稳定弓丝的病例。
- 弯制步骤:用细丝弯钳在弓丝末端(距末端3-4mm处)弯制“U”形Ω曲,曲的直径约2-3mm,曲部需光滑无锐角,避免刺伤黏膜。
- 注意事项:避免过度变形Ω曲,以免破坏镍钛丝的记忆效应;曲部需与托槽槽沟平行,确保入槽顺利。
-
停止曲(Stop曲):
- 作用:限制弓丝滑动长度,用于控制牙齿移动距离(如尖牙远中移动)。
- 弯制步骤:用梯形钳夹住弓丝,弯制“L”形或“T”形曲,曲臂长度与需移动距离一致(一般每mm移动需1-2mm曲臂),两侧对称。
(二)不锈钢方丝弯制(序列弯曲)
不锈钢方丝强度高、控制力精确,是精细调整阶段的核心弓丝,需进行“序列弯曲”,包括水平向、垂直向、转矩向控制。
| 弯曲类型 | 作用 | 弯制要点 | 临床应用场景 |
|---|---|---|---|
| 水平曲 | 控制牙冠唇舌向倾斜 | 外展弯(磨牙区弯向颊侧,防磨牙近中移动时颊尖干扰)、内收弯(前牙区弯向舌侧,辅助前牙内收) | 磨牙支抗控制、前牙内收 |
| 垂直曲 | 控制牙齿垂直向移动及关闭间隙 | 泪滴曲(前牙压低/伸长)、T形曲(关闭间隙,曲臂长度=移动距离) | 深覆合打开、拔牙间隙关闭 |
| 转矩弯制 | 控制牙根唇舌向位置 | 用转矩钳夹住弓丝,以方丝槽沟长轴为轴心旋转(根舌向转矩-7°,根唇向+7°) | 前牙内收防牙根唇倾、磨牙转矩控制 |
弯制技巧:

- 水平曲弯制时,以托槽位置为参照,角度控制在15°-20°,避免过度倾斜导致牙齿创伤;
- 垂直曲需严格对称,两侧高度、角度误差≤0.5mm,否则会导致牙齿倾斜;
- 转矩弯制时动作缓慢,避免弓丝扭曲变形,弯制后需在模型上测试入槽性。
(三)辅助弓丝弯制
-
唇弓(Lip Bow):
- 结构:主弓丝(连接两侧磨牙)+ 侧臂(延伸至前牙区)。
- 弯制步骤:用粗丝弯钳弯制与牙弓形态一致的弧度,侧臂与前牙托槽接触,末端回弯30°防止滑动。
- 作用:前牙内收、压低,适用于双颌前突或露龈笑病例。
-
腭弓(Palatal Arch):
- 结构:横腭杆(连接两侧磨牙)+ 竖杆(延伸至腭部)。
- 弯制步骤:用0.9mm不锈钢丝弯制,横腭杆贴合上腭黏膜,竖杆末端弯钩(挂橡皮圈施加力)。
- 作用:后牙支抗控制(如防止磨牙近中移动),压低上颌磨牙。
-
片段弓(Segmented Arch):
- 弯制方法:仅弯制需移动牙齿段的弓丝(如尖牙至磨牙),忽略非治疗区牙齿。
- 优势:减少对其他牙的干扰,适用于局部牙齿移动(如尖牙远中移动、扭转牙纠正)。
(四)特殊弓丝弯制
-
TMA丝(钛钼合金丝):
- 特点:弹性介于镍钛丝和不锈钢丝之间,生物相容性好,适合需持续轻力的病例(如深覆合打开、成人矫治)。
- 弯制要点:弯制角度为不锈钢丝的70%(如需15°弯曲,仅弯10°),避免过度变形;曲部需圆钝,减少刺激。
-
麻花丝(Twisted Wire):
- 作用:通过增加弓丝与托槽的摩擦力,实现滑动法关闭间隙(如拔牙病例)。
- 弯制步骤:用专用扭转钳将0.018×0.025英寸方丝扭转90°-180°,扭转长度与需移动间隙一致(一般每5mm间隙需3-4mm扭转长度)。
弓弯制的临床注意事项
- 弓丝尺寸选择:圆丝直径0.014-0.018英寸(排齐期),方丝尺寸0.016×0.022英寸、0.018×0.025英寸(整平及精细调整期),需与托槽槽沟匹配(如0.018×0.025英寸方丝适配0.018英寸槽沟托槽)。
- 避免金属疲劳:同一部位反复弯折易导致弓丝断裂,弯制次数≤3次/部位。
- 抛光与调整:弯制后用砂纸打磨曲部毛刺,临床试戴时检查有无黏膜刺激,调整弓丝避免早接触。
- 患者沟通:告知弓丝可能引起的不适(如酸胀、黏膜溃疡),避免患者自行调整弓丝。
相关问答FAQs
问题1:正畸弓弯制中如何避免弓丝变形断裂?
解答:避免弓丝变形断裂需注意:①选择合适工具(细丝用细丝弯钳,粗丝用粗丝弯钳);②弯制时动作缓慢均匀,避免暴力弯折;③避免在同一部位反复弯折(金属疲劳阈值约3次);④弯制后检查弓丝有无锐角、毛刺,及时打磨;⑤数字化辅助弯制(如3D打印导板)可提高精度,减少人为误差。
问题2:不同材质弓丝的弯制要点有哪些差异?
解答:①镍钛丝:超弹性+形状记忆,弯制时避免过度变形(Ω曲直径≥2mm),弯制后加热可恢复原形;②不锈钢丝:强度高、弹性模量大,需精确控制角度(如转矩误差≤1°),但易折断,避免反复弯折;③TMA丝:弹性适中,弯制角度为不锈钢的70%,适合成人或敏感病例;④麻花丝:需专用扭转钳,扭转角度需计算(每5mm间隙3-4mm扭转长度),过度扭转会导致硬化断裂。
