牙周刮治与正畸治疗是口腔修复与功能重建中两个重要的环节,二者并非孤立存在,而是存在紧密的协同关系,对于存在牙周问题的患者,正畸治疗前需进行系统的牙周刮治,以控制炎症、建立健康的牙周基础;而在正畸过程中及结束后,牙周维护同样是保证治疗效果长期稳定的关键,本文将详细阐述牙周刮治后正畸的必要性、时机选择、治疗过程中的注意事项及两者的协同作用。
牙周刮治:正畸治疗的“地基工程”
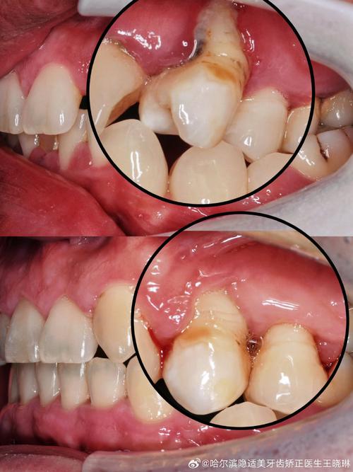
牙周组织(包括牙龈、牙周膜、牙槽骨等)是牙齿赖以生存的土壤,若存在牙周炎症(如牙龈炎、牙周炎),牙槽骨会吸收、牙齿松动,此时强行正畸可能导致骨吸收加剧、牙齿脱落等严重后果,牙周刮治作为牙周治疗的基础手段,通过龈下刮治和根面平整,彻底清除牙龈下方的牙结石、菌斑以及被感染的牙骨质,消除炎症介质,为牙周组织的再生创造条件。

临床数据显示,未经牙周治疗的正畸患者,其牙周炎复发风险是牙周治疗后再正畸的2-3倍,对于探诊深度(PD)>5mm、附着丧失(CAL)≥3mm的中重度牙周炎患者,若直接正畸,牙齿移动过程中机械刺激可能进一步破坏已受损的牙周支持组织,导致牙槽骨水平吸收加速,正畸前必须通过牙周刮治将炎症控制在可接受范围内,即达到“牙周稳定状态”:牙龈无红肿出血、探诊深度≤3mm、牙槽骨吸收停止(通过X线片确认)。
刮治后正畸的时机:等待牙周“休养生息”
牙周刮治后并非立即开始正畸,需等待牙周组织修复稳定,具体时间需根据牙周炎症程度和个体愈合能力调整,以下是不同情况下的建议等待时间(表1):
| 牙周炎症程度 | 刮治后等待时间 | 关键评估指标 |
|---|---|---|
| 轻度牙周炎(PD≤4mm,无附着丧失) | 1-3个月 | 牙龈指数(GI)=0-1,探诊无出血,X线片示牙槽骨无吸收加重 |
| 中度牙周炎(PD 5-6mm,CAL 2-3mm) | 3-6个月 | PD≤3mm,CAL≤1mm,无牙周袋溢脓,咬合功能正常 |
| 重度牙周炎(PD>6mm,CAL>3mm) | 6-12个月(需联合牙周手术) | 骨缺损修复(引导组织再生术等),牙齿松动度≤Ⅰ度,患者口腔卫生良好(菌斑指数PLI<20%) |
等待期间需定期复查(每1-2个月1次),监测牙周状况,若复查发现炎症未控制(如牙龈反复出血、PD加深),需再次进行刮治或牙周手术治疗,直至达到正畸要求,患者需掌握正确的口腔卫生方法(如巴氏刷牙法、牙线使用),菌斑控制是维持牙周稳定的前提。
正畸过程中的牙周维护:平衡牙齿移动与牙周健康
正畸治疗过程中,牙齿在机械力作用下移动,牙周组织需经历改建(压力侧骨吸收,张力侧骨增生),此时若口腔卫生不佳或加力不当,易引发牙龈炎、牙根吸收、牙槽骨丧失等并发症,正畸期间的牙周维护需重点关注以下方面:

