中切牙间隙是指上颌中切牙(俗称“门牙”)之间出现的缝隙,不仅影响面部美观,还可能导致发音、咀嚼功能异常,甚至引发牙周问题,正畸治疗是关闭中切牙间隙的主要方式,其核心在于明确病因后,通过牙齿移动实现间隙关闭与咬合稳定。
中切牙间隙的成因多样,需针对性治疗,先天因素中,侧切牙牙体过小(呈锥形)或上颌多生牙(如“正中牙”)会导致牙量小于骨量,间隙自然产生;后天因素则包括唇系带附着异常(过低过粗,牵扯中切牙牙间组织)、不良习惯(如咬唇、吐舌、吮指)长期推压牙齿,以及牙周炎导致的牙槽骨吸收、牙齿移位,治疗前需通过口腔检查、X光片(如全景片、头颅侧位片)和牙周评估明确病因,排除多生牙、埋伏牙等异常情况,判断是否存在骨性因素(如上颌前突),再制定个性化方案。

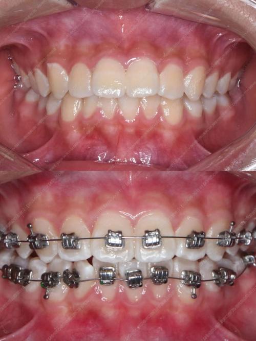
正畸治疗根据间隙大小、病因和患者年龄选择不同技术,对于青少年患者,传统金属托槽矫正或陶瓷托槽矫正适用性广,可通过集中间隙、调整牙轴实现关闭;成人患者若注重美观,可选用隐形矫正(如隐形牙套),通过精准的附件和牙套移动牙齿,过程更隐蔽,若存在唇系带问题,需在正畸前行唇系带矫正术(如激光或手术切断),防止治疗后复发;对于多生牙,需先拔除多生牙,再集中关闭间隙,治疗过程中,医生会通过“滑动法”或“关闭曲法”移动牙齿,通常6-12个月可完成间隙关闭,随后进入保持阶段,防止复发。
治疗后保持是关键环节,由于牙齿周围组织改建需要时间,且不良习惯或牙周问题可能引发复发,需佩戴保持器至少2年,常见保持器有透明压膜保持器(美观舒适,但需注意清洁)和Hawley保持器(带钢丝,稳定性强),需24小时佩戴(进食除外),6个月后夜间长期佩戴,需保持口腔卫生,避免咬硬物,定期复诊(每3-6个月一次),监测牙齿稳定性和牙周状况。
以下是常见中切牙间隙原因及处理要点:
| 原因类型 | 具体表现 | 处理方向 |
|---|---|---|
| 侧切牙过小 | 侧切牙牙体小,牙冠呈锥形 | 正畸集中间隙,后期修复改善牙体形态 |
| 唇系带附着过低 | 唇系带牵拉中切牙牙间乳头,间隙存在 | 先行唇系带矫正术,再正畸关闭间隙 |
| 不良习惯 | 吐舌、咬唇导致牙齿唇倾 | 纠正习惯,配合正畸排齐关闭间隙 |
| 牙周炎 | 牙槽骨吸收,牙齿移位 | 先牙周治疗,控制炎症后再正畸 |
FAQs: Q:中切牙间隙矫正后还会复发吗?如何预防? A:复发风险与病因控制、保持器佩戴密切相关,若存在唇系带异常、不良习惯未纠正,或未规范佩戴保持器,可能复发,预防需彻底去除病因(如矫正唇系带、戒除吐舌习惯),并严格佩戴保持器至少2年,定期复诊调整。

Q:成年人矫正中切牙间隙和青少年有什么区别? A:成年人矫正需考虑牙周状况(若有牙周炎需先治疗)、骨改建速度较慢(治疗时间可能延长),且可能涉及修复联合治疗(如侧切牙过小需后期瓷贴面修复);青少年骨改建活跃,治疗时间短,但需关注生长发育对方案的影响。

