相城牙博士正畸作为区域内备受关注的口腔正畸品牌,始终以“专业定制、舒适矫正”为核心,为不同年龄段的患者提供个性化的牙齿矫正解决方案,依托先进的诊疗设备、经验丰富的医生团队以及人性化的服务流程,相城牙博士正畸在解决牙齿拥挤、龅牙、地包天、牙缝过大等问题上积累了丰富的临床经验,帮助众多患者重获整齐健康的牙齿与自信笑容。
在医生团队方面,相城牙博士正畸汇聚了一批拥有正畸专业背景和多年临床经验的医生,团队核心成员均毕业于国内知名口腔医学院校,部分医生还具有海外进修经历,他们不仅掌握传统固定矫正技术,更精通隐形矫正、自锁托槽矫正等先进矫正方式,能够根据患者的牙齿情况、面部美学需求及生活习惯,制定“一人一策”的矫正方案,针对青少年患者,医生会结合生长发育特点,采用功能矫正或早期干预矫正,引导颌骨正常发育;对于成年患者,则更注重矫正效果与面部美观的协调性,优先选择隐形矫正或陶瓷托槽等美观度更高的矫正方式。

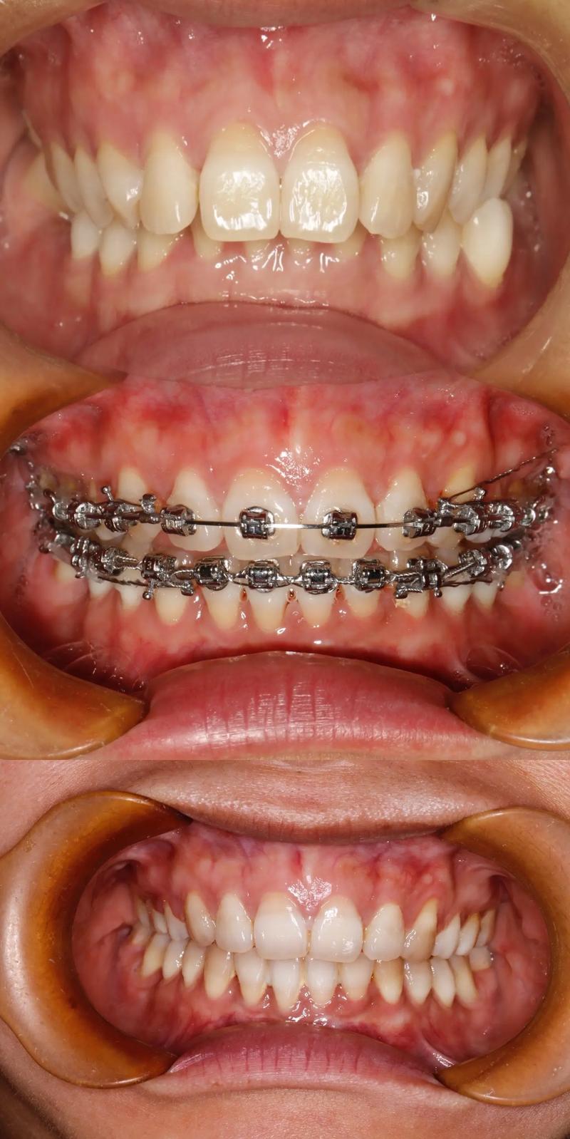
技术设备是相城牙博士正畸的重要支撑,机构引进了全套数字化正畸诊疗设备,包括口内扫描仪、CBCT、3D牙齿模型打印机等,实现了从检查、方案设计到矫正器制作的全流程数字化,通过口内扫描,患者可告别传统取模的不适感,10分钟即可获取精准的牙齿数据;借助3D模拟技术,医生能在矫正前向患者展示牙齿移动的动态过程和预期效果,让患者对矫正结果有更直观的了解,相城牙博士正畸还采用数字化方案设计系统,通过大数据分析优化牙齿移动路径,缩短矫正周期,提升矫正效率。
为满足不同患者的需求,相城牙博士正畸提供多样化的矫正方式选择,以下是常见矫正方式的对比:
| 矫正类型 | 舒适度 | 美观度 | 矫正周期(约) | 价格范围(元) | 适合人群 |
|---|---|---|---|---|---|
| 金属托槽矫正 | 中 | 低 | 5-3年 | 8000-15000 | 牙齿复杂错乱、预算有限者 |
| 陶瓷托槽矫正 | 中高 | 中 | 5-3年 | 12000-20000 | 注重美观的青少年及成年人 |
| 隐形矫正 | 高 | 高 | 1-2.5年 | 25000-40000 | 生活节奏快、追求美观的成年人 |
| 舌侧矫正 | 中 | 极高 | 2-3年 | 50000-80000 | 对美观要求极高的职场人士 |
在治疗流程上,相城牙博士正畸严格执行“初诊检查—方案设计—矫正器佩戴—定期复诊—保持器佩戴”的标准流程,初诊时,医生会通过口腔检查、X光片、CBCT等全面评估患者的牙齿、颌骨及面部情况,与患者充分沟通后确定矫正方案,矫正器佩戴后,患者需每4-6周复诊一次,医生会根据牙齿移动情况调整矫正力度,确保矫正效果,矫正结束后,患者需佩戴保持器,防止牙齿复发。
相城牙博士正畸始终关注患者的治疗体验,从预约咨询到矫正完成,提供全程一对一服务,为缓解患者的紧张情绪,诊所设置舒适的治疗环境,医护人员会耐心解答患者的疑问,并提供口腔卫生指导,帮助患者保持矫正期间的口腔健康,机构还推出价格透明化政策,矫正费用在初诊时明确告知,无隐形消费,并支持分期付款,减轻患者的经济压力。

相关问答FAQs
Q1:相城牙博士正畸的矫正周期一般是多久?
A:矫正周期因牙齿错乱程度、矫正方式及个人代谢情况而异,金属托槽和陶瓷托槽矫正周期为1.5-3年,隐形矫正为1-2.5年,舌侧矫正为2-3年,青少年患者因处于生长发育期,部分早期干预矫正可能仅需6-12个月,医生会在初诊时通过详细检查评估大致周期,并在矫正过程中根据牙齿移动情况动态调整。
Q2:隐形矫正和传统矫正效果有差异吗?
A:从矫正效果来看,隐形矫正和传统矫正没有本质差异,两者都能有效解决牙齿拥挤、龅牙、地包天等问题,隐形矫正的优势在于美观度高、可自行摘戴、便于清洁,适合对美观要求高或生活节奏快的患者;传统矫正(如金属托槽)则在矫正力度和复杂病例处理上更具优势,且价格相对亲民,具体选择需根据牙齿情况和个人需求,由医生综合判断后确定。