口腔卫生强化管理
正畸装置(如托槽、弓丝)易导致食物嵌塞,菌斑堆积风险增加,患者需使用正畸专用牙刷(如小头软毛牙刷)、牙缝刷、冲牙器等工具,每日彻底清洁牙面,建议使用含氟牙膏(预防釉质脱矿)和抗菌漱口水(如氯己定,短期使用),复诊时,牙周医生需进行专业洁治,清除托槽周围菌斑,必要时进行龈下刮治。
个体化加力与监测
正畸加力需轻柔、渐进,避免“急于求成”,对于牙周条件较差的患者(如曾有中度牙周炎),需采用“间歇性轻力”原则,每次复诊调整移动距离控制在0.5-1mm,同时监测牙齿松动度(正常松动度≤Ⅰ度)、牙根吸收(通过根尖片评估,吸收不应超过根长1/3),若出现PD>4mm、牙龈退缩等情况,需暂停加力,先行牙周治疗。
多学科协作
正畸医生与牙周医生需保持密切沟通,制定动态治疗方案,对于正畸中出现的牙龈增生(与菌斑刺激或加力有关),牙周医生可通过牙周手术(如牙龈切除术)修整形态;若牙槽骨吸收明显,正畸医生需调整牙齿移动方向,避免在骨缺损区施加过大力量。
牙周刮治与正畸的协同作用:1+1>2的治疗效果
二者结合不仅能解决牙齿排列问题,更能改善牙周健康,实现功能与美学的统一,正畸治疗通过排齐牙齿、关闭间隙,消除食物嵌塞和菌斑滞留区,有利于长期维护牙周健康;健康的牙周组织为牙齿移动提供了充足的骨支持,确保正畸效果的稳定性。

对于牙周炎导致的“前牙扇形移位”(牙槽骨吸收致牙齿唇倾、间隙),传统修复(如烤瓷冠)易导致继发龋和牙周问题;而通过“牙周刮治-正畸关闭间隙-牙周维护”的序列治疗,既恢复了牙齿排列,又利用牙齿移动引导牙槽骨改建,最终实现牙周组织的健康再生,研究显示,此类治疗后5年成功率可达85%以上,显著优于单纯修复。
特殊情况处理:牙周病正畸的“风险规避”
部分患者存在全身性疾病(如糖尿病、骨质疏松)或长期吸烟史,这些因素会影响牙周愈合和正畸效果,此类患者需:
- 控制全身疾病:糖尿病患者需将糖化血红蛋白(HbA1c)控制在7%以下,骨质疏松患者避免使用可能影响骨代谢的药物(如长期大剂量糖皮质激素);
- 严格戒烟:吸烟会降低牙周组织愈合能力,增加正畸后牙龈退缩风险,需术前至少戒烟1个月;
- 延长维护周期:正畸结束后需终身进行牙周维护,每3-6个月复查1次,预防复发。
相关问答FAQs
Q1:牙周刮治后牙齿变松了,还能正畸吗?
A:牙周刮治后短期内牙齿轻微松动是正常现象,主要是由于刮治清除了牙结石后,牙齿位置略有调整(如原本被牙结石固定的松动牙齿出现动度),若松动度≤Ⅰ度(牙齿可轻微移动但无异常动度),且复查显示PD≤3mm、无出血,可在牙周医生指导下开始正畸;若松动度>Ⅱ度或持续加重,需暂停正畸,进一步评估牙周状况(如是否有牙根骨折、牙槽骨重度吸收),必要时进行牙周固定治疗。
Q2:正畸期间牙龈肿痛出血,怎么办?
A:正畸期间牙龈肿痛出血多与口腔卫生不佳或加力过大有关,首先需加强清洁:使用正畸牙刷清洁托槽周围,牙缝刷清除邻面菌斑,冲牙器冲洗牙龈沟;若出血明显,可短期使用抗菌漱口水(如0.12%氯己定,连续使用不超过1个月),同时复诊时告知正畸医生,调整加力方案;若牙龈增生明显,需牙周医生进行专业洁治或牙龈切除术,若肿痛持续不缓解或伴随牙周袋溢脓,需及时就诊排查是否发生牙周急性炎症。
